大きく変わる前歯の傾斜(歯並び)
2026/04/09
こんにちは!
千葉県市川市の妙典駅前にある妙典歯科Nクリニックです。
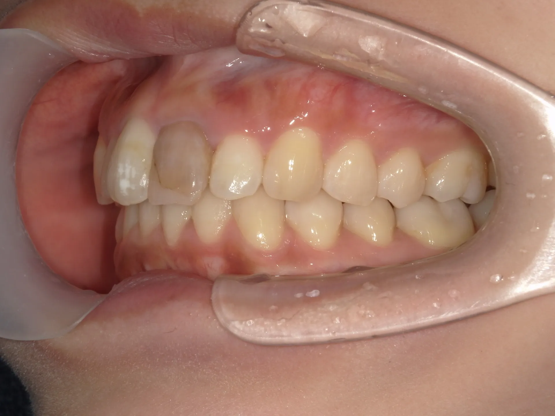
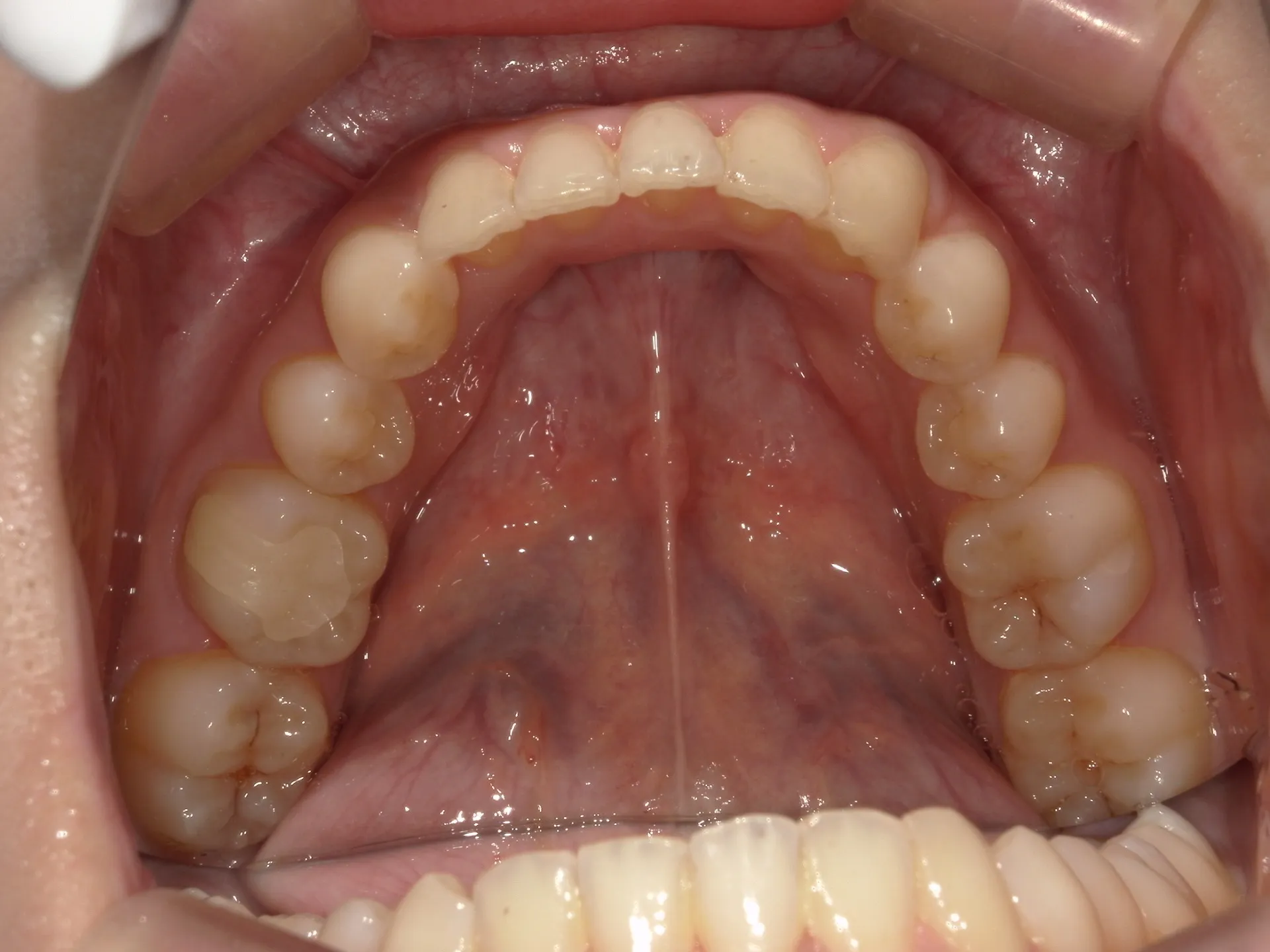
