歯周病治療中の矯正治療
2025/06/13
こんにちは!
千葉県市川市の妙典駅前にある妙典歯科Nクリニックです。
矯正治療を考えている方必見!
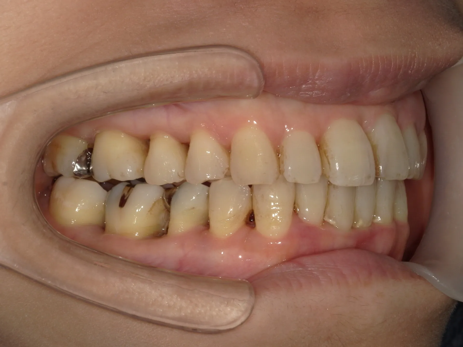
歯周病が重度だと矯正治療を行うことが非常に困難になります!
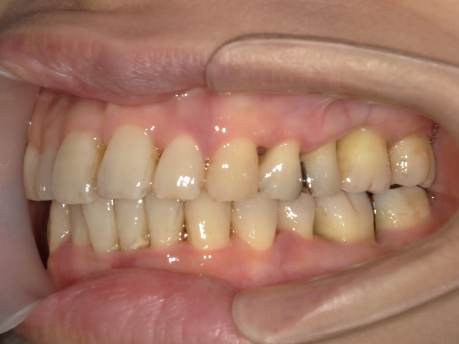
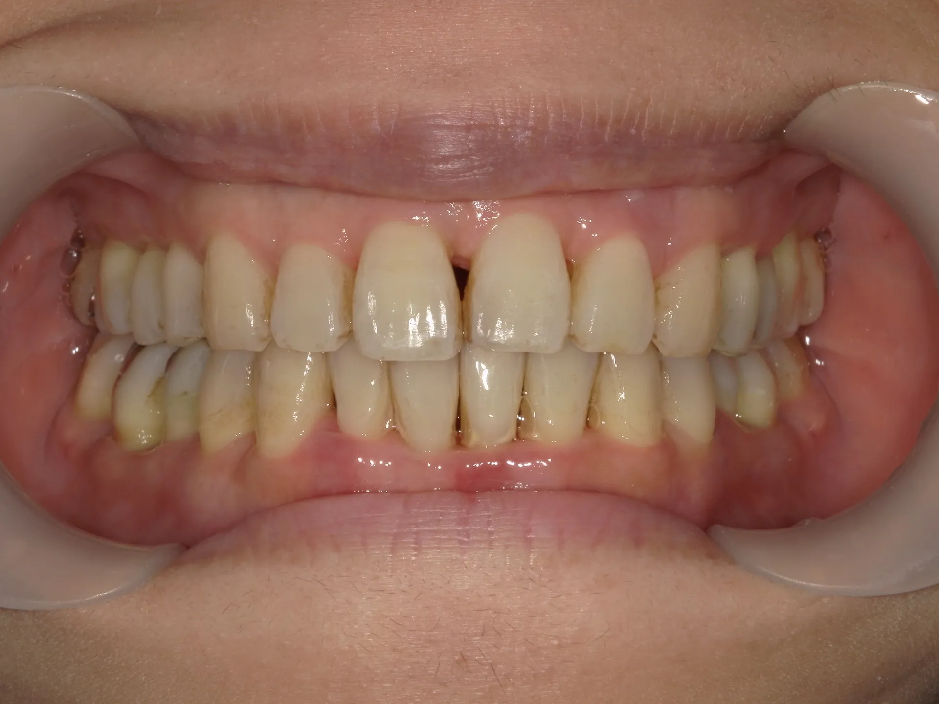
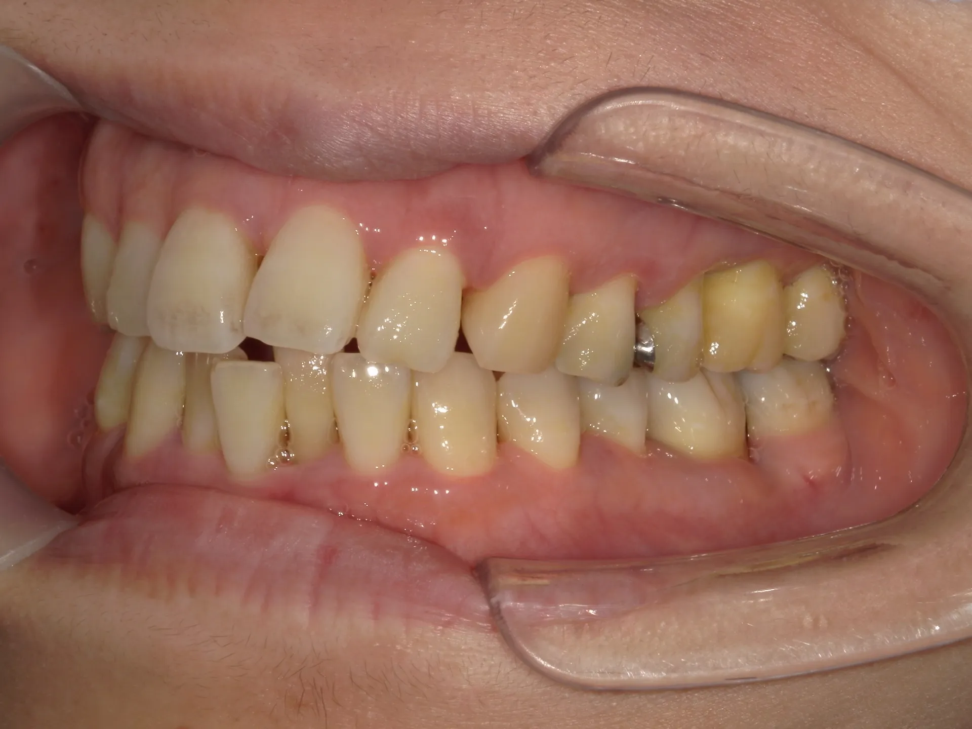
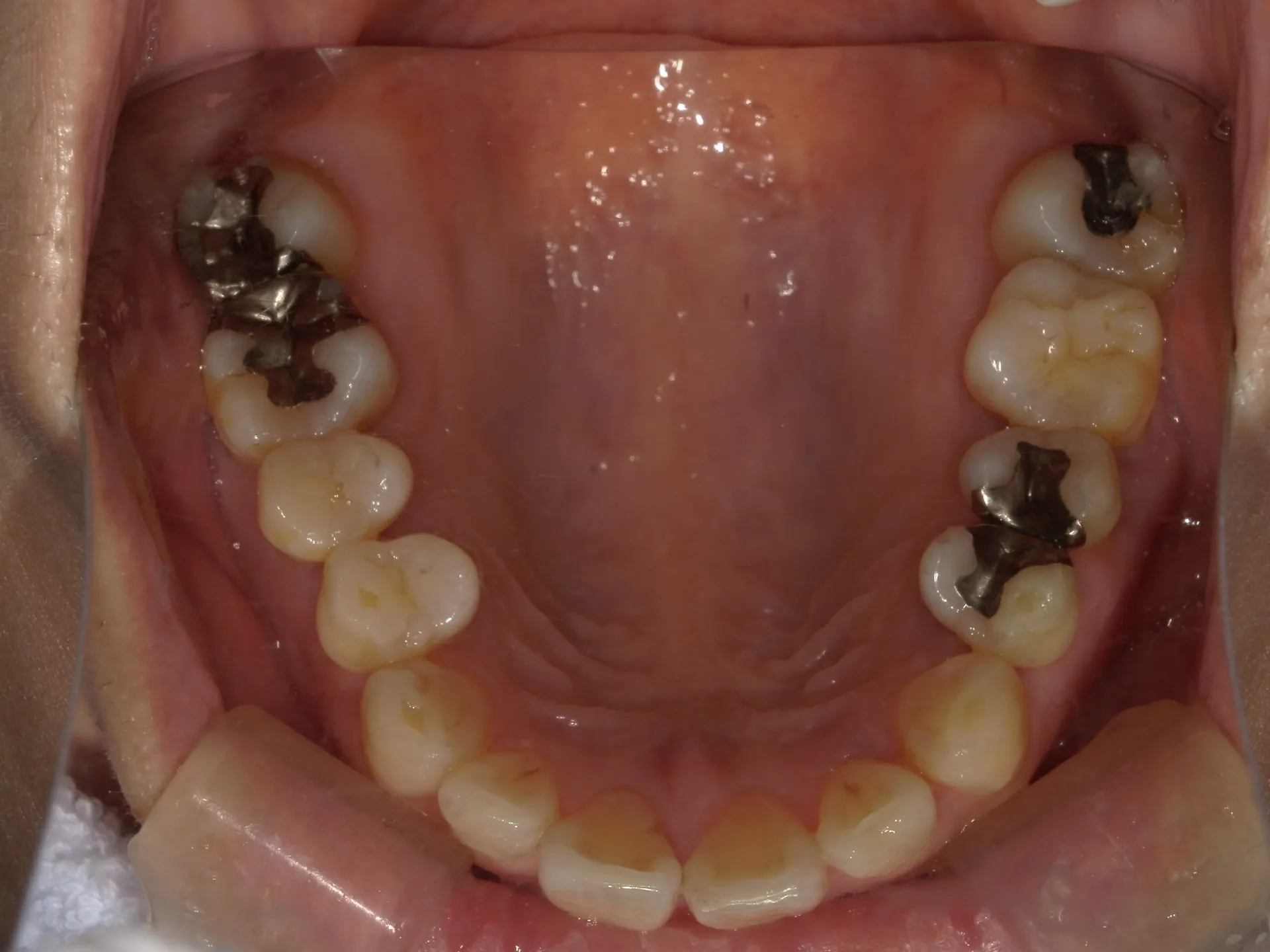
今回は歯周病が進行してしまった方の矯正治療についてご紹介いたします。
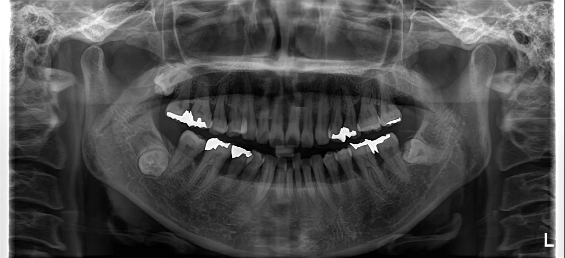
