内側に倒れた前歯を矯正で正す!
2025/12/23
こんにちは!
千葉県市川市の妙典駅前にある妙典歯科Nクリニックです。
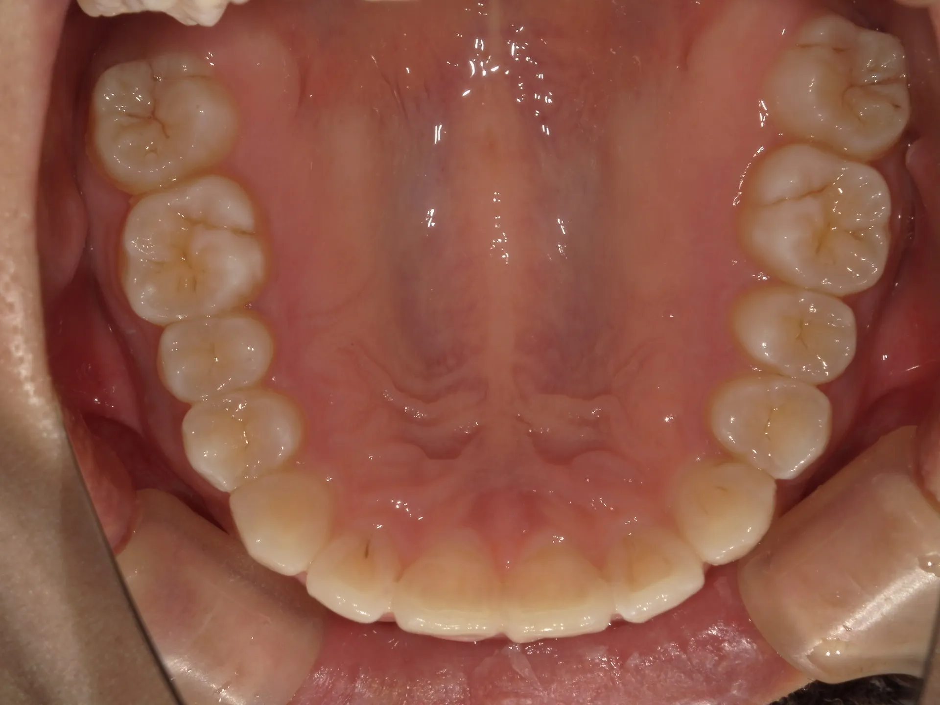
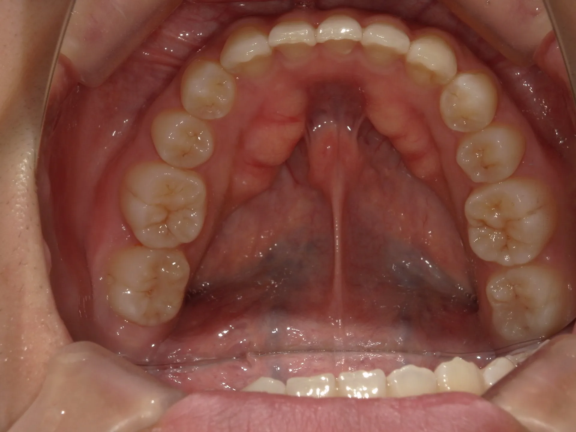
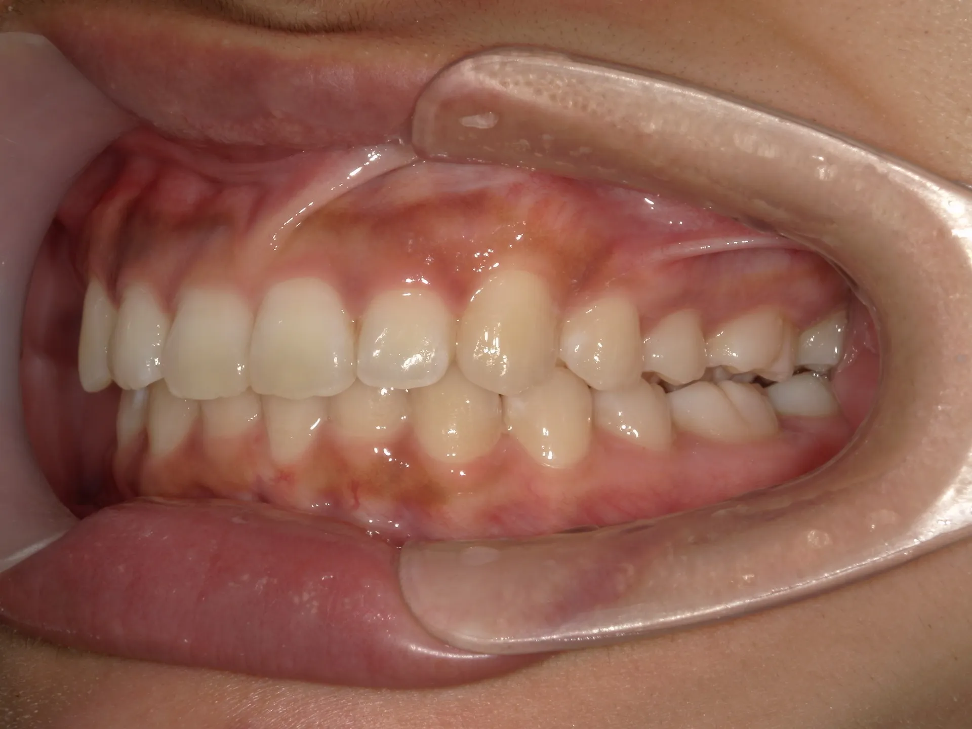
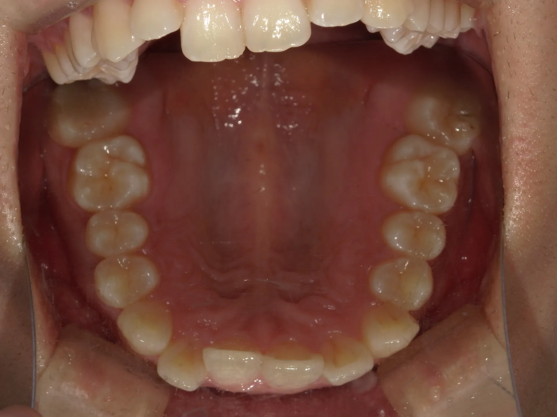
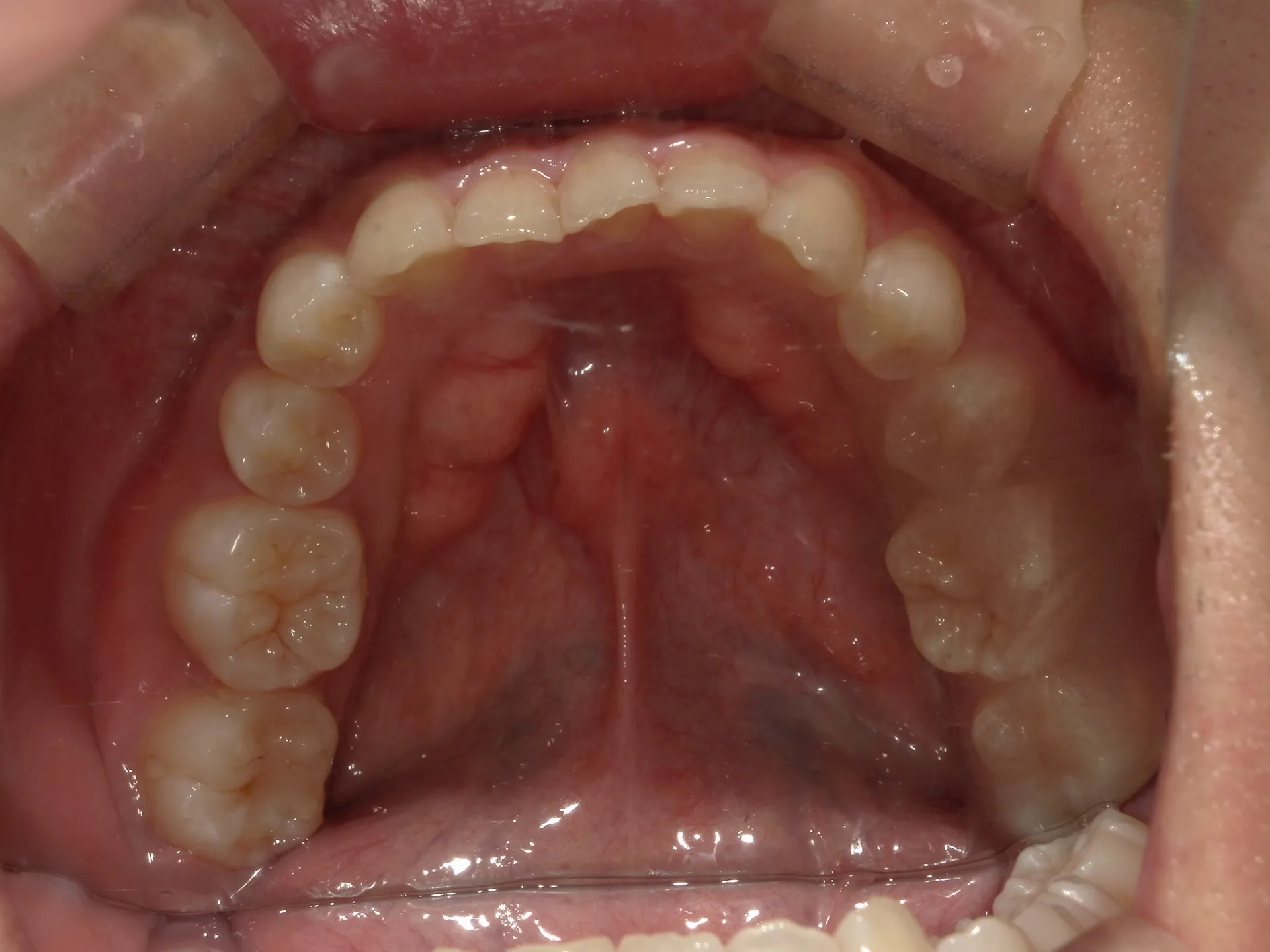
