歯茎の黒ずみメタルタトゥーと治療法!
2026/02/24
こんにちは!
千葉県市川市の妙典駅前にある妙典歯科Nクリニックです。
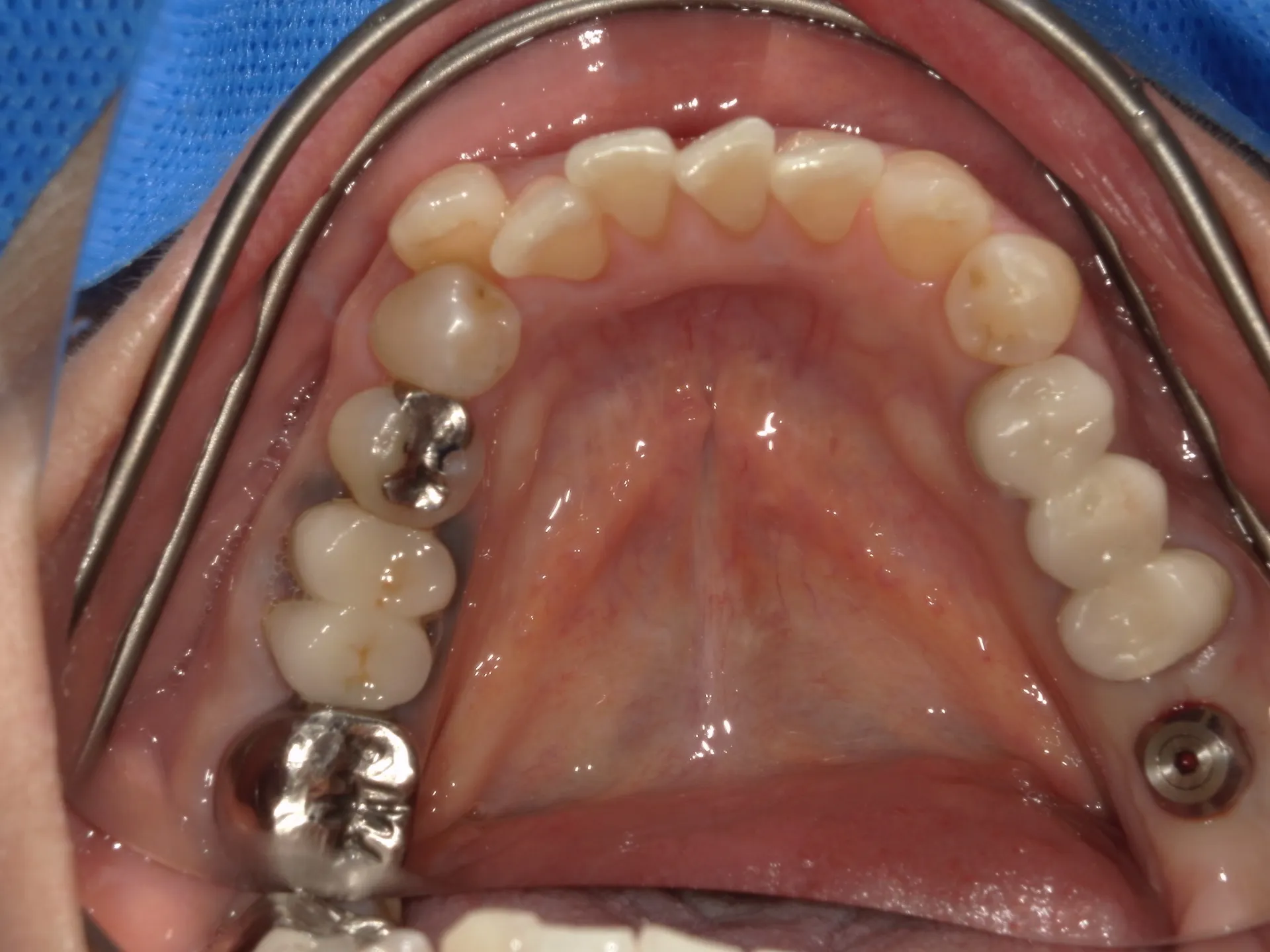
歯茎の黒ずみ
メタルタトゥー
歯茎のメタルタトゥー(歯肉の黒ずみ)は、主に金属の被せ物や土台から溶け出した金属イオンが歯肉に沈着することで起こります。特に古い銀歯(いわゆるパラジウム合金など)が原因になることが多いです。
改善方法をレベル別にまとめます。
🔹 軽度(色がうっすら・範囲が狭い)
① 原因金属の除去・交換
まず最優先です。
古い銀歯や金属土台を除去
セラミック(ジルコニアなど)やファイバーコアへ変更
※金属を除去するだけで、時間とともに薄くなるケースもあります。
🔹 中等度(はっきり黒い)
② 歯肉ピーリング(ガムピーリング)
薬剤やレーザーで黒ずんだ表層を除去します。
1~3回程度
ダウンタイム:1週間前後
費用目安:1~3万円/回(自費)
即効性はありますが、原因金属が残っていると再発します。
🔹 重度(濃い・広範囲)
③ レーザー治療
炭酸ガスレーザーなどで色素を除去
出血が少なく比較的安全
④ 歯肉移植(最終手段)
かなり重度の場合のみ。
審美歯科レベルの処置になります。
🔥 やってはいけないこと
ホワイトニングでは改善しません(歯の色だけ変わります)
市販の歯磨き粉では改善不可
金属を残したままピーリングのみ → 再発率高い
💎 美容意識が高い方におすすめの流れ
金属を完全除去(メタルフリーへ)
2~3ヶ月経過観察
必要ならレーザー処置
----------------------------------------------------------------------
妙典歯科Nクリニック
住所:
千葉県市川市富浜1-7-18 ドエル1-111
電話番号 :
047-316-0305
FAX番号 :
047-316-0322
----------------------------------------------------------------------


