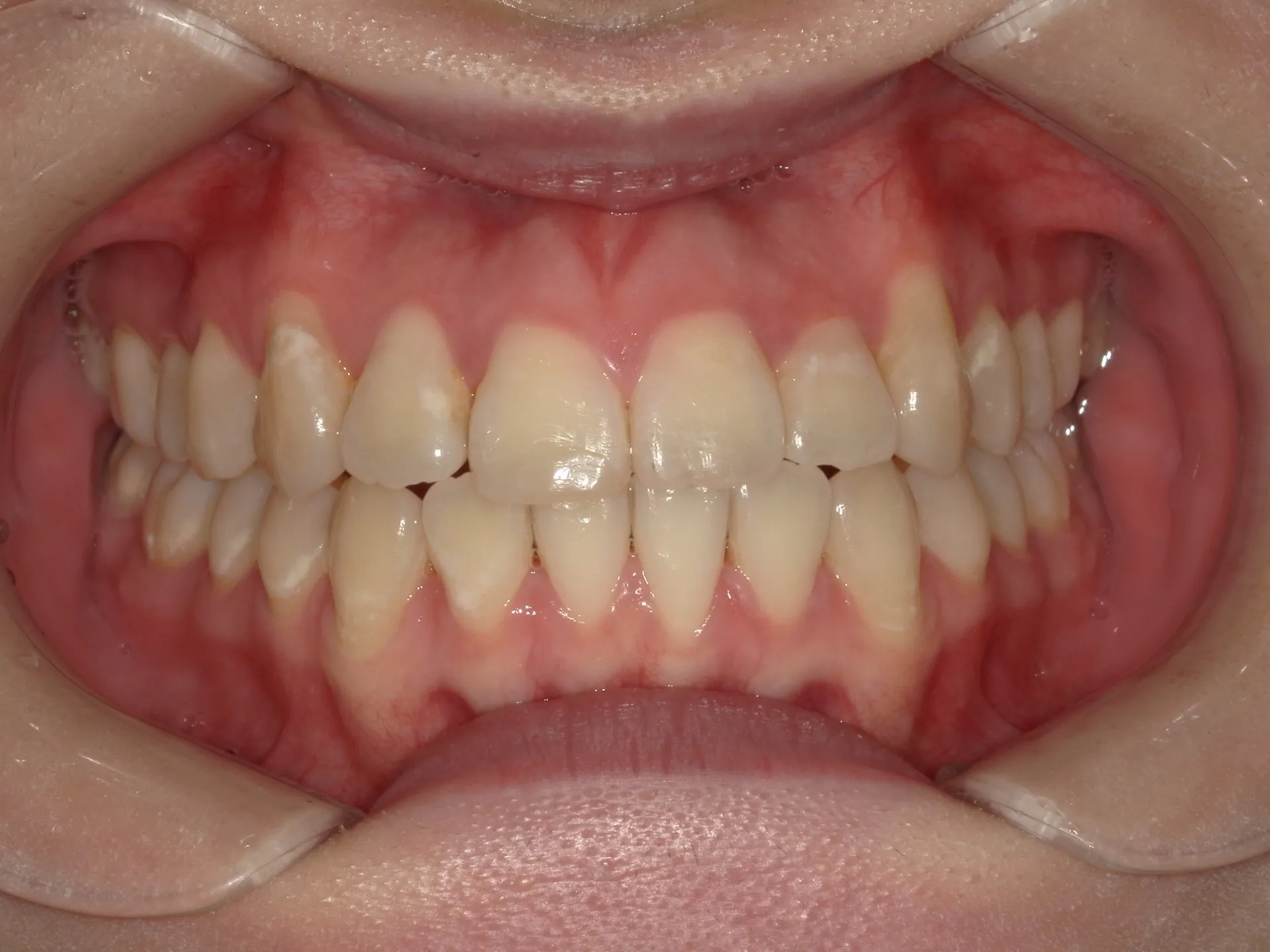
マウスピース矯正でここまで変わる!!
2025/09/19
こんにちは!
