ねじれた前歯を白くして治す!矯正とホワイトニング
2025/07/22
こんにちは!
千葉県市川市の妙典駅前にある妙典歯科Nクリニックです。
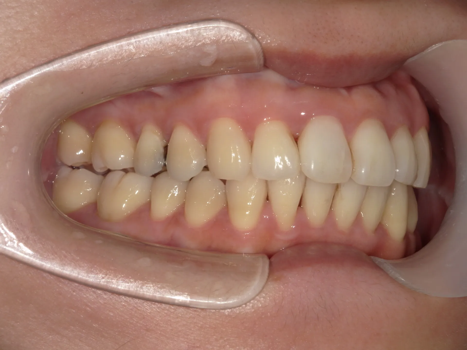
今回は矯正治療とウォーキングブリーチというホワイトニングを併用して治療した症例をご紹介いたします。
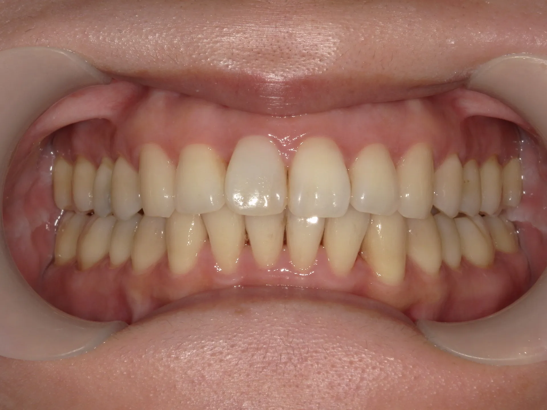
正面観
初診時
上の前歯が1本大きくねじれ、更にその歯に変色も見られました。
下の歯もスペースがなくガタついている状態の歯並びでした。
歯のねじれと歯の色を同時に治す方法として、セラミックの被せものがあります。
セラミックの被せを入れて歯の形や色、位置も治すことができますが、今回の状態で1本分のセラミックの被せを入れるとかなり細くなる被せを入れなければなりません。なぜかと言うと歯がねじれている原因は歯が真っ直ぐ生えるスペースがなかったことです。ここに無理やり被せで治そうとすると通常の歯の約半分程度の幅の被せになってしまいます。
そのため今回は通常の矯正治療とその後にご自身の歯を利用してウォーキングブリーチを行いました。
セラミックの被せ一本で治せた方が、費用感や治療期間は少なくできますが、仕上がりを考えるとやはり今回のようなケースでは、矯正治療とホワイトニングを併用した方が良い選択であったと考えられます。
歯並びで悩まれている場合は是非当院でご相談ください。
----------------------------------------------------------------------
妙典歯科Nクリニック
住所:
千葉県市川市富浜1-7-18 ドエル1-111
電話番号 :
047-316-0305
FAX番号 :
047-316-0322
妙典でマウスピース矯正を体験
----------------------------------------------------------------------


