正中離開を18週間で治す!インビザライン矯正治療
2026/02/07
こんにちは!
千葉県市川市の妙典駅前にある妙典歯科Nクリニックです。
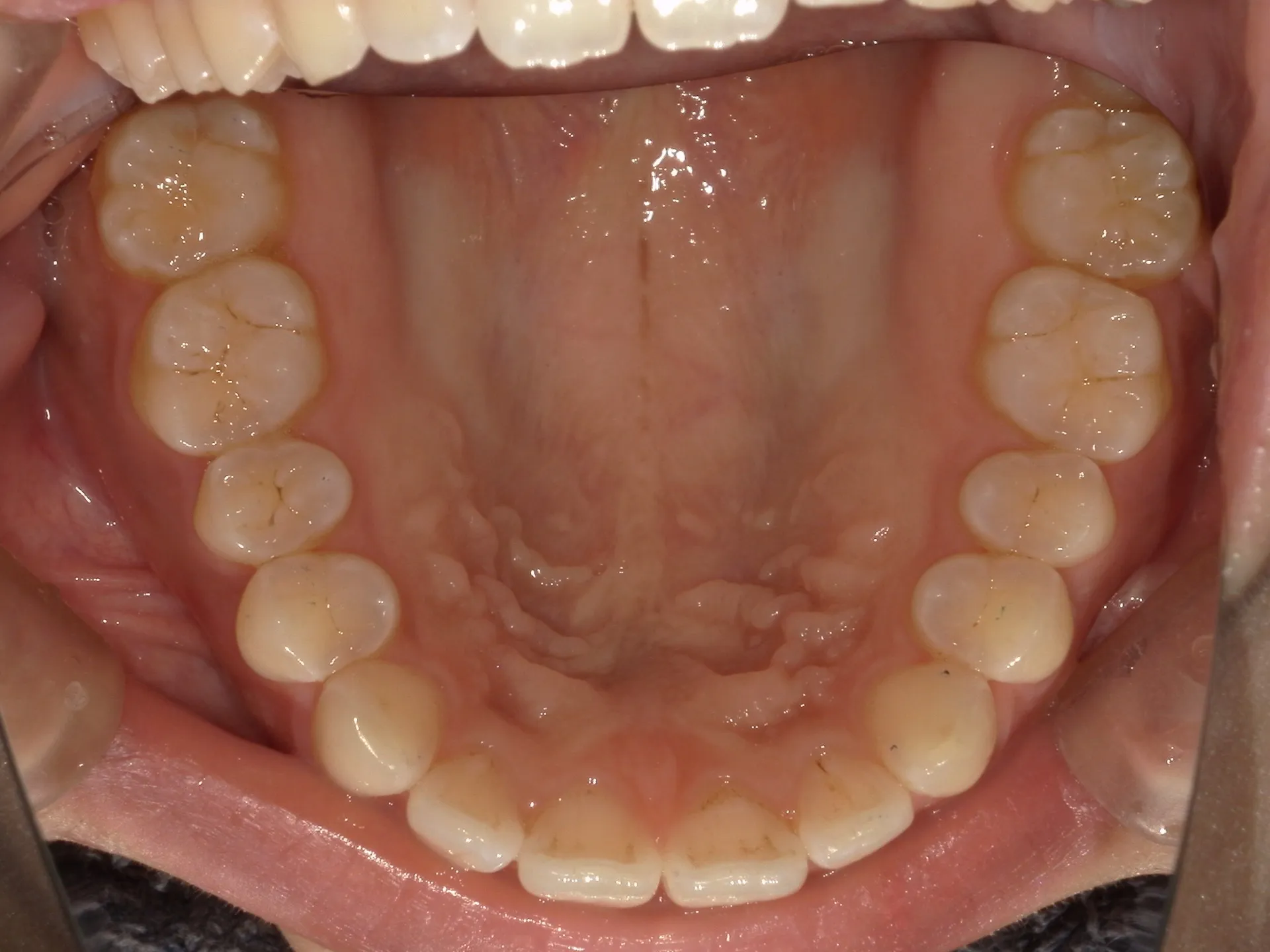
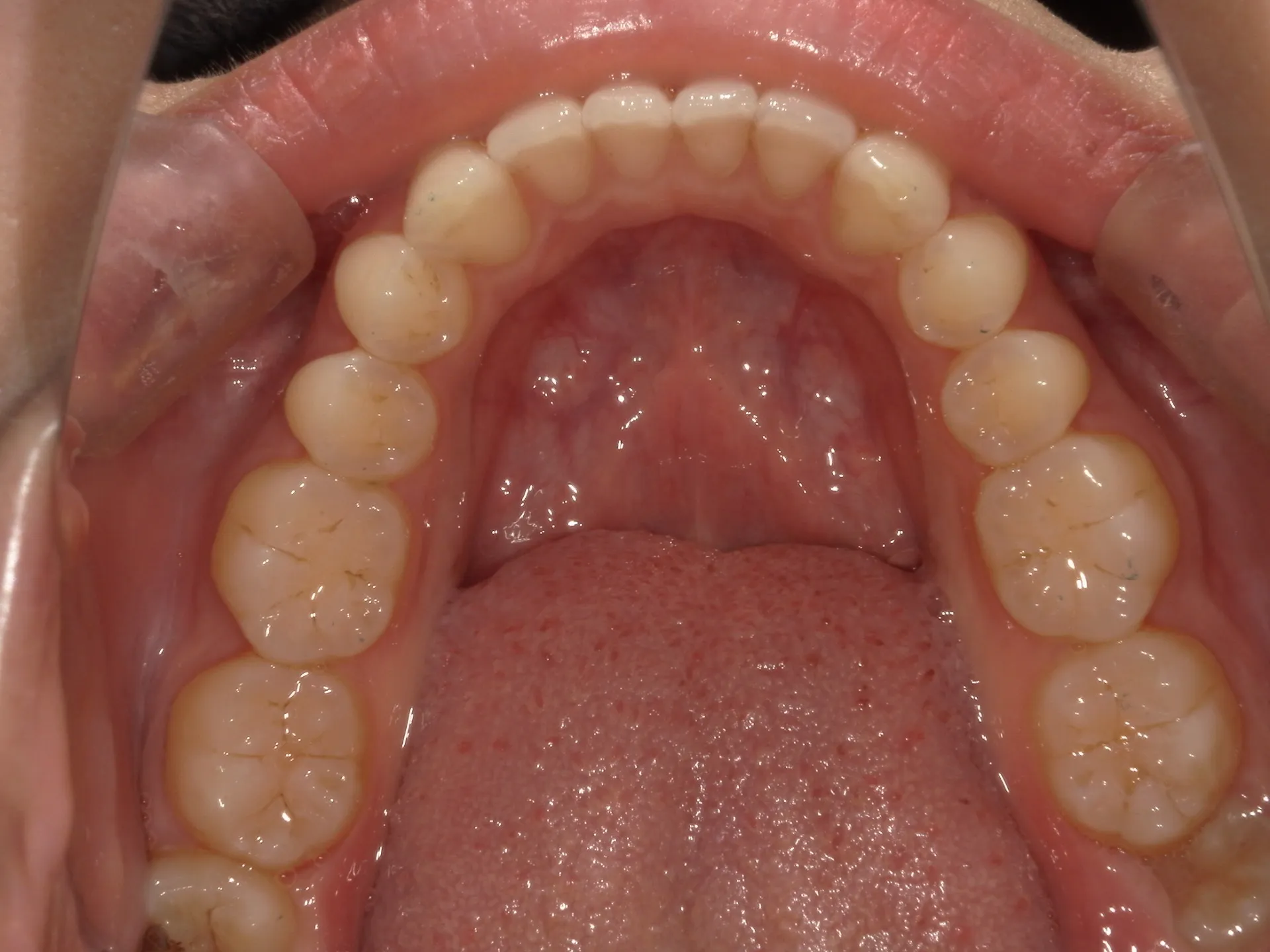
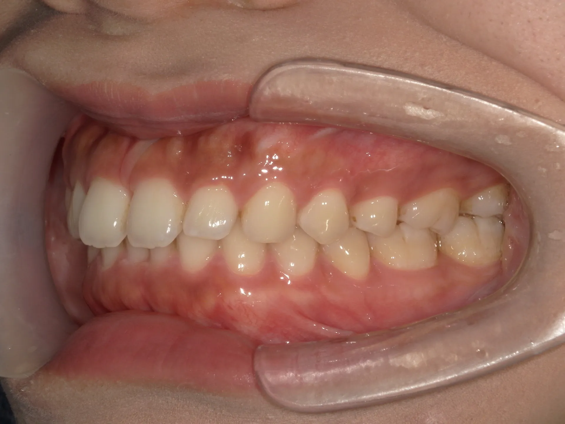
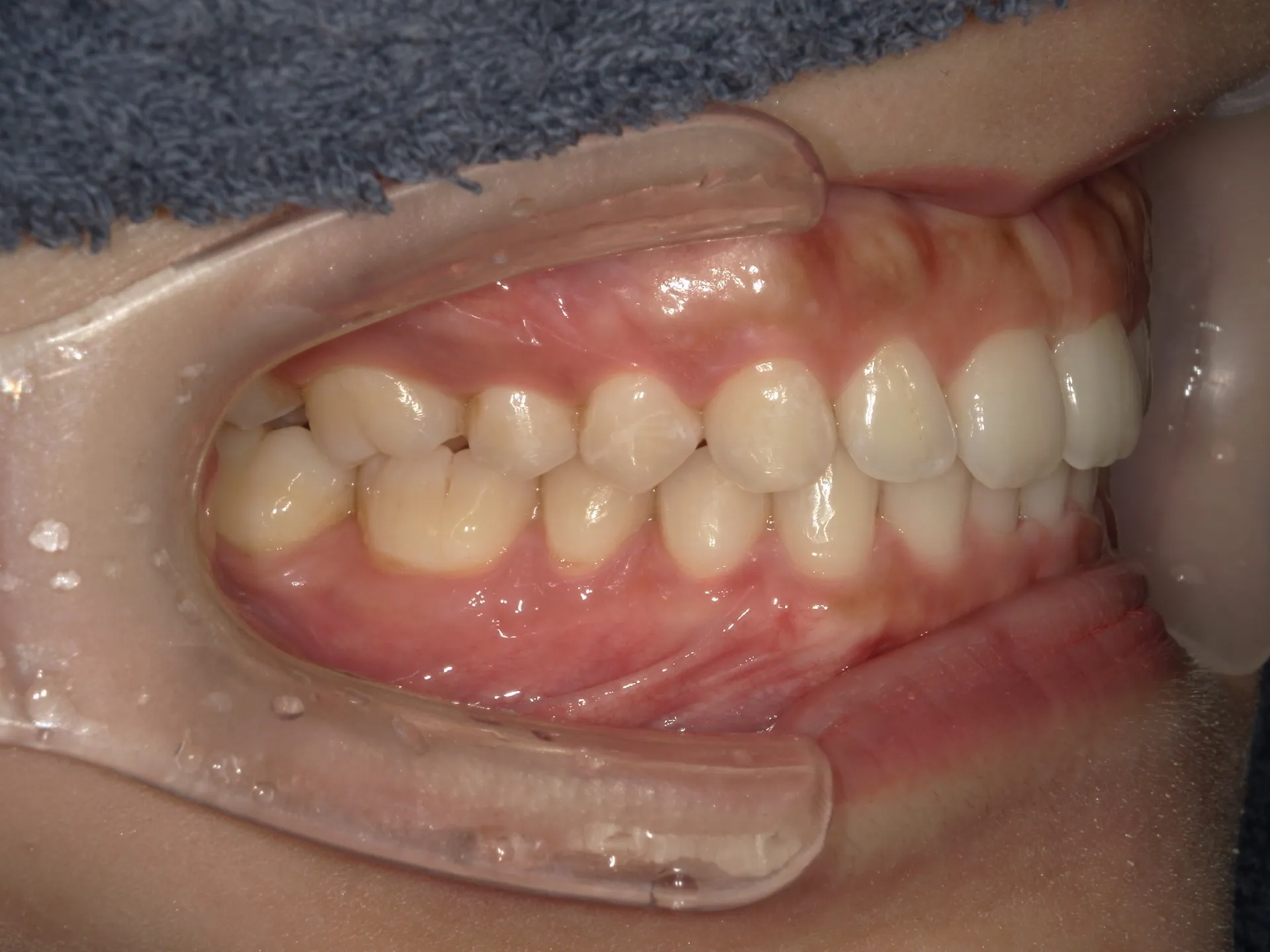
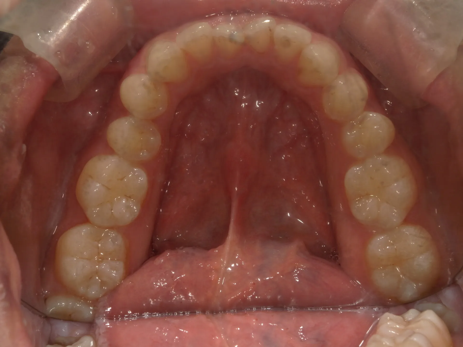
前歯の間が空いている歯並びの人がいます。
この状態を歯科用語では正中離開と呼びます。
今回は正中離開をインビザライン矯正治療を行い改善した症例をご紹介いたします。
マウスピースでの矯正治療ではワイヤー矯正と違い大きく患者さんの協力が必要になってきます。
ワイヤー矯正では歯科医師が装置を付けると患者さんが外すことができず、24時間常に矯正力が働いている状態にできます。
マウスピース矯正では一番大事なことはマウスピースを使用する使用時間が最低でも20時間以上で、20時間はあくまでも最低時間で22時間以上がベストです。
たまに18時間頑張りましたという方もいらっしゃいますが、最低時間に満たない状態では歯の矯正移動がうまくいっていない状態です。
今回のように短期で矯正が終わることが可能ですが、短期の予定であったとしてもマウスピース矯正では患者さんの頑張りがなければ治療期間が延長することになりますので矯正を始める方はそういったところも含めて治療方法を選択していきましょう。
----------------------------------------------------------------------
妙典歯科Nクリニック
住所:
千葉県市川市富浜1-7-18 ドエル1-111
電話番号 :
047-316-0305
FAX番号 :
047-316-0322
妙典でマウスピース矯正を体験
----------------------------------------------------------------------


