軽度の歯列不正を6か月でマウスピース矯正!
2025/04/19
こんにちは!
千葉県市川市の妙典駅前にある妙典歯科Nクリニックです。
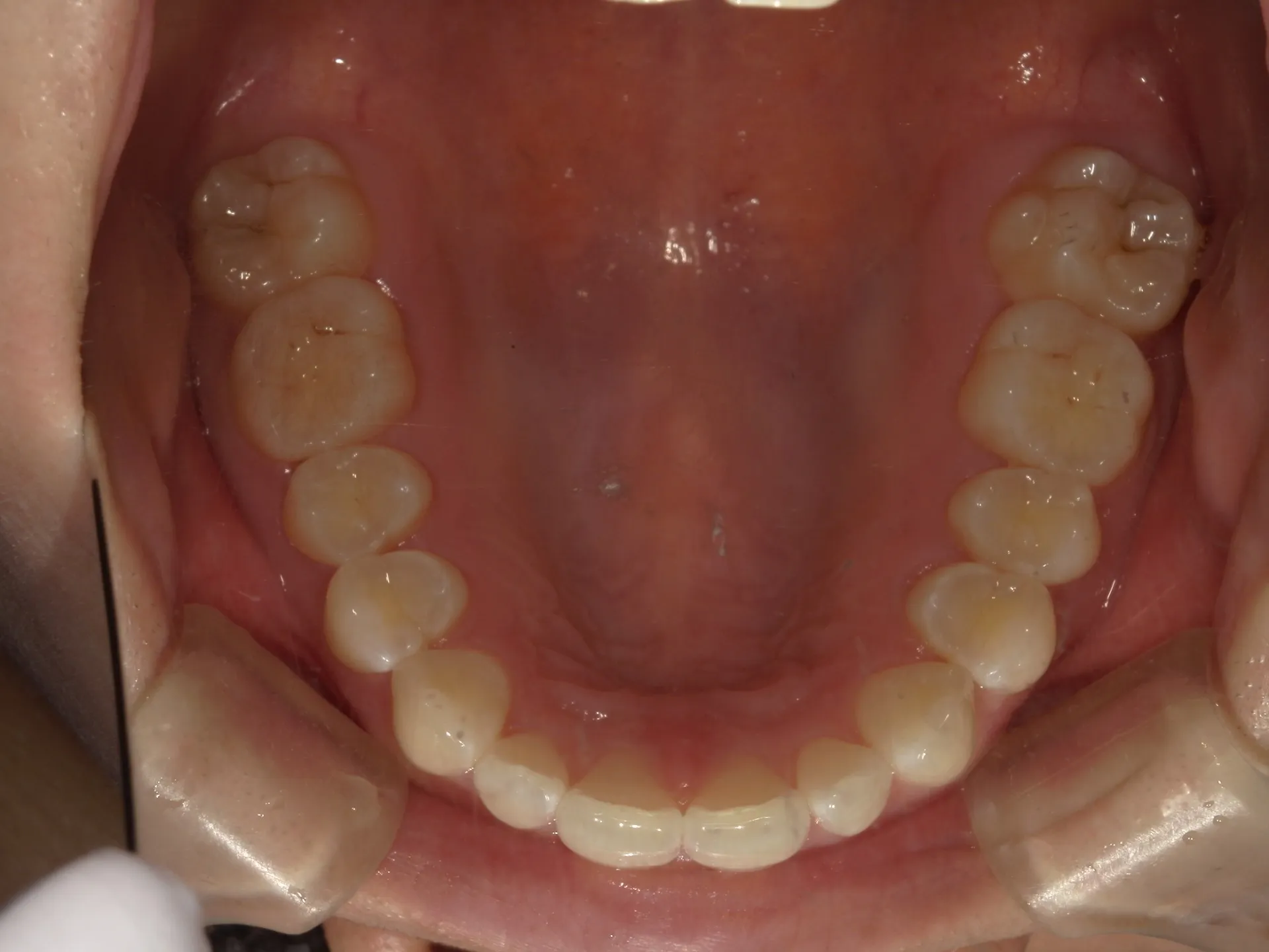
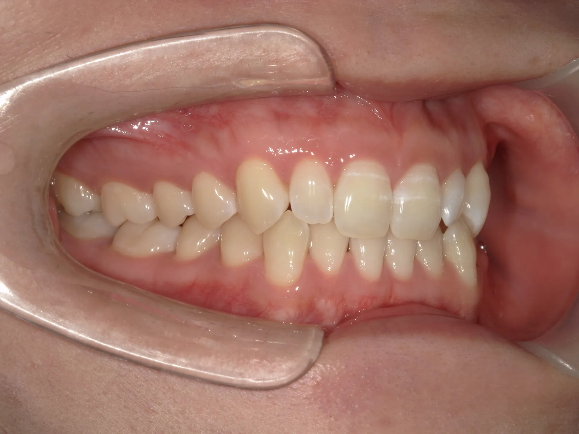
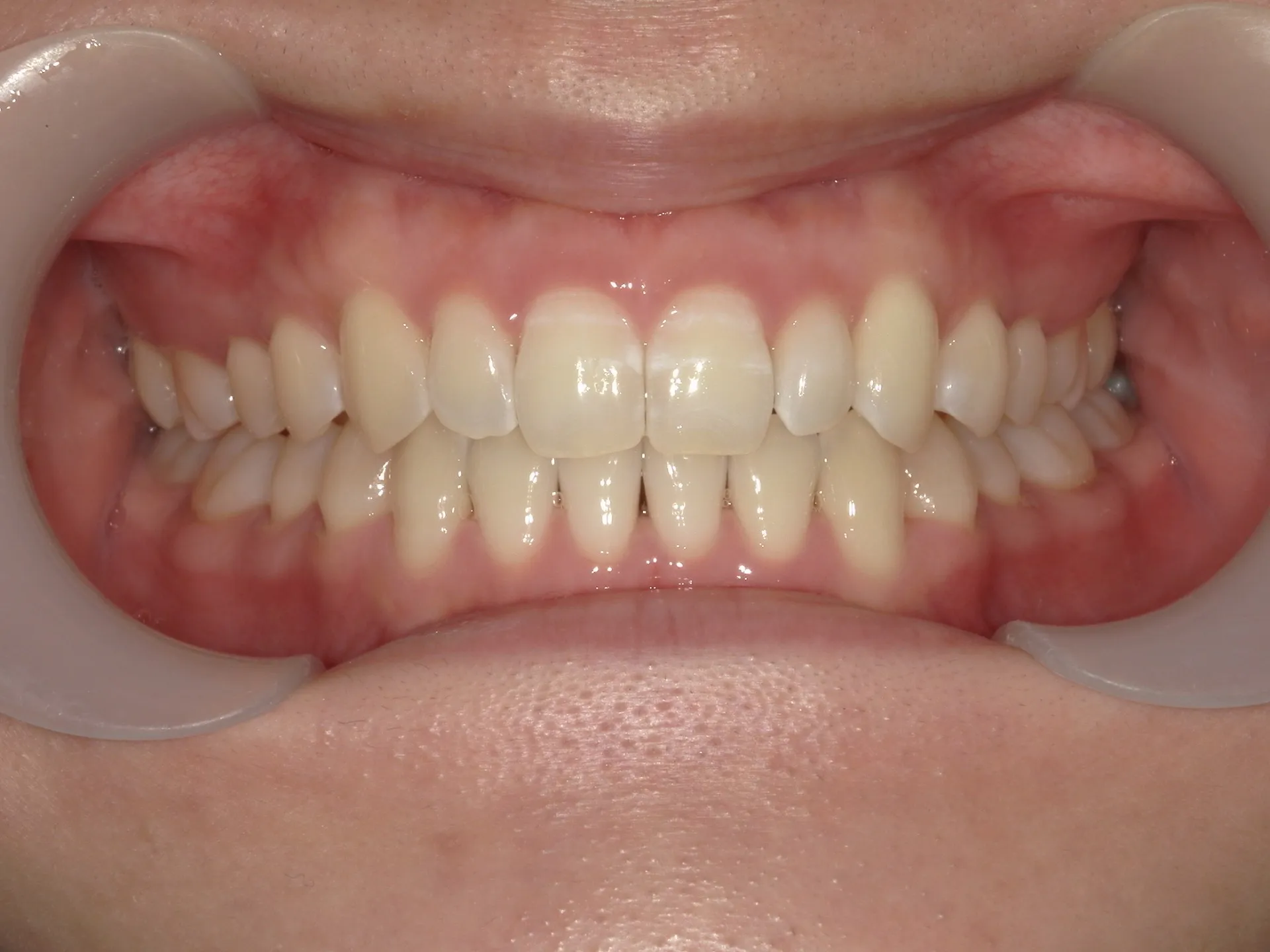
