巨大な歯根膿瘍の根管治療1.5年経過症例
2025/06/24
こんにちは!
千葉県市川市の妙典駅前にある妙典歯科Nクリニックです。
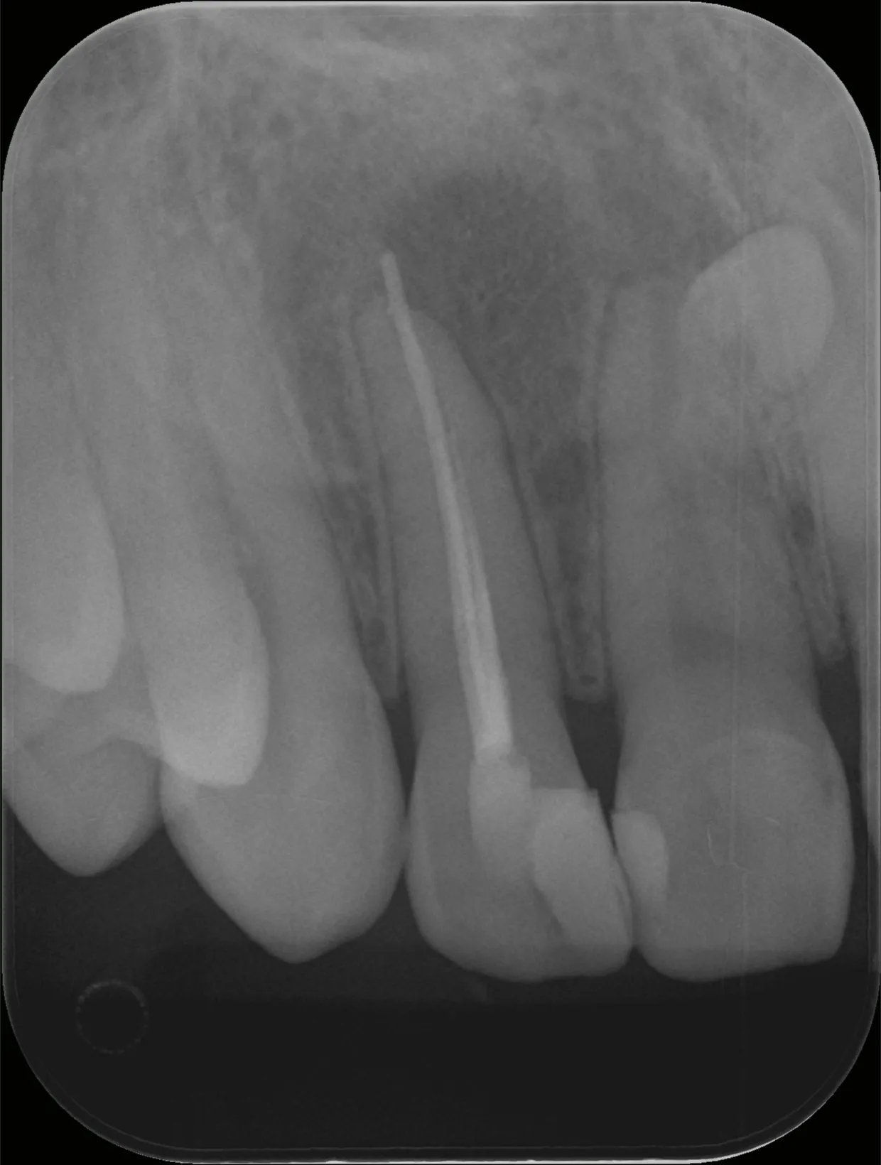
歯の根っこ先に膿ができることはご存じでしょうか?
歯の根っこの先に膿ができる病気を歯根膿瘍、または袋状になった物を歯根嚢胞と言います。
今回は歯根膿瘍で上あごが大きく腫れてしまっていた状態の治療とその経過についてご紹介いたします。
----------------------------------------------------------------------
妙典歯科Nクリニック
住所:
千葉県市川市富浜1-7-18 ドエル1-111
電話番号 :
047-316-0305
FAX番号 :
047-316-0322
----------------------------------------------------------------------