千葉県市川市の妙典駅前にある妙典歯科Nクリニックです。
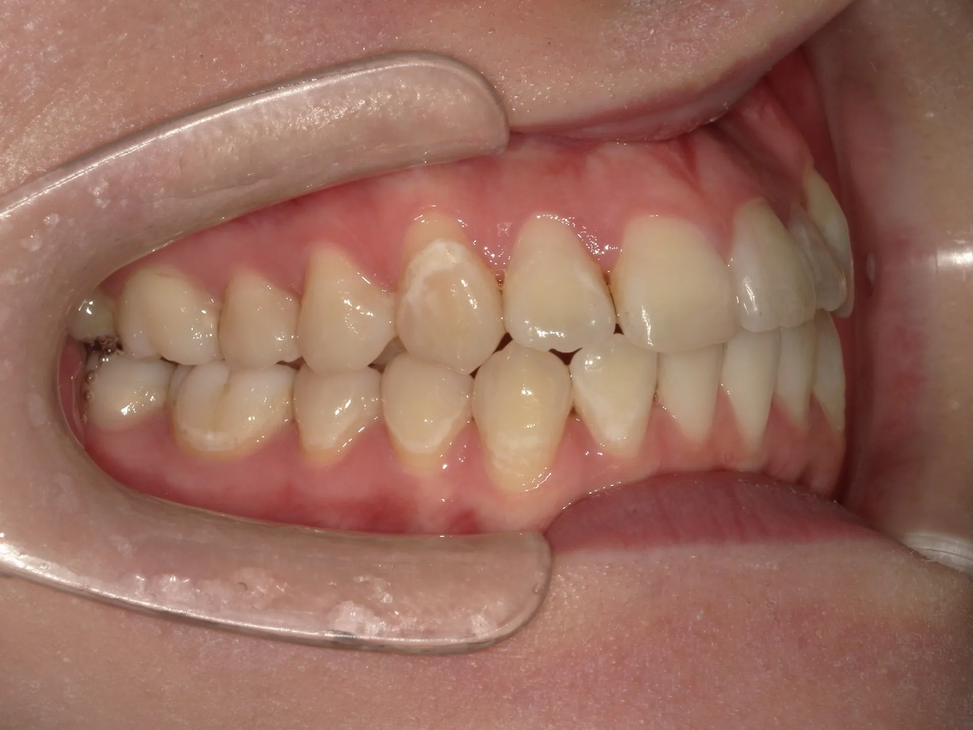
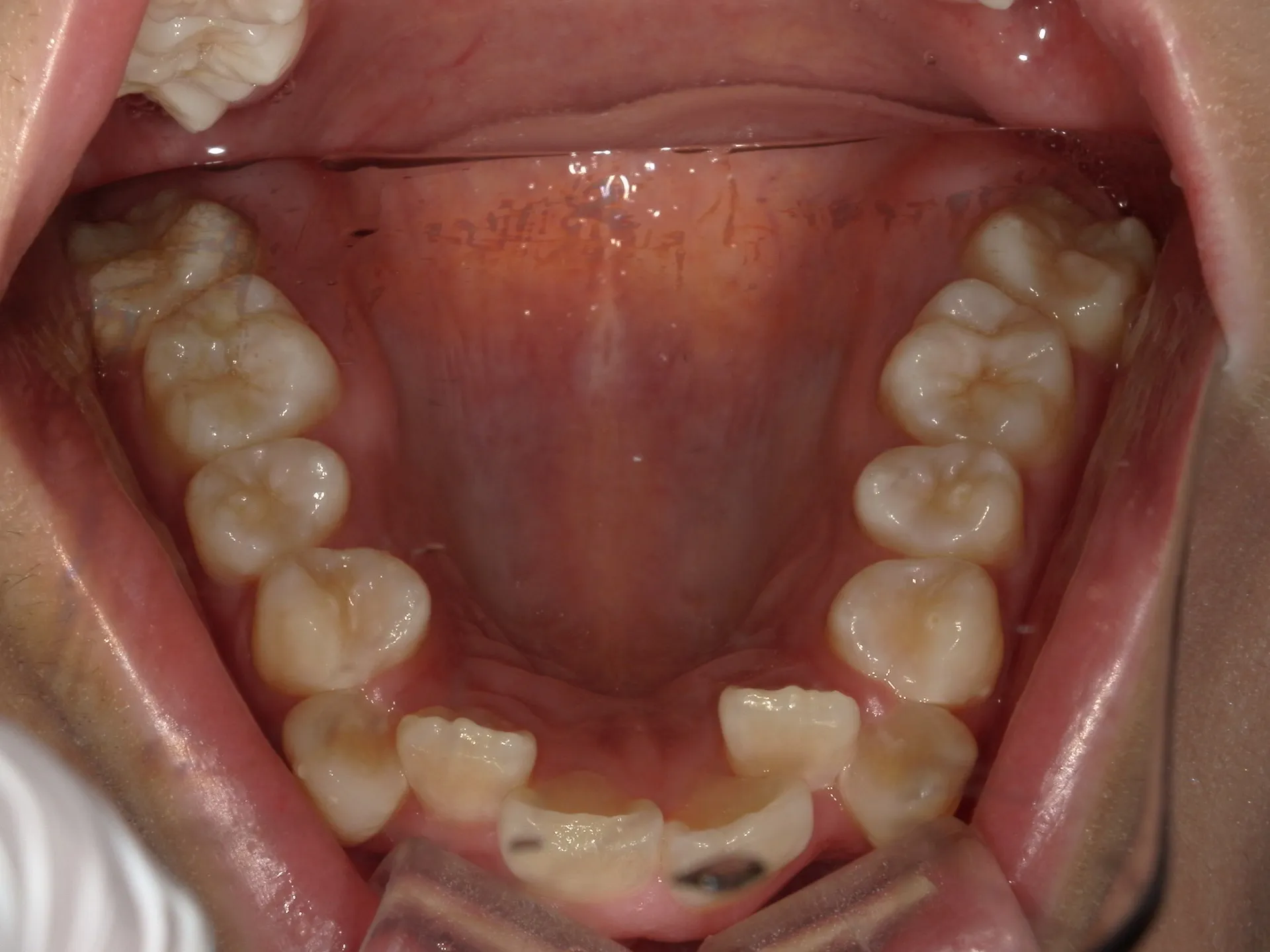
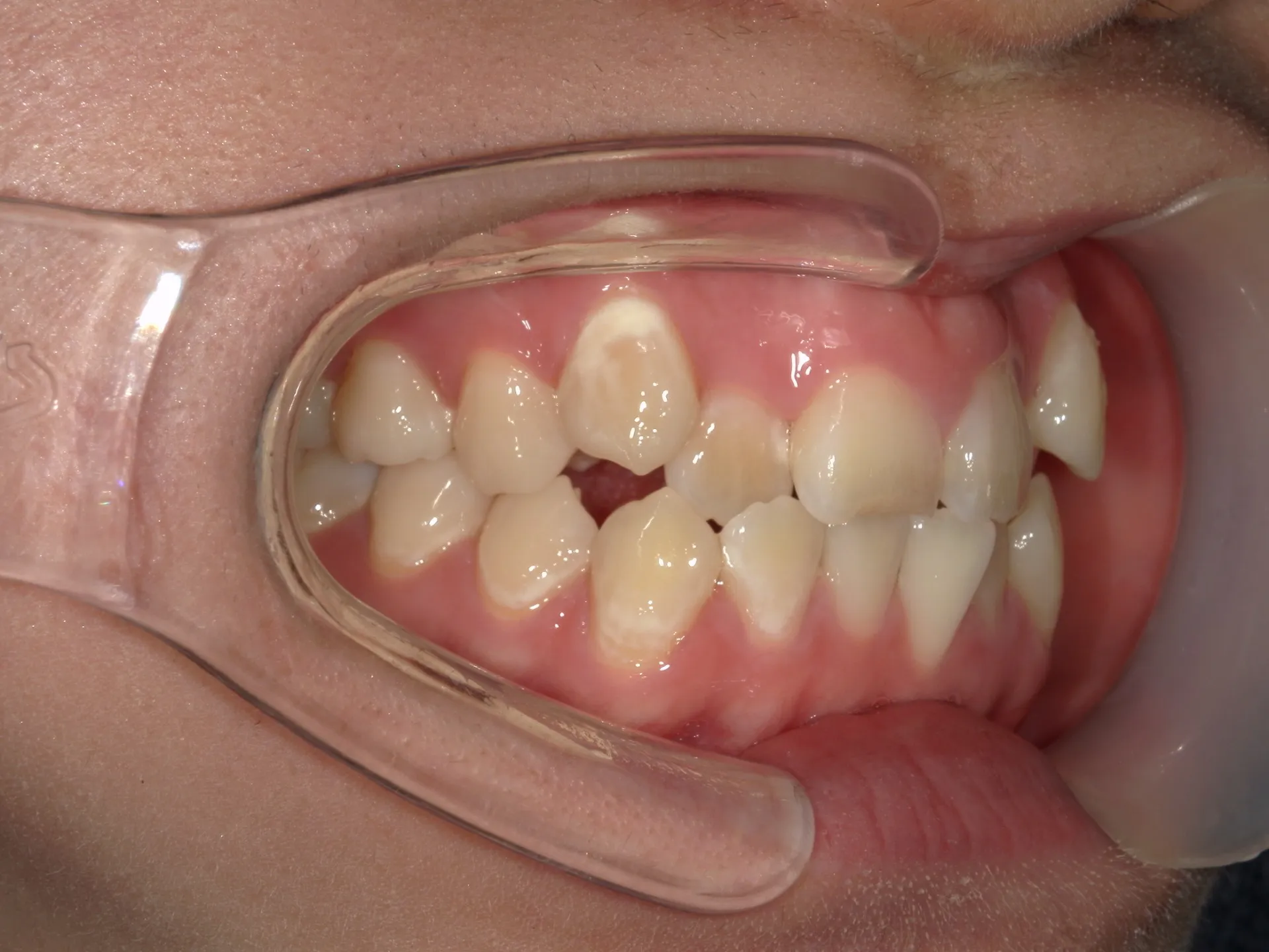
八重歯など前歯の歯のガタツキ気になりませんか?
今回はマウスピース矯正で治療した八重歯の矯正についてご紹介いたします。
マウスピース矯正はワイヤー矯正と比較して軽度~中等度しか利用できないと言われることもあります。
どこまでが軽度でどこまでが中等度のガタツキなのかにもよりますが、治療前の歯並びであれば患者さんの協力も当然必要ですが、マウスピース矯正でも十分治療できることが分かります。
----------------------------------------------------------------------
妙典歯科Nクリニック
住所:
千葉県市川市富浜1-7-18 ドエル1-111
電話番号 :
047-316-0305
FAX番号 :
047-316-0322
妙典でマウスピース矯正を体験
----------------------------------------------------------------------