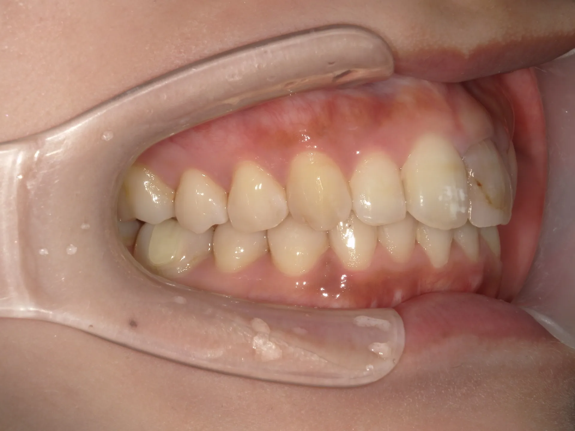
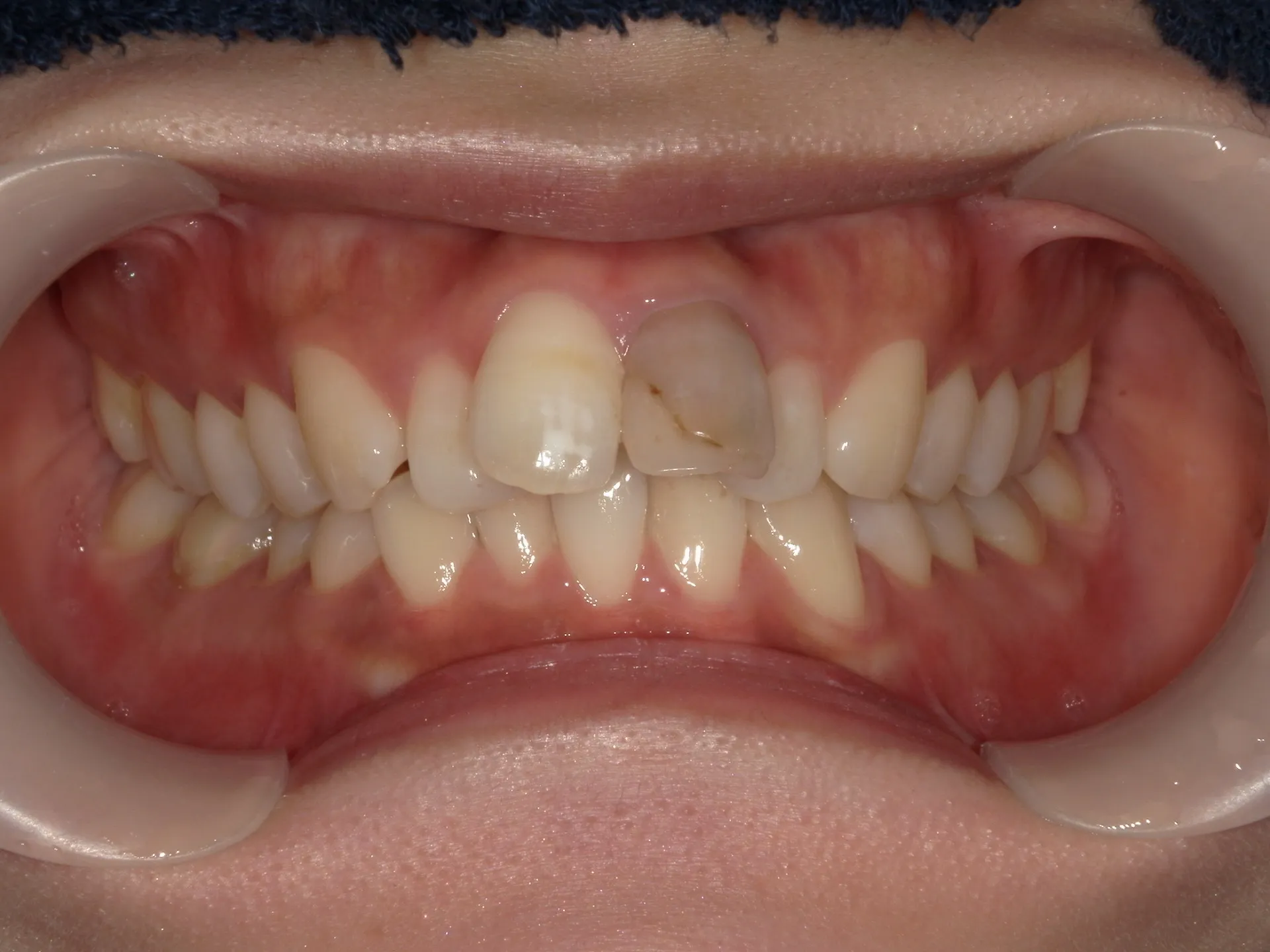
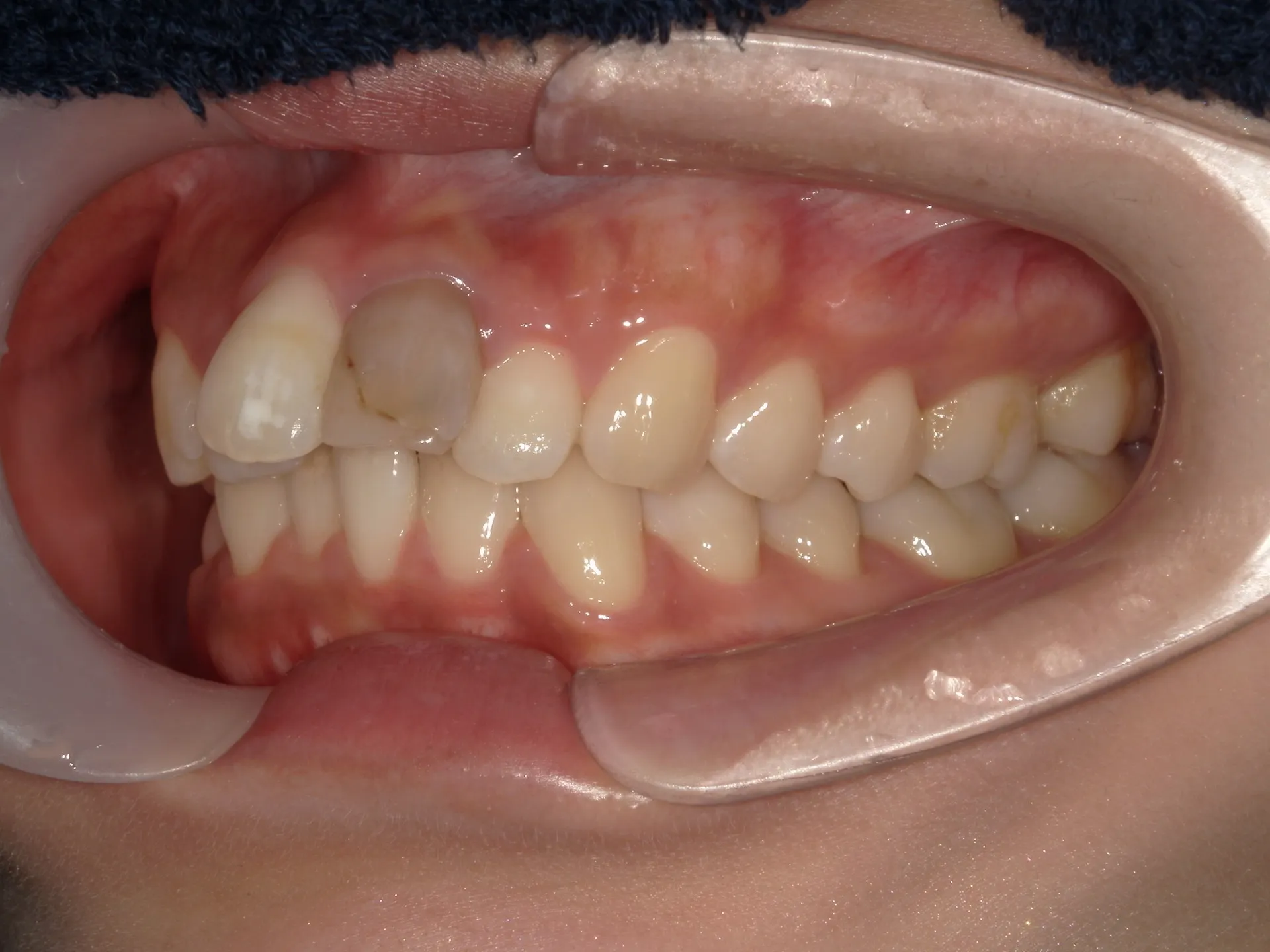
