12歳臼歯の邪魔をする親知らず!?
2025/08/20
こんにちは!
千葉県市川市の妙典駅前にある妙典歯科Nクリニックです。
親知らずと12歳臼歯
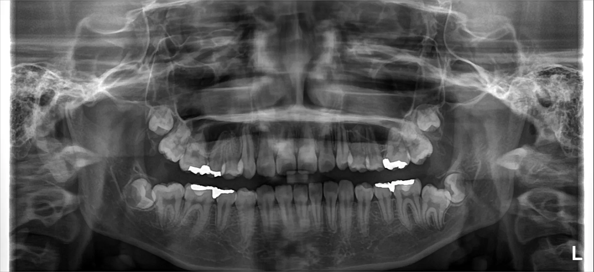
パノラマレントゲン写真
12歳臼歯と言われる歯があります。
それは前から7番目の歯を指していて、親知らずはその更に奥の8番目に該当します。
12歳臼歯と言われる通りおおよそは12歳前後の年齢で生えてきますし、もう一つ手前の歯は6歳臼歯とも呼ばれるように6歳で生えて来ることが一般的です。
親知らずは顎が大きい方などは問題なく真っすぐ生えて来るのですが、顎が小さくなってきている日本人では多くの場合前に傾いて生えるor引っかかって出てこないということがあります。
今回は12歳を過ぎても左右上下の他の歯は12歳臼歯が生えているのに左下だけが生えてこないという現象が起きた患者様でした。
原因は先ほど述べた通り親知らずが12歳臼歯に顎の中で引っかかっており、12歳臼歯が生えて来るのを阻害してしまっていました。
歯の性質上、歯の噛む面に向かって生えるという現象があるため直角にぶつかった歯同士ではお互いに生えるのを阻害してしまっています。
今回は矯正治療の依頼で親知らずを抜歯することとなりました。
矯正治療の親知らず抜歯では保険治療とはならず、自由診療(自費診療)という形での抜歯となります。
歯は基本生えてから3年で歯の根っこが完成すると言われており、親知らずはおよそ18歳ごろから生え始めることが多く、まだまだ歯が完成していない状態です。
このころの親知らずは歯嚢と呼ばれる袋状の膜に一層覆われており、抜歯をしようと力をかけるとコロコロと回ってしまうので、力がかかりにくく抜歯も通常と違いやりにくさがあったりします。
当院では完全に埋まった親知らずの抜歯も一部対応しておりますので是非一度当院でご相談ください。
----------------------------------------------------------------------
妙典歯科Nクリニック
住所:
千葉県市川市富浜1-7-18 ドエル1-111
電話番号 :
047-316-0305
FAX番号 :
047-316-0322
----------------------------------------------------------------------