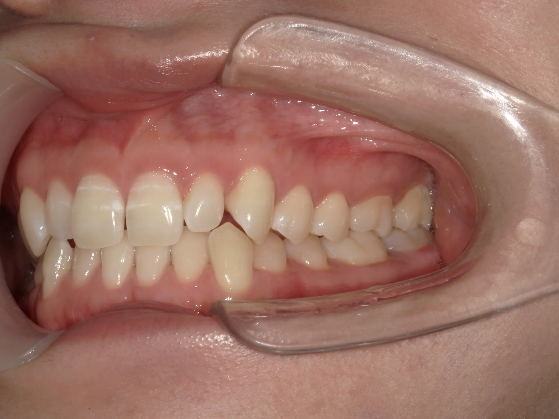
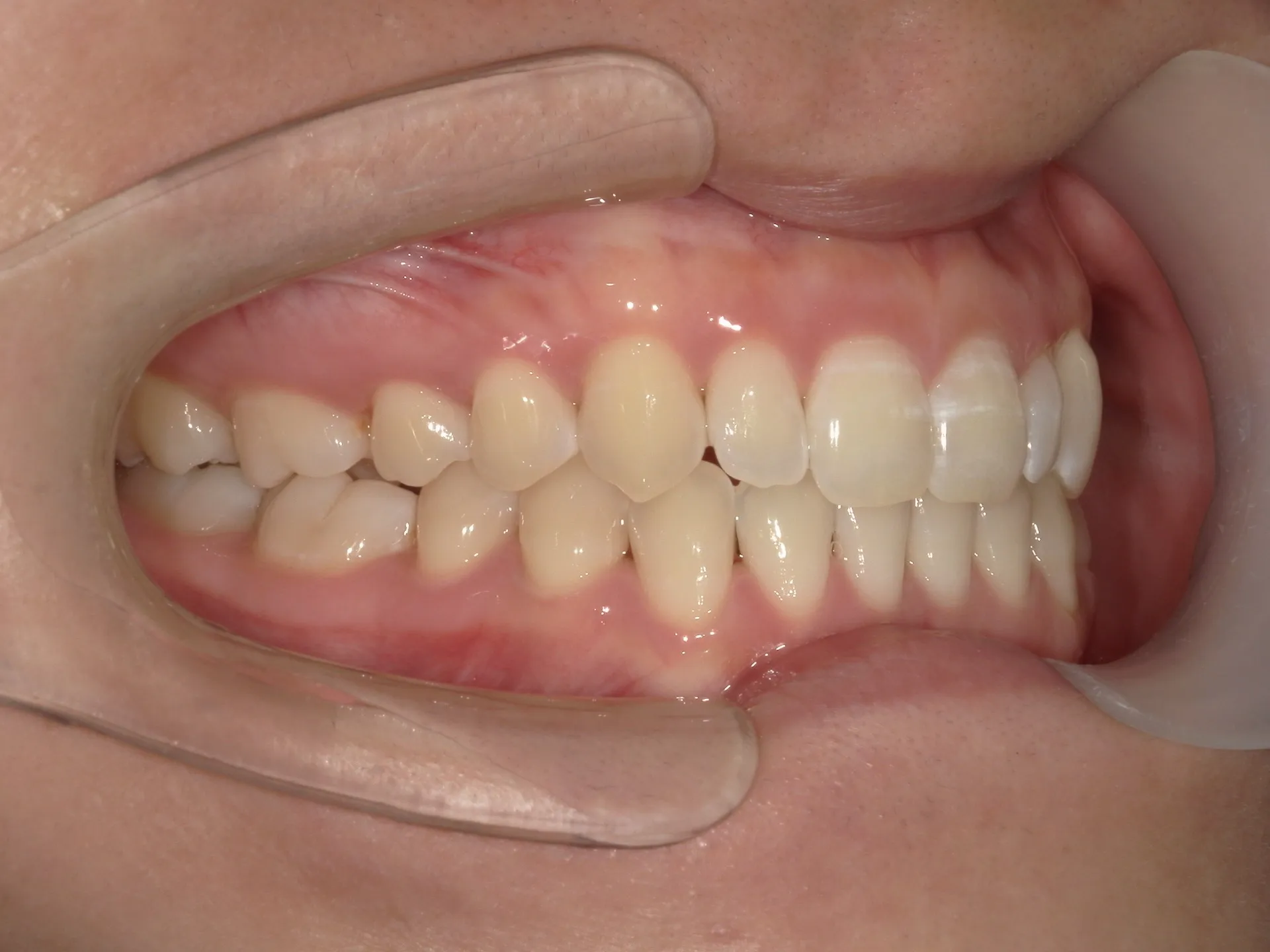
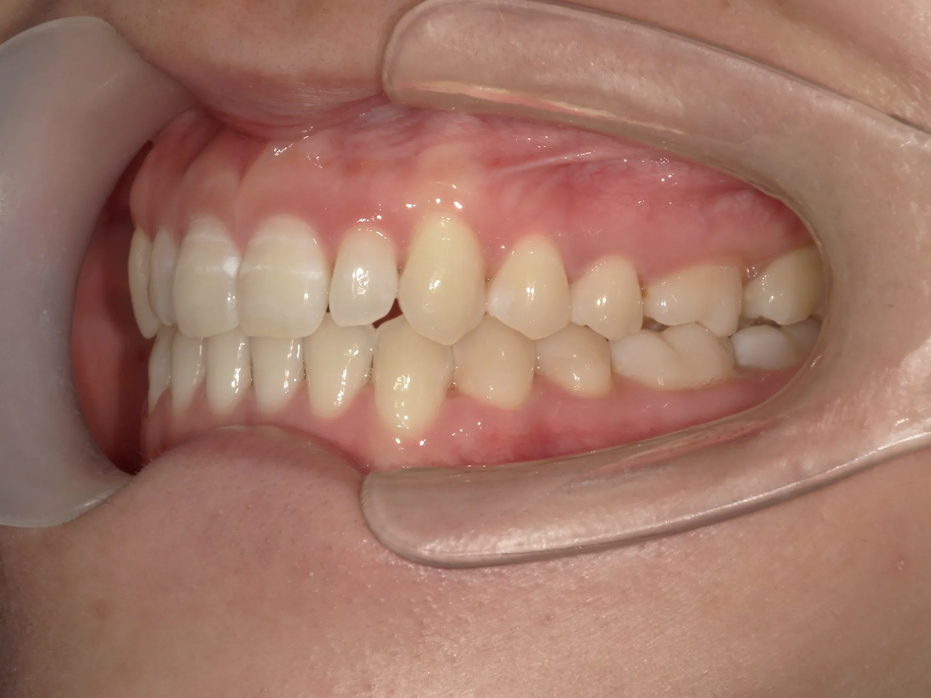
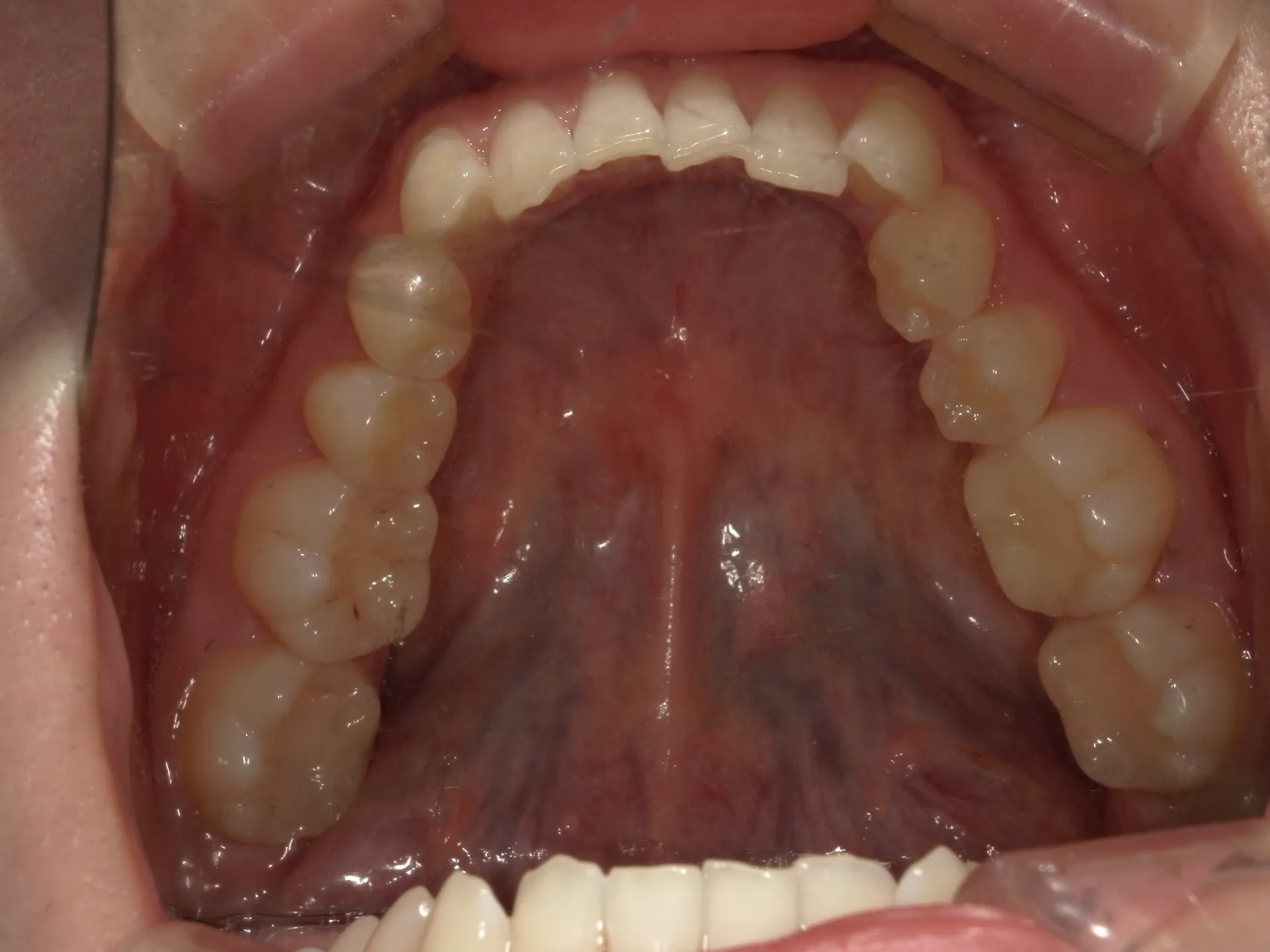
