妙典歯科Nクリニック

タグ『#静脈内鎮静法』のページ一覧

LINE相談・予約 審美歯科はこちら

タグ『#静脈内鎮静法』のページ一覧

タグ『#静脈内鎮静法』のページ一覧

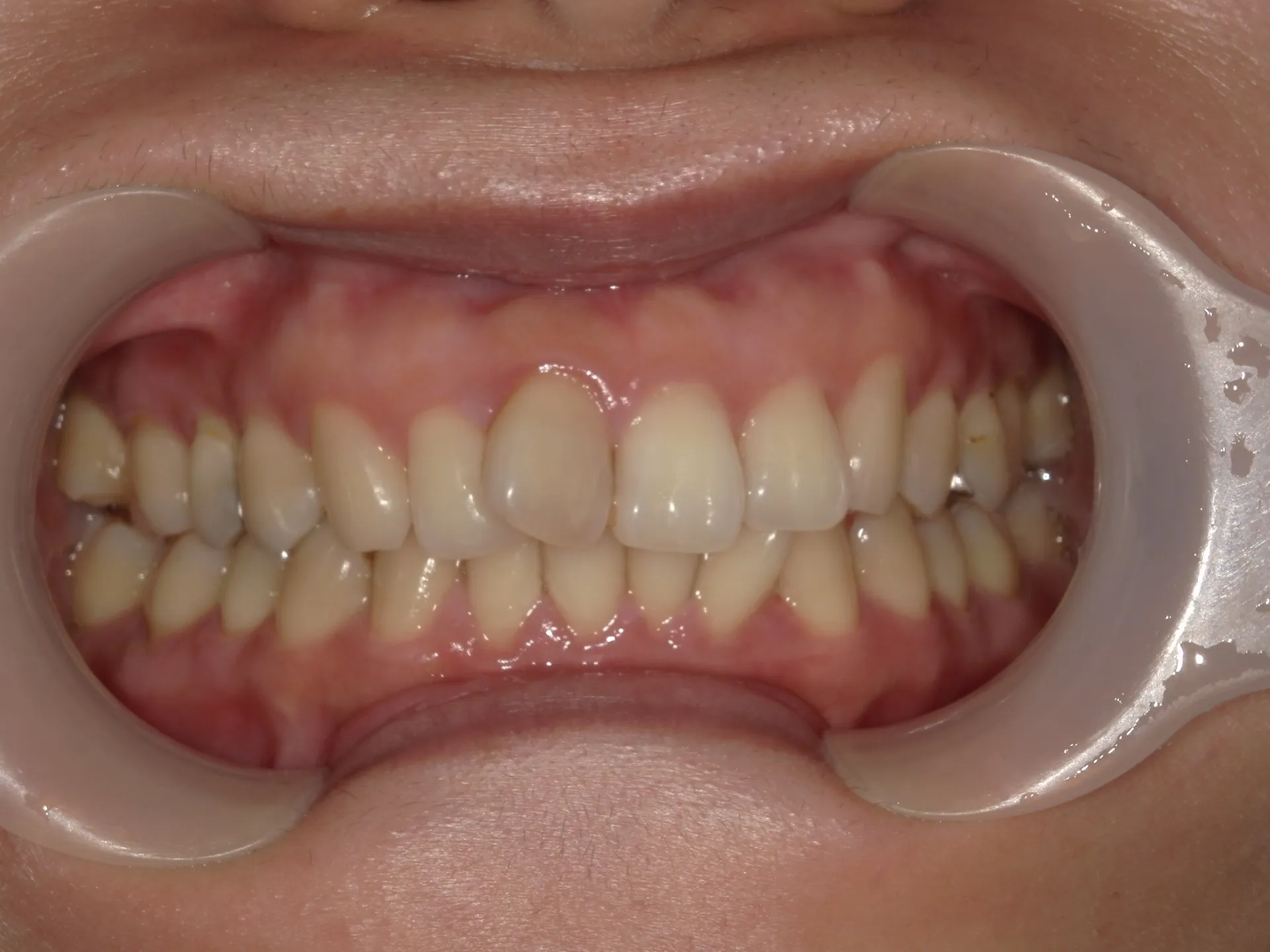
こんにちは!千葉県市川市の妙典駅前にある妙典歯科Nクリニックです。今回はねじれてしまった前歯の矯正治療をインビザラインというマウスピース矯正で治療した症例をご紹介いたします。正面観上の前歯と…

当店でご利用いただける電子決済のご案内

下記よりお選びいただけます。