舌の下に膨らんだ出来物
2026/01/07
こんにちは!
千葉県市川市の妙典駅前にある妙典歯科Nクリニックです。
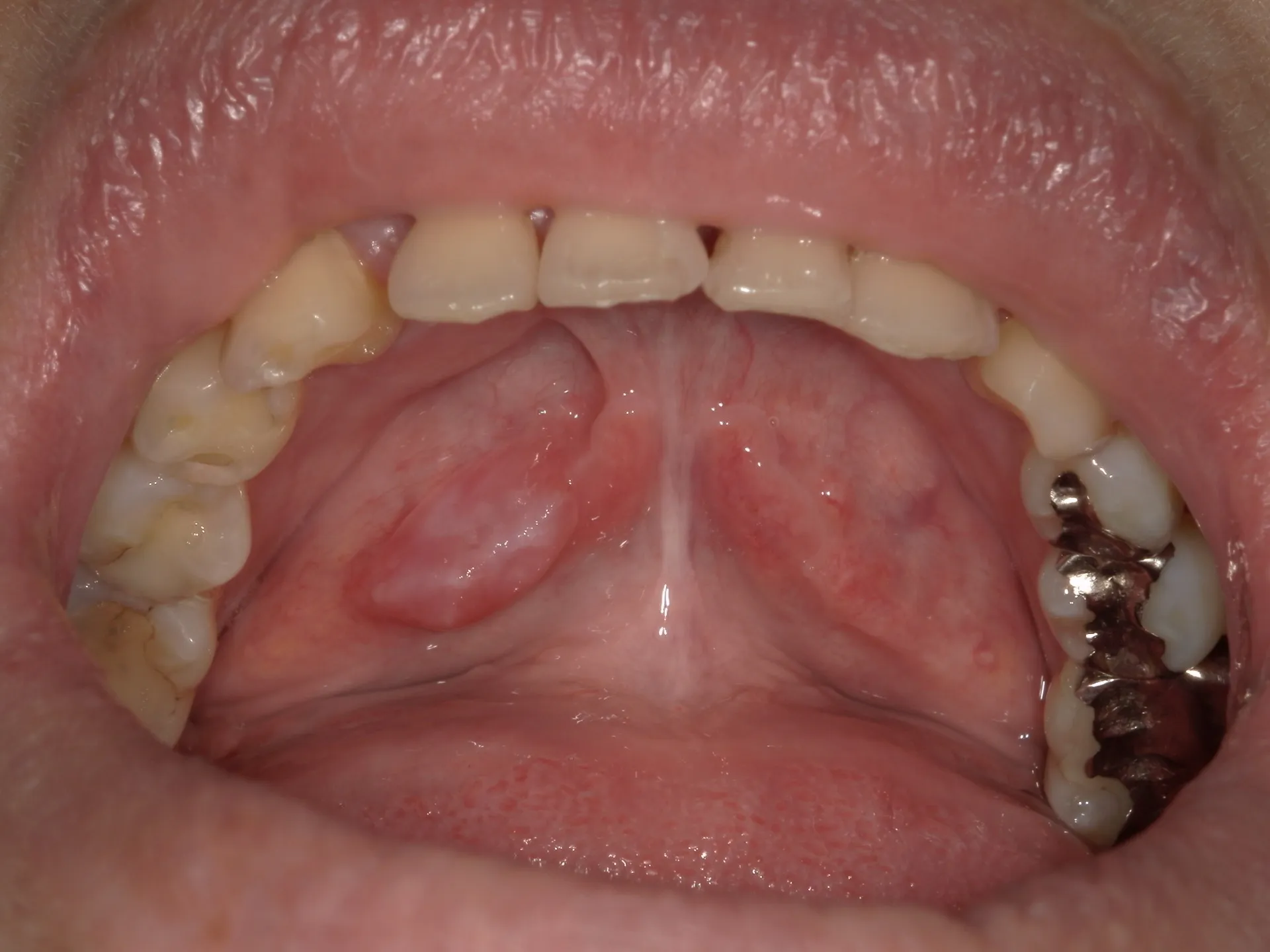
舌の下(口腔底)に膨らみができたことはありませんか?
口腔底の解剖図
ネッター解剖学アトラス引用
この解剖図では下あごを一部除去し舌の下の内部が確認できます。
この解剖図ではヒダの部分には小さな穴が空いておりその直下には脳みそのようなイラストがあり、これが唾液を作る工場である唾液腺です。
この唾液腺から唾液を排出する出口の集まりが舌下ヒダなのです。
今回の病態はガマ腫とよばれ、
唾液の工場から外に排出されるべき管が何かの拍子に破れて、組織の中に溢れ出た状態が膨らんでいるのです。
特徴として、
・痛みはほぼなく柔らかいドーム状をしている。
・腫脹のスピードは緩やか。
・内部はやや透明感のある青。
治療法は第一選択では開窓術を行いますが、単純に切開して粘液を出すだけでは再発確率は60%あり、かなり高い水準になります。
開窓にガーゼを入れることで再発率は10%程度に減少しますが、もっと良い方法は唾液腺ごと摘出することです。
しかしながら、唾液腺を摘出するということは唾液を作る工場をなくすということであるのとともに術式が難しくなります。
もしガマ腫かなと思ったら是非一度当院でご相談ください。
----------------------------------------------------------------------
妙典歯科Nクリニック
住所:
千葉県市川市富浜1-7-18 ドエル1-111
電話番号 :
047-316-0305
FAX番号 :
047-316-0322
----------------------------------------------------------------------