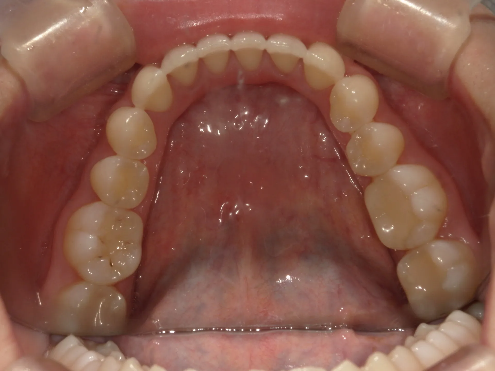
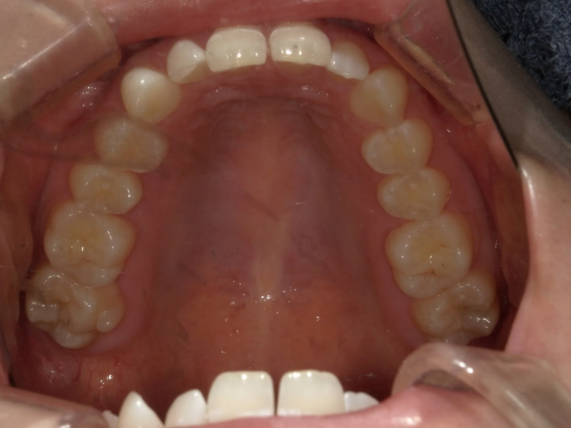
今回は前歯の隙間が気になる方の軽度の歯列不正をマウスピース矯正(インビザライン)で治療した症例をご紹介いたします。
マウスピース矯正であるインビザラインでは軽度な症例でも治療を行うことができ、今回のように6か月でも治療を完了することができます。
歯並びによって治療期間は異なりますが、自分の気になっている歯並びがどのくらいで治るのか気になった方は是非一度当院でご相談ください!
----------------------------------------------------------------------
妙典歯科Nクリニック
住所:
千葉県市川市富浜1-7-18 ドエル1-111
電話番号 :
047-316-0305
FAX番号 :
047-316-0322
妙典でマウスピース矯正を体験
----------------------------------------------------------------------


