親知らずの抜歯難易度は生え方によって大きく変わる!!
2025/08/26
こんにちは!
千葉県市川市の妙典駅前にある妙典歯科Nクリニックです。
4本の親知らずは難易度が違う!
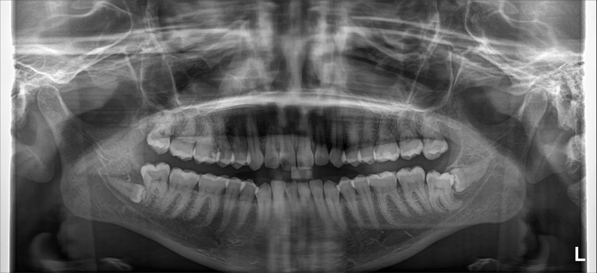
パノラマレントゲン写真
親知らず(下顎智歯)の抜歯難易度を評価する際に用いられる代表的な分類のひとつが Winter分類(Winter’s Classification) です!
これは 親知らず(下顎第三大臼歯)が第二大臼歯に対してどのような方向で埋伏しているか を示すもので、抜歯の難易度評価にも活用されます。
Winter分類(方向による分類)
Vertical impaction(垂直埋伏)
真っ直ぐに萌出しようとしている
難易度:比較的低い
Mesioangular impaction(近心傾斜埋伏)
前方(第二大臼歯側)に傾いている
最も多いタイプ(約40〜50%)
難易度:中等度
Distoangular impaction(遠心傾斜埋伏)
後方に傾いている
下顎枝に近くなるためスペースが少なく、抜歯困難になりやすい
難易度:やや高い
Horizontal impaction(水平埋伏)
第二大臼歯に水平にぶつかる形で埋伏
骨や隣接歯との干渉が大きく、骨削除や分割が必要になることが多い
難易度:高い
Buccolingual impaction(頬舌的埋伏)
歯冠が頬側あるいは舌側に倒れている
イレギュラーで比較的まれだが、舌神経・頬神経損傷のリスクがある
難易度:高い
難易度の一般的な順序(低 → 高)
垂直 < 近心傾斜 < 遠心傾斜 < 水平 ≒ 頬舌的
📌 実際の抜歯難易度は Winter分類だけでなく
Pell & Gregory分類(上下方向・前後方向の埋伏度合い)
患者さんの年齢、骨の硬さ
根の形態(湾曲・分岐)
神経(下歯槽神経管)との位置関係
なども総合的に考慮して判断されます。
----------------------------------------------------------------------
妙典歯科Nクリニック
住所:
千葉県市川市富浜1-7-18 ドエル1-111
電話番号 :
047-316-0305
FAX番号 :
047-316-0322
----------------------------------------------------------------------


