親知らずと言っても全て同じではない??
2025/06/09
こんにちは!
千葉県市川市の妙典駅前にある妙典歯科Nクリニックです。
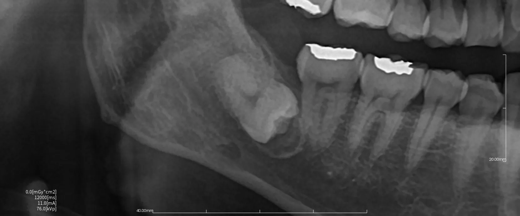
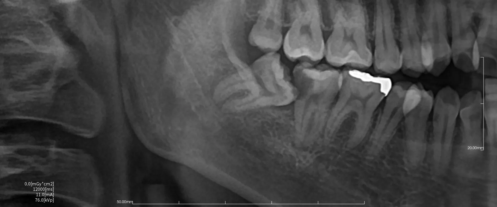
まず親知らずのレントゲン写真を2つお見せします。
どちらも横向きに生えた親知らずですが、抜歯の難易度は大きく異なります。
難易度ではレントゲン写真1>レントゲン写真2となります。
では何が違うのか?
・横向きであることは同じですが、角度は大きく違います。
写真1は下に向かっている。写真2は上に向かっている。
抜歯は口腔内から治療を行うために、上に向いている方が器具が届きやすく、目で見える範囲で治療を行うことができます。
・骨に埋まっている範囲は写真1>写真2。
骨に埋まっている範囲が大きければ大きいほど骨を切削して掘り出す必要が出てきます。
周りの骨を削合すれは当然創傷は大きくなり、腫れや出血、痛みなどの症状も出やすくなります。
・下顎管(神経や血管のある管)との距離や歯の接している範囲
下顎管の損傷は神経麻痺のリスクや大量出血のリスクが大きくともなってきます。
近ければ近いほど、範囲が多ければ多いほど慎重に治療を行う必要があるために抜歯時間も長くなる傾向にあります。
・歯根の開き方
歯根は写真1は単根と言って1つにまとまっています。しかし写真2では2根にはっきりと分かれていてカニの爪のように彎曲もしています。
この場合は写真2の方が難易度は上がってきます。
親知らずの抜歯で、これ以外にも多様なタイプがありますので、抜歯する際にはネットの情報だけでなくお近くの歯科医院で診査診断を受けるようにしてみてください。
----------------------------------------------------------------------
妙典歯科Nクリニック
住所:
千葉県市川市富浜1-7-18 ドエル1-111
電話番号 :
047-316-0305
FAX番号 :
047-316-0322
----------------------------------------------------------------------