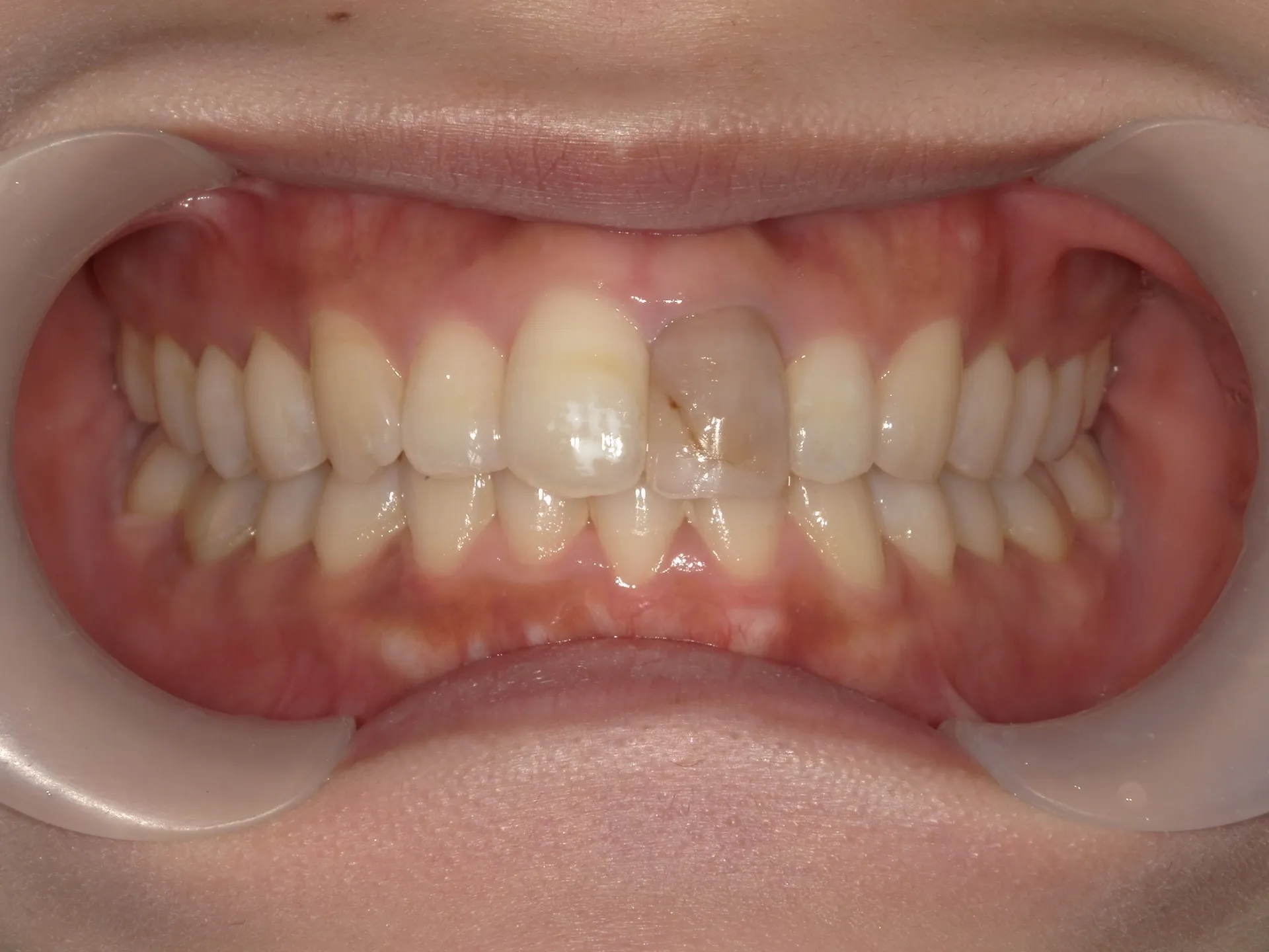
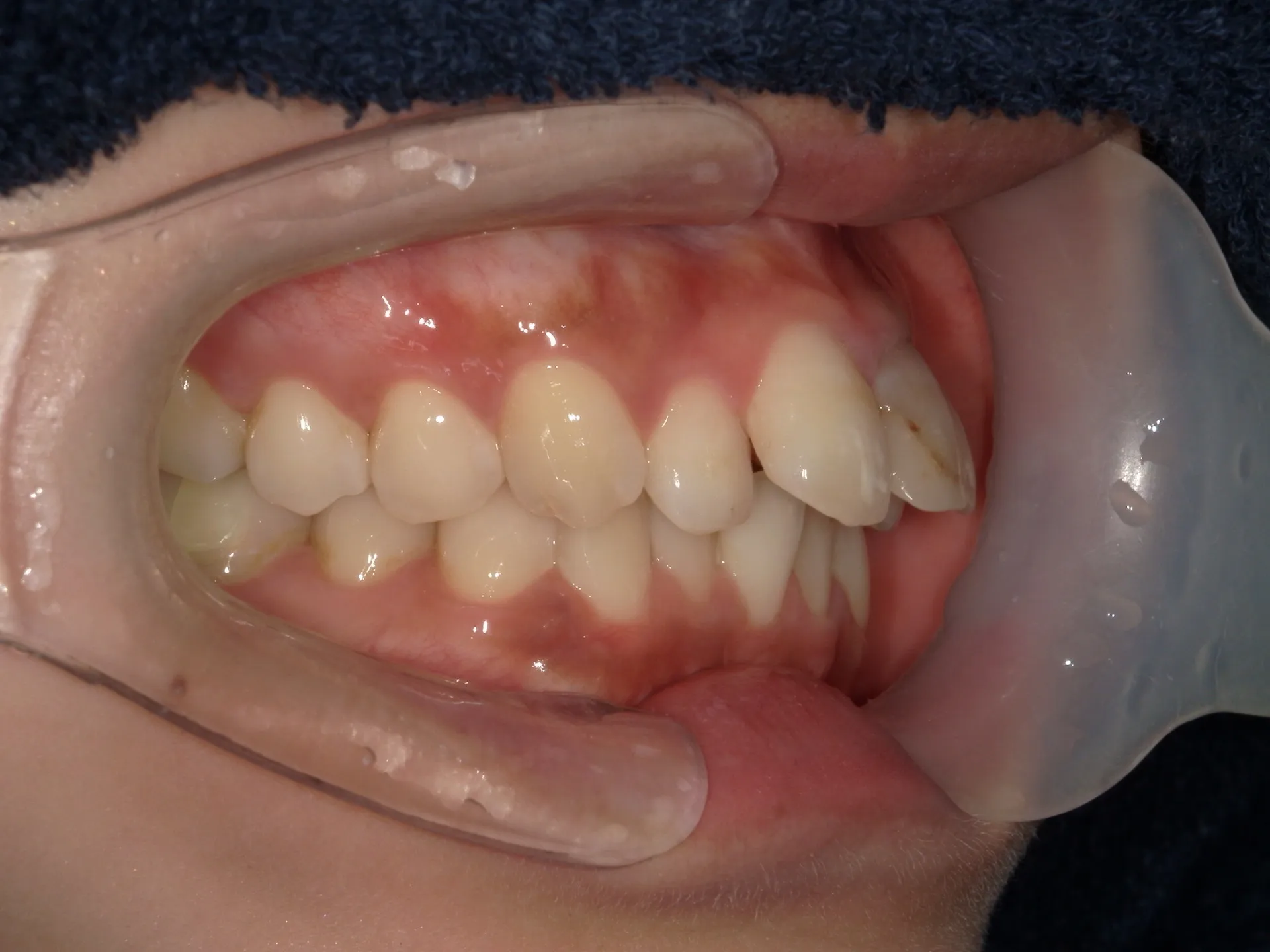
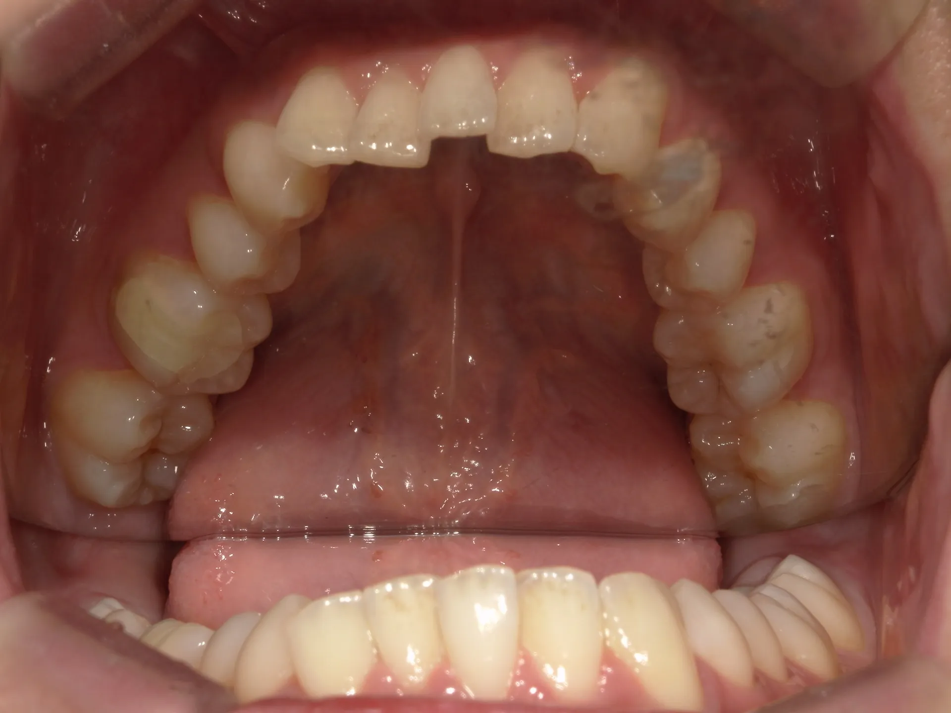
大きく飛び出してしまった前歯の矯正と変色の治療を希望された症例をご紹介いたします。
しかしながら、患者様が遠方に引越すことになり当院での治療はここで終了となってしまいました。
もう少しで矯正も歯の変色も変えられることができたのですが、移動費もままならないので残念ながら転医として他の歯医者さんで引き継いでいただく形となりました。
----------------------------------------------------------------------
妙典歯科Nクリニック
住所:
千葉県市川市富浜1-7-18 ドエル1-111
電話番号 :
047-316-0305
FAX番号 :
047-316-0322
妙典でマウスピース矯正を体験
----------------------------------------------------------------------

