すれ違い咬合
2025/04/24
こんにちは!
千葉県市川市の妙典駅前にある妙典歯科Nクリニックです。
すれ違い咬合
今回はすれ違い咬合というかみ合わせについてご紹介いたします。
すれ違い咬合とは何が言葉の通りかみ合わせがすれ違いっているのです。
なかなかイメージできないですよね。
通常のかみ合わせをイメージしてみましょう。
上下の歯が生えそろっていて上下の歯同士でぶつかった位置がかみ合わせの位置になります。
もう一つ無歯顎といって全く上下歯のない状態をイメージしてみましょう。
上下の歯がないために噛むことができず、上下の顎同士が近づくのみとなり噛む位置はないです状態です。
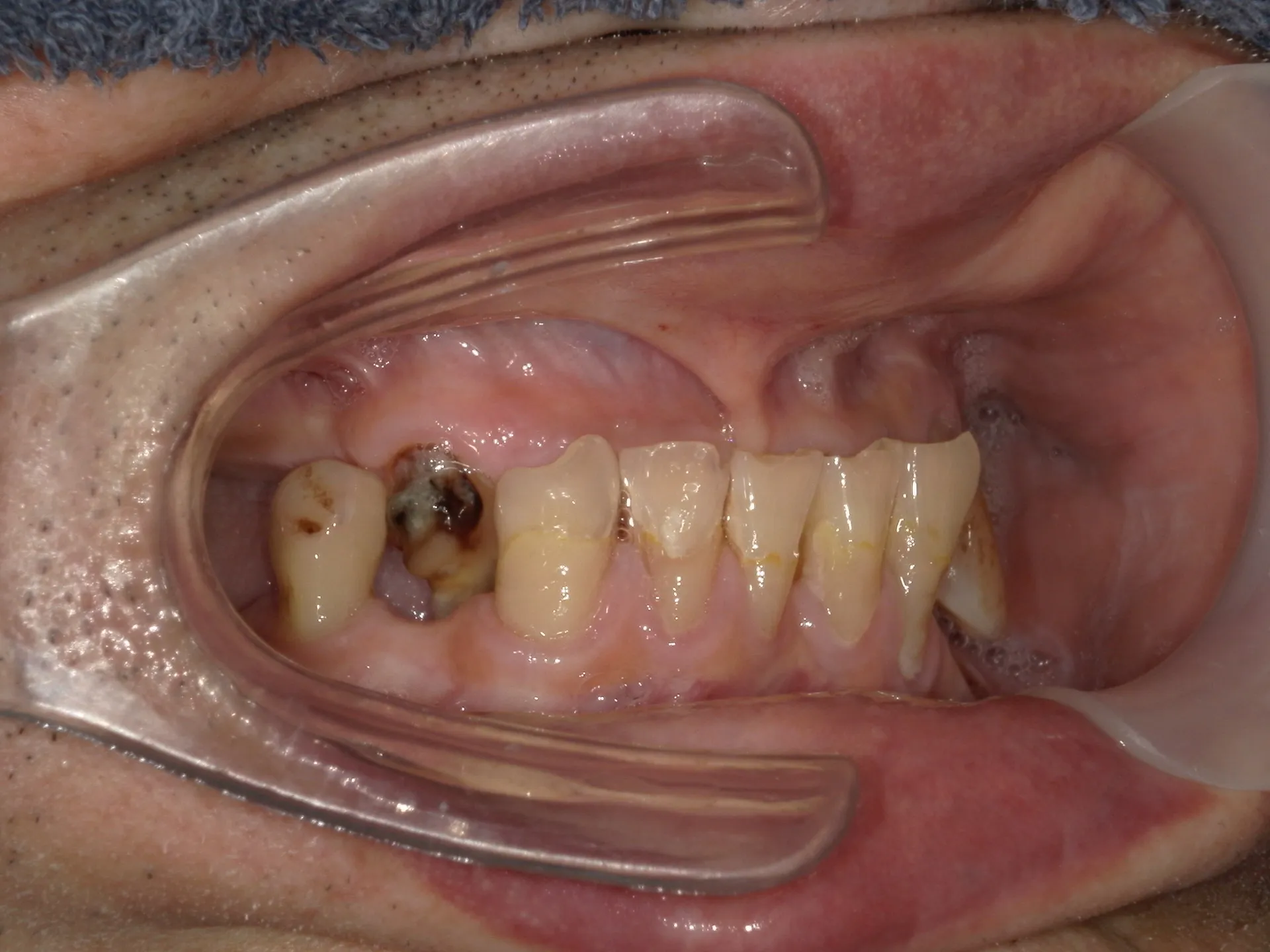
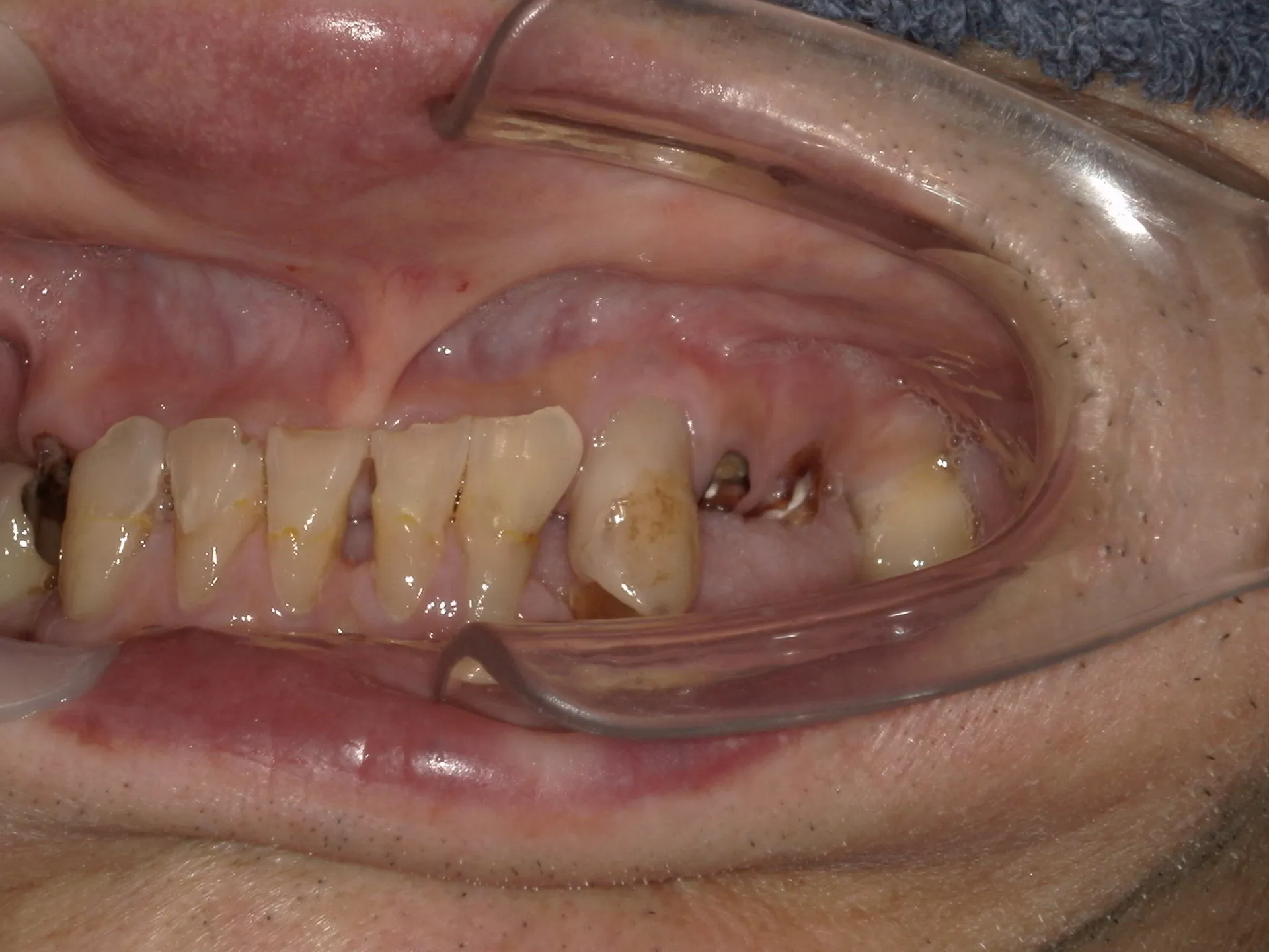
すれ違い咬合は上下の歯があるものの上下の歯が全く接触できないように歯が抜けてしまっているために無歯顎とほぼ同じように普通以上に噛み込んでしまい、歯が歯茎にぶつかるまで噛めてしまいます。
上記の写真は上下に歯があるものの噛むと歯が歯茎に当たるまで深く嚙み込んで入違った歯がすれ違って噛んでいることが分かります。
治療法では昔噛んでいたであろう高さに合わせて歯を並べた入れ歯を作成することによってかみ合わせを改善していきます。
入れ歯は多くの歯を補う治療法として非常に適しています。
しかしながら、入れ歯の違和感は大きく、使用に慣れが必要であることや、修理や新製が必須になってくるために、まずは歯が抜けない・抜くことの無いように予防を行うことが重要になってきます。
歯が無くなってから後悔するのではなく歯があるときにどう行動できるかが大事になってきますので是非一度当院でご相談ください。
----------------------------------------------------------------------
妙典歯科Nクリニック
住所:
千葉県市川市富浜1-7-18 ドエル1-111
電話番号 :
047-316-0305
FAX番号 :
047-316-0322
----------------------------------------------------------------------


