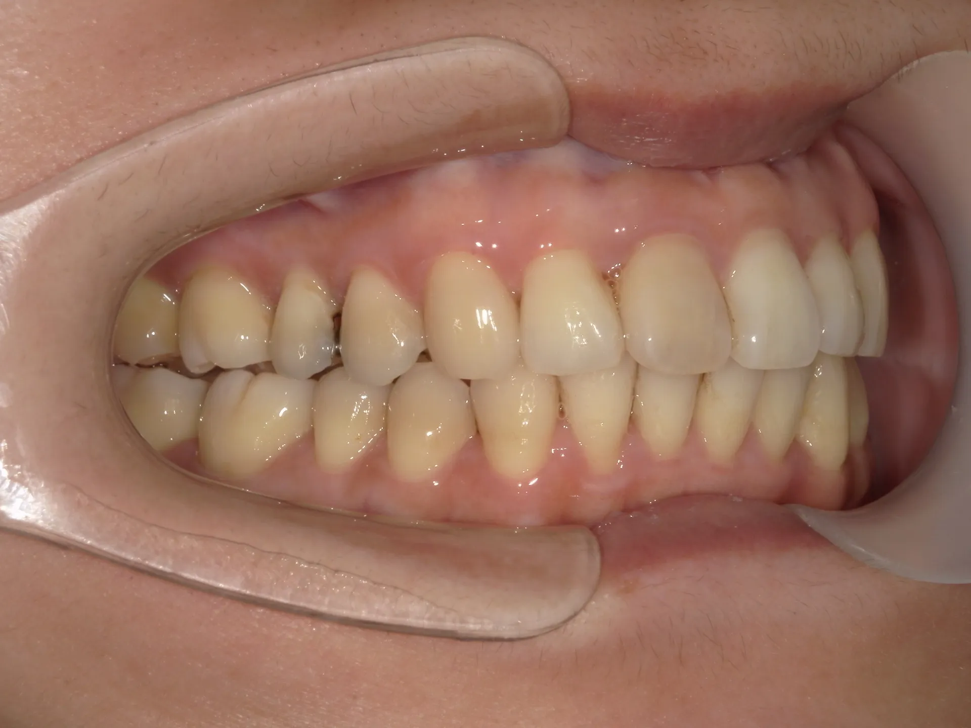
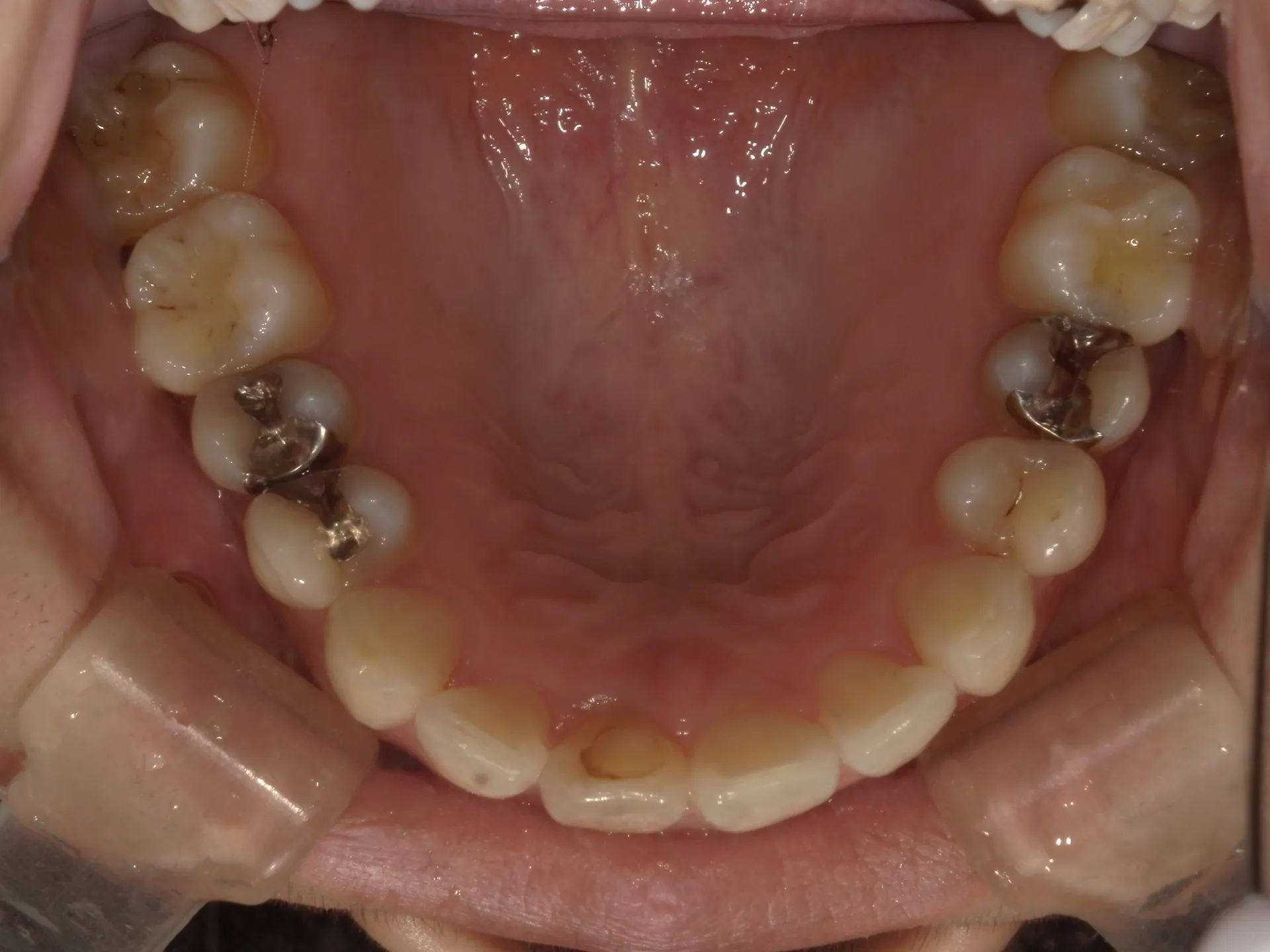
ねじれた前歯の矯正
2025/05/13
こんにちは!
千葉県市川市の妙典駅前にある妙典歯科Nクリニックです。