まず歯周病とは歯を支える歯周組織が炎症を起こしてしまう病気です。
歯周組織は歯の根っこの表面にあるセメント質、歯を支えている骨や歯茎、骨と歯をつなぐ靭帯がある歯根膜からなっています。
ここが炎症を起こすと歯茎が腫れたり歯茎から出血したり、歯を支えている骨が炎症によって溶かされて歯が揺れるようになったりと様々な症状が現れていきます。
一方、矯正治療は単純に歯を機能的に並べて個人にあったかみ合わせにしていくことですがそれには歯を支えている歯周組織との関連が大きく重要となります。
歯を動かす際に土台である歯周組織がボロボロであると歯も動きませんし、何より歯が動かせても歯が抜けたりしてしまっては矯正治療の意味が無くなります。
逆に、歯のガタツキが矯正治療によって改善されるなら、歯磨きがしやすく歯周病に対して予防しやすくなるというメリットでもあります。
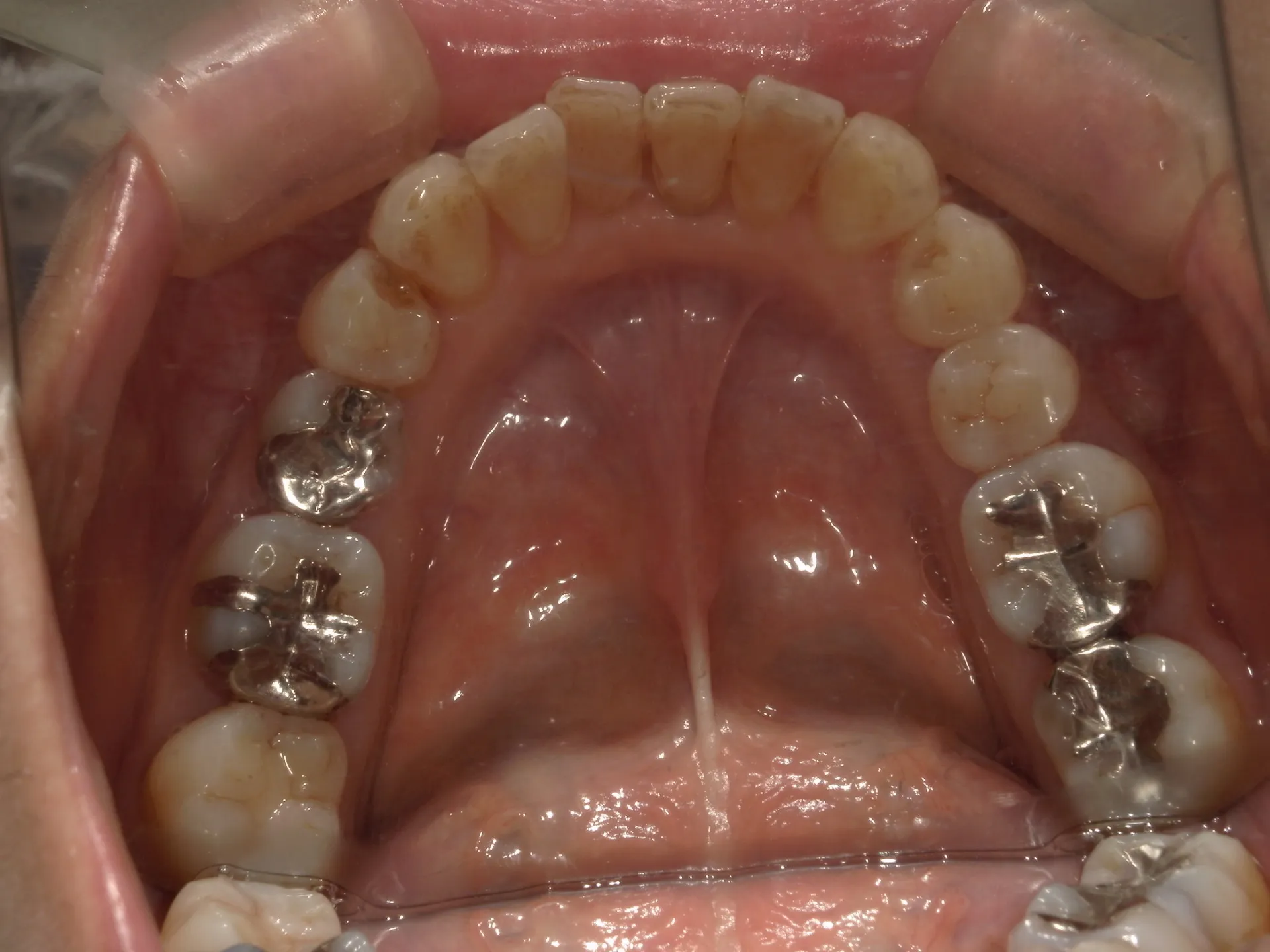
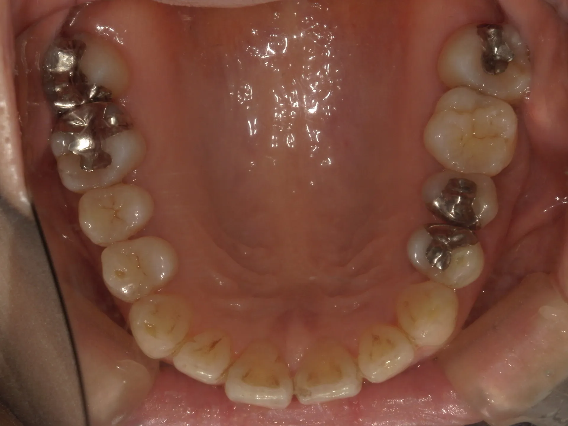
歯周病に対しての治療法として矯正治療があり、矯正治療のリスクとして歯周病があるという複雑な状況のためどちらの治療も同時進行的に行っていく必要があります!
当院では矯正治療と歯周治療を平行して行うことにより矯正治療を進めていけることができました。
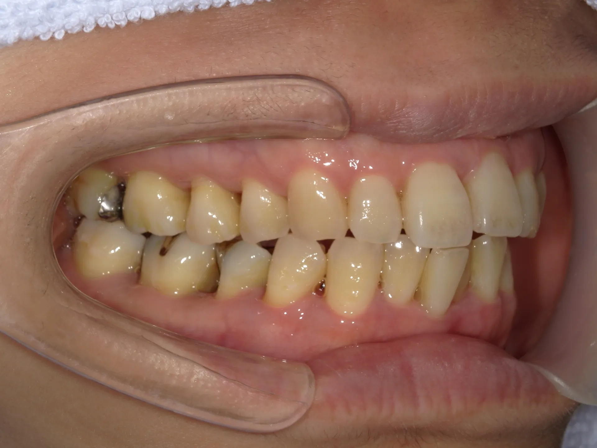
しかしながら、今回の治療途中で歯茎が腫れるなどの影響もあり、歯周治療中の矯正治療はリスクであることは患者様にも初回の段階で説明していることもあり、患者様もこの状態の歯並びで満足しており、歯を残すためにも今回は矯正治療を中断する希望をされました。
歯医者から見た治療のゴールと患者様からみたゴールが違うことや今後の歯の寿命を考えた将来性も鑑みて治療を行っていくことが重要なことであるので、しっかりと患者さまとコミュニケーションをとって治療を進めていける歯科医院であることを当院は目指しております。
矯正治療をご検討される際は是非一度当院でご相談ください。
----------------------------------------------------------------------
妙典歯科Nクリニック
住所:
千葉県市川市富浜1-7-18 ドエル1-111
電話番号 :
047-316-0305
FAX番号 :
047-316-0322
妙典でマウスピース矯正を体験
妙典のクリーニングで歯をケア
----------------------------------------------------------------------


