曲がった根管治療
2025/05/19
こんにちは!
千葉県市川市の妙典駅前にある妙典歯科Nクリニックです。
歯の神経の治療を歯科医院では根管治療と呼びます。
今回は治療途中で中断されていた歯の根管治療をご紹介いたします。
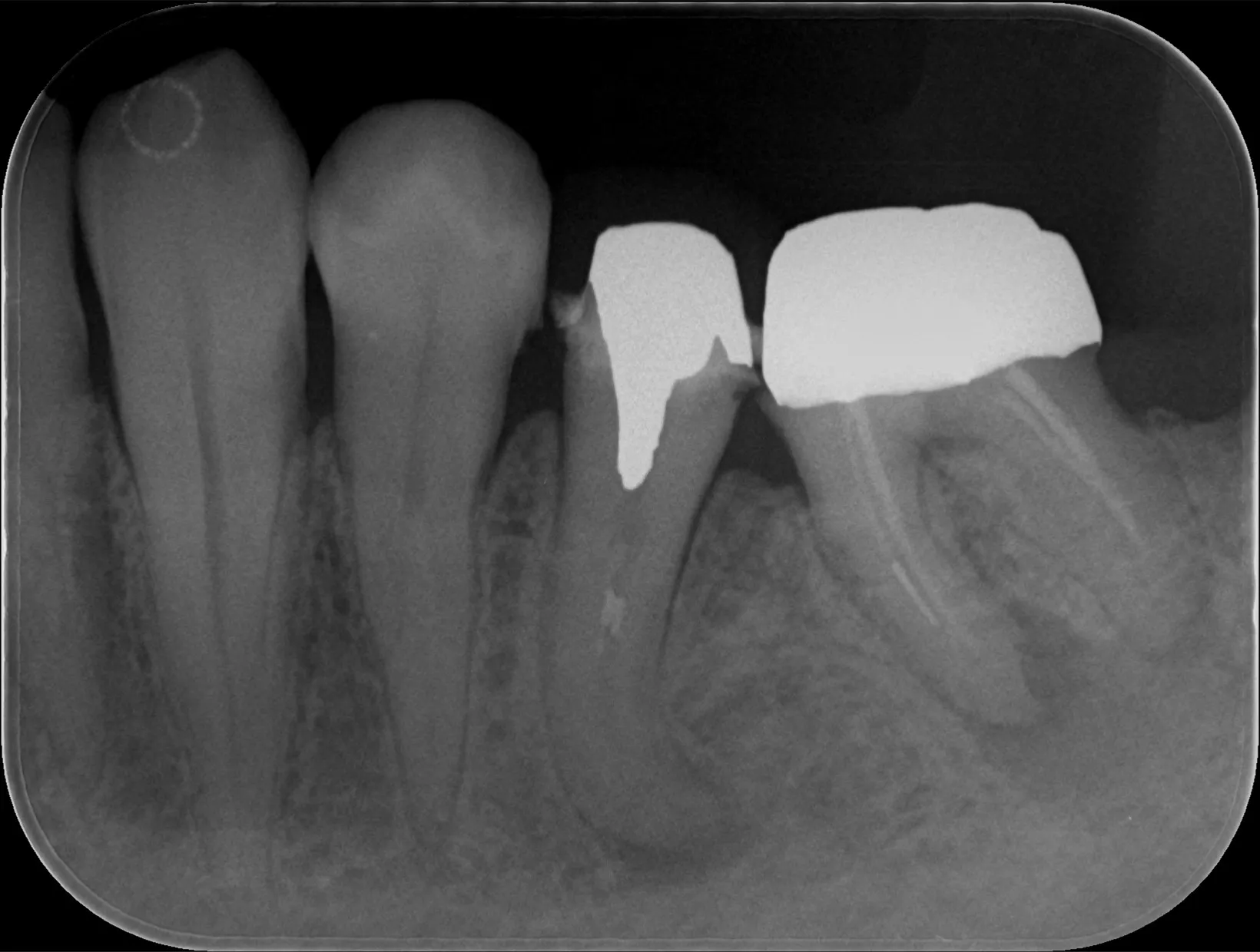
レントゲン画像
右から2番目の歯
レントゲン画像の右から2番目の歯は白い像があり金属の土台が入っている状態で、治療途中になっている歯の継続治療を希望されました。
レントゲン撮影を行わなければおそらくそのまま被せ物の型どりを行って終わりになっていた歯ではありますが、レントゲン撮影を行うと歯根は根尖部で彎曲し、先端部分では黒い影が写っています。
これは歯を支えている骨が溶かされている像で、多くの場合には根尖部に膿が溜まってしまっている状態です。
原因は歯の根っこの中に汚染物質がありそこに細菌が住み着いていることによって根尖方向に膿が出ていき溜まってしまっていることです。
ちなみに更に右に写る歯の根っこの先にも黒い像が写っており同じく膿が溜まってしまっていると思われます。
この状態では継続治療として被せ物を作って終わりというわけにはいかず、金属の土台を外して根っこの治療(根管治療)を行っていくこととしました。
レントゲン画像
治療後
根管治療が終わった時のレントゲン画像です。治療前には写っていなかった白い線状の詰め物を根管に詰めて確認を取っているところです。
右の歯は治療の手を付けていない状態です。
詰め物はしたものの根尖部にある黒い像は変わらずあります。
これはいいのか?と疑問に思うかもしれません。
結論から言うと、問題ありません。
なぜよいのかというと、黒く写っている部分は骨が溶けていた部分です。
膿などの感染物が除去されたとしても骨がすぐに治るということはありません。
すぐ骨が再生するのであれば骨折した場合には全治3か月などと時間はかかりませんよね。
今回根管治療にかかった期間は約2週間です。
感染が除去されても2週間では骨が改善しないため黒い影が残っていても全く問題ないのです。
根管治療は歯の中のかなり細い管での操作になるため、ただでさえ治療中見えにくいのに、根っこが湾曲しているとなると根の先は全く見えません。
そのため最後には必ずレントゲンで問題なく治療されたのか確認をしています。
彎曲度合いが強すぎると器具が入っていかなかったり途中で器具が折れてしまうなんてことも出てきます。
根管治療は何回かかかる治療で患者さんからすると、歯医者は何度も通わせて困ると思うかもしれませんが、歯医者も丁寧な治療を心がけると治療回数も増えてしまうので、根気よく歯医者さんに通院するようにしましょう。
----------------------------------------------------------------------
妙典歯科Nクリニック
住所:
千葉県市川市富浜1-7-18 ドエル1-111
電話番号 :
047-316-0305
FAX番号 :
047-316-0322
----------------------------------------------------------------------