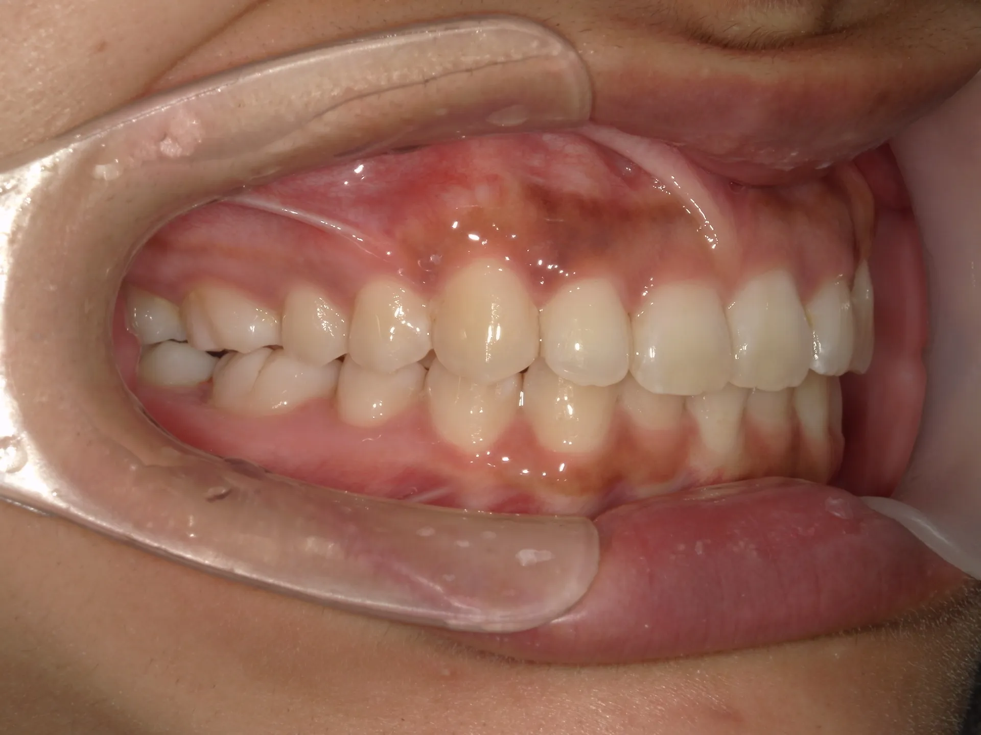
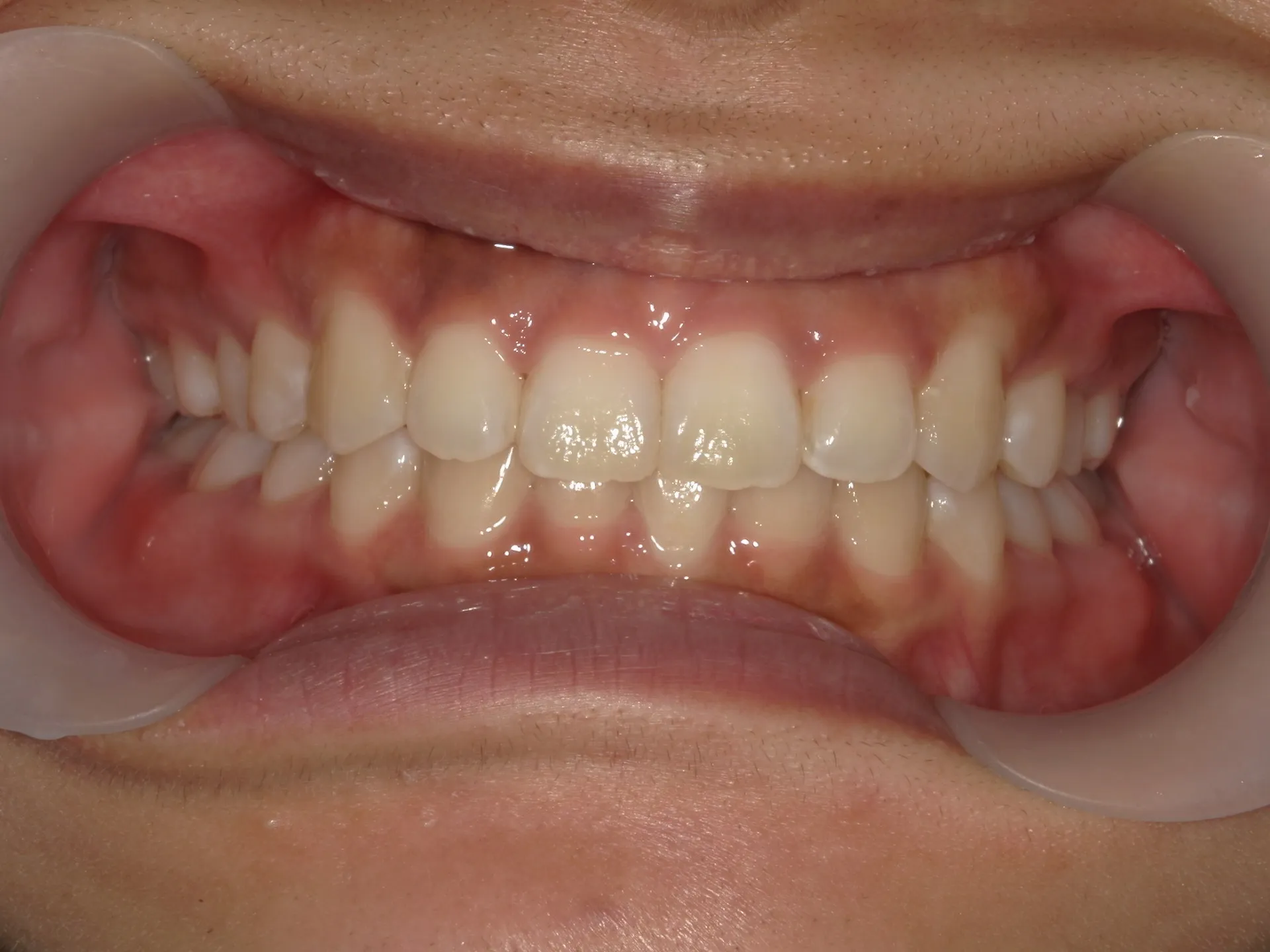
前歯が内側に倒れてたりしませんか?
または2番目の歯が外側に飛び出していませんか?
この2つはよく同時に起こることがあります。
今回はインビザライン矯正治療(マウスピース矯正)で治療した症例についてご紹介いたします。
インビザライン矯正治療で最も重要なのは設計と患者さんの協力です。
設計はインビザライン矯正治療の得意な先生に矯正の相談を行うことで解決できます。
しかしながら、インビザライン矯正治療は患者さん自身でマウスピースを着脱する必要があるため、はめている時間が最低でも20時間以上を守ることができるかが非常に重要になってきます。
インビザライン矯正治療を開始する時には20時間使用することができると意気込んでいても、やはり人間どこかで継続することが難しくなることもあります。
矯正治療は1日や2日で終わるような治療ではないため、患者さんの忍耐力・継続力が矯正治療を成功させるポイントです。
矯正治療をお考えの方は是非一度当院でご相談ください!
----------------------------------------------------------------------
妙典歯科Nクリニック
住所:
千葉県市川市富浜1-7-18 ドエル1-111
電話番号 :
047-316-0305
FAX番号 :
047-316-0322
妙典でマウスピース矯正を体験
----------------------------------------------------------------------