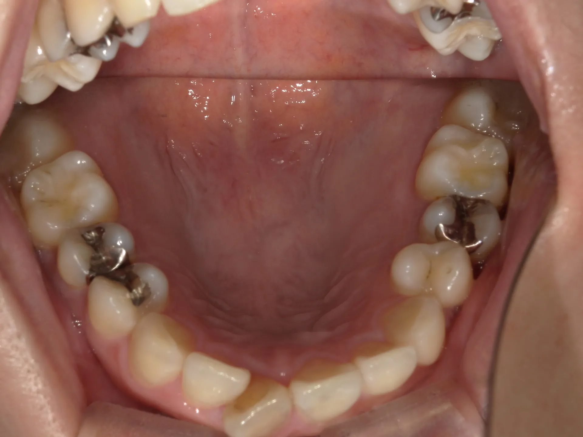
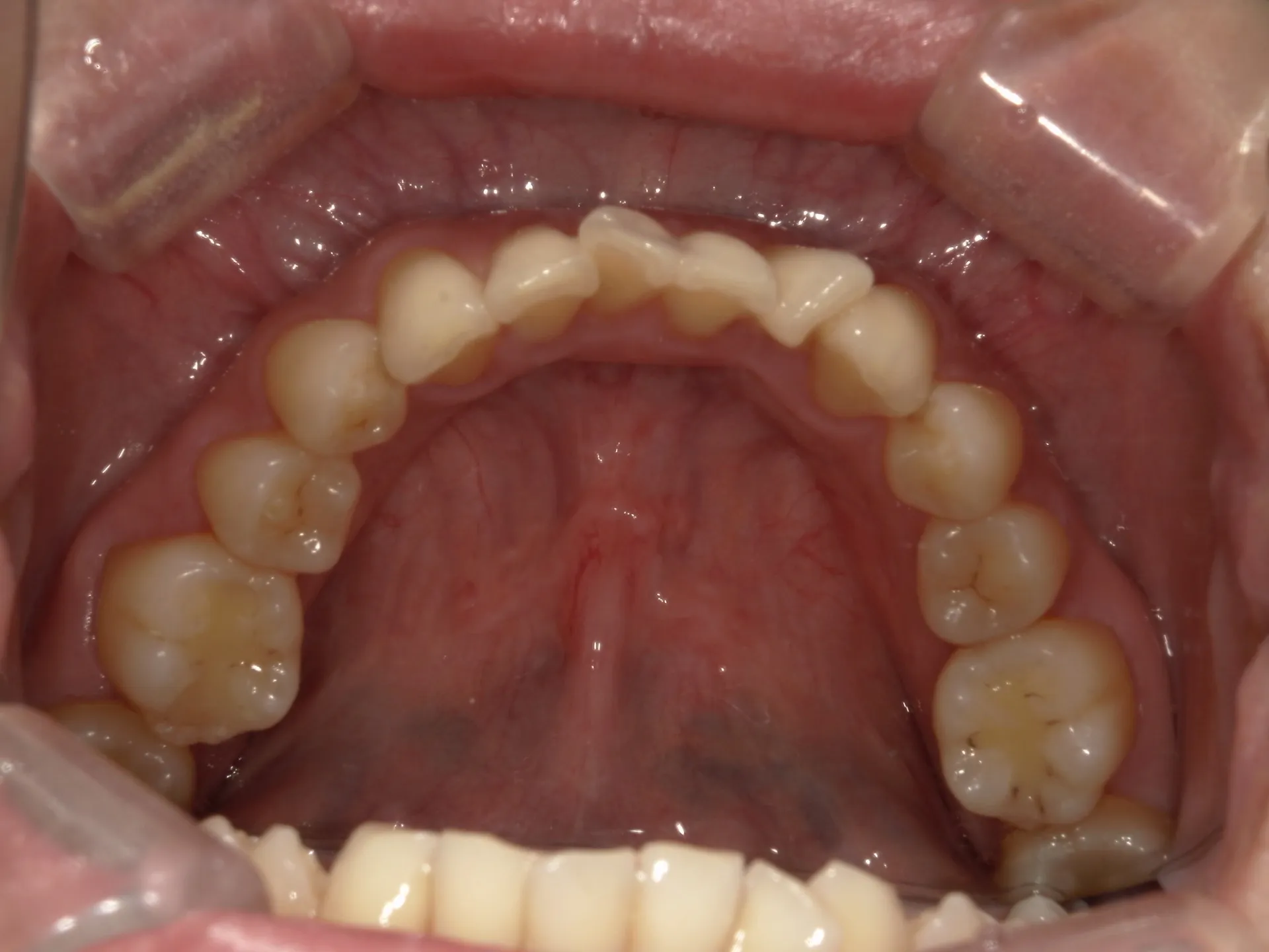
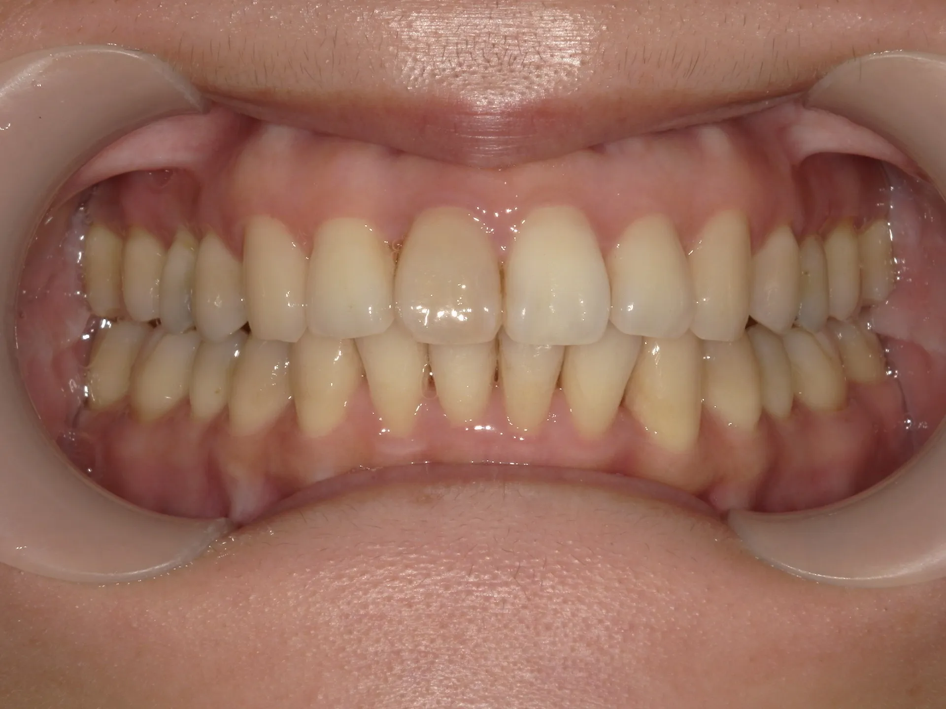
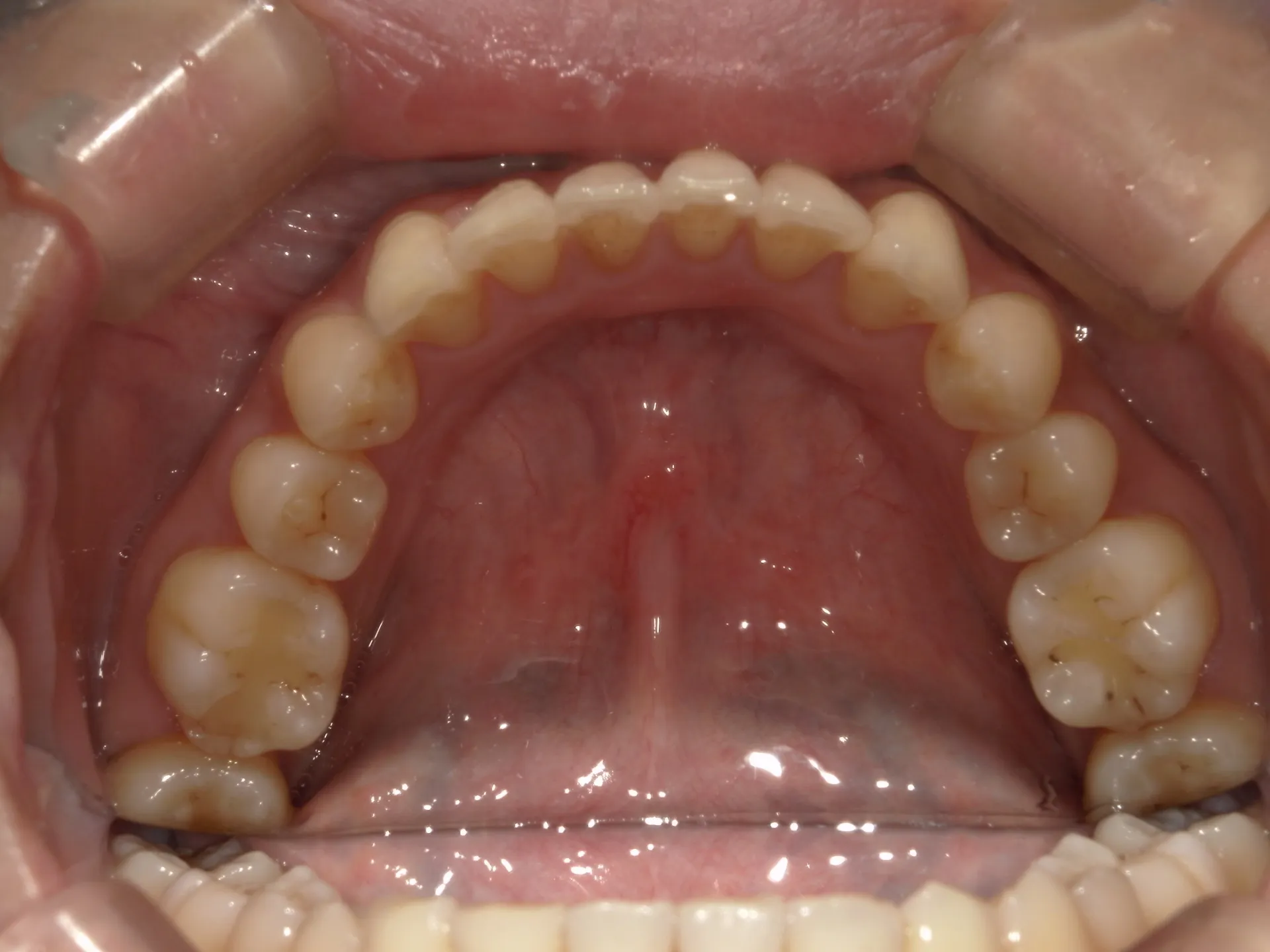
今回はねじれてしまった前歯の矯正治療をインビザラインというマウスピース矯正で治療した症例をご紹介いたします。
歯並びで悩まれている方は是非一度当院でご相談ください!!
----------------------------------------------------------------------
妙典歯科Nクリニック
住所:
千葉県市川市富浜1-7-18 ドエル1-111
電話番号 :
047-316-0305
FAX番号 :
047-316-0322
妙典でマウスピース矯正を体験
----------------------------------------------------------------------


