矯正治療で印象を変える!!
2025/07/23
こんにちは!
千葉県市川市の妙典駅前にある妙典歯科Nクリニックです。
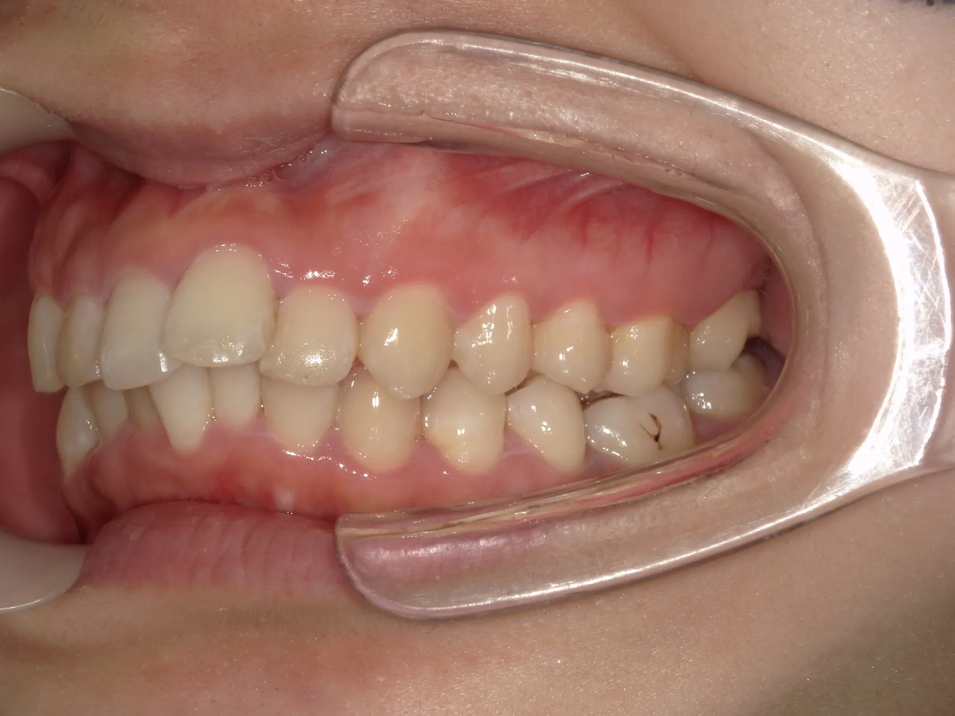
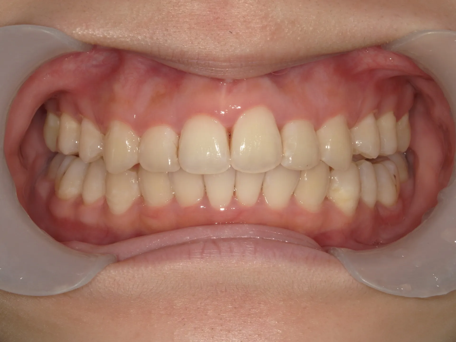
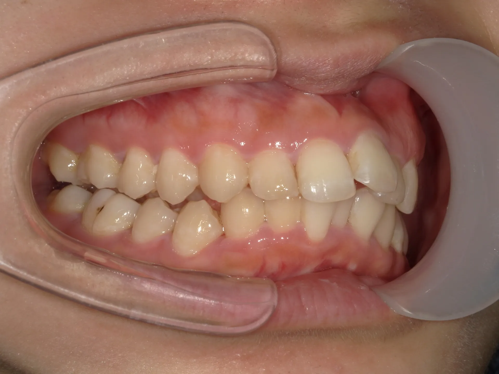
マウスピース矯正で前歯を治してみませんか?
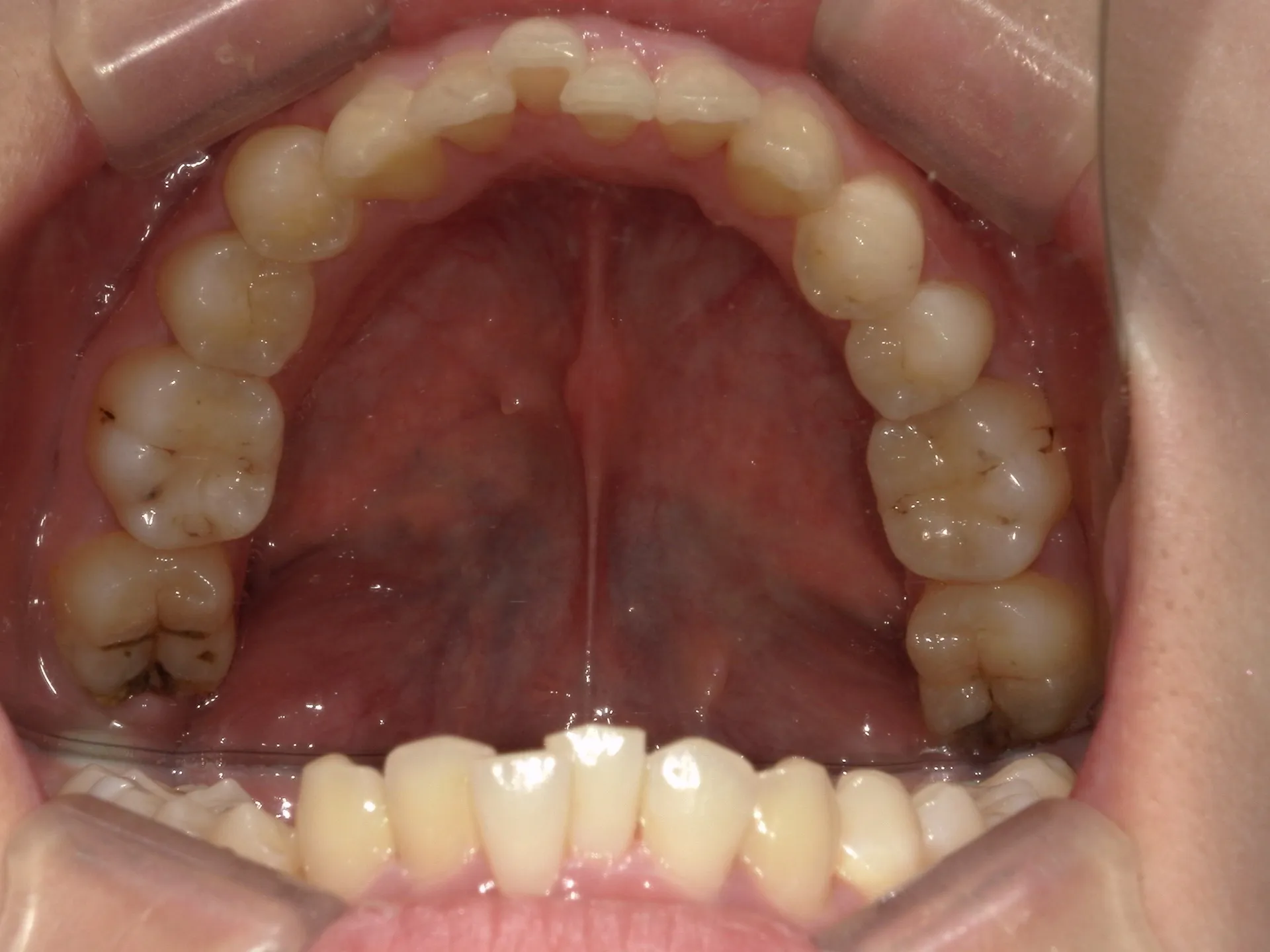
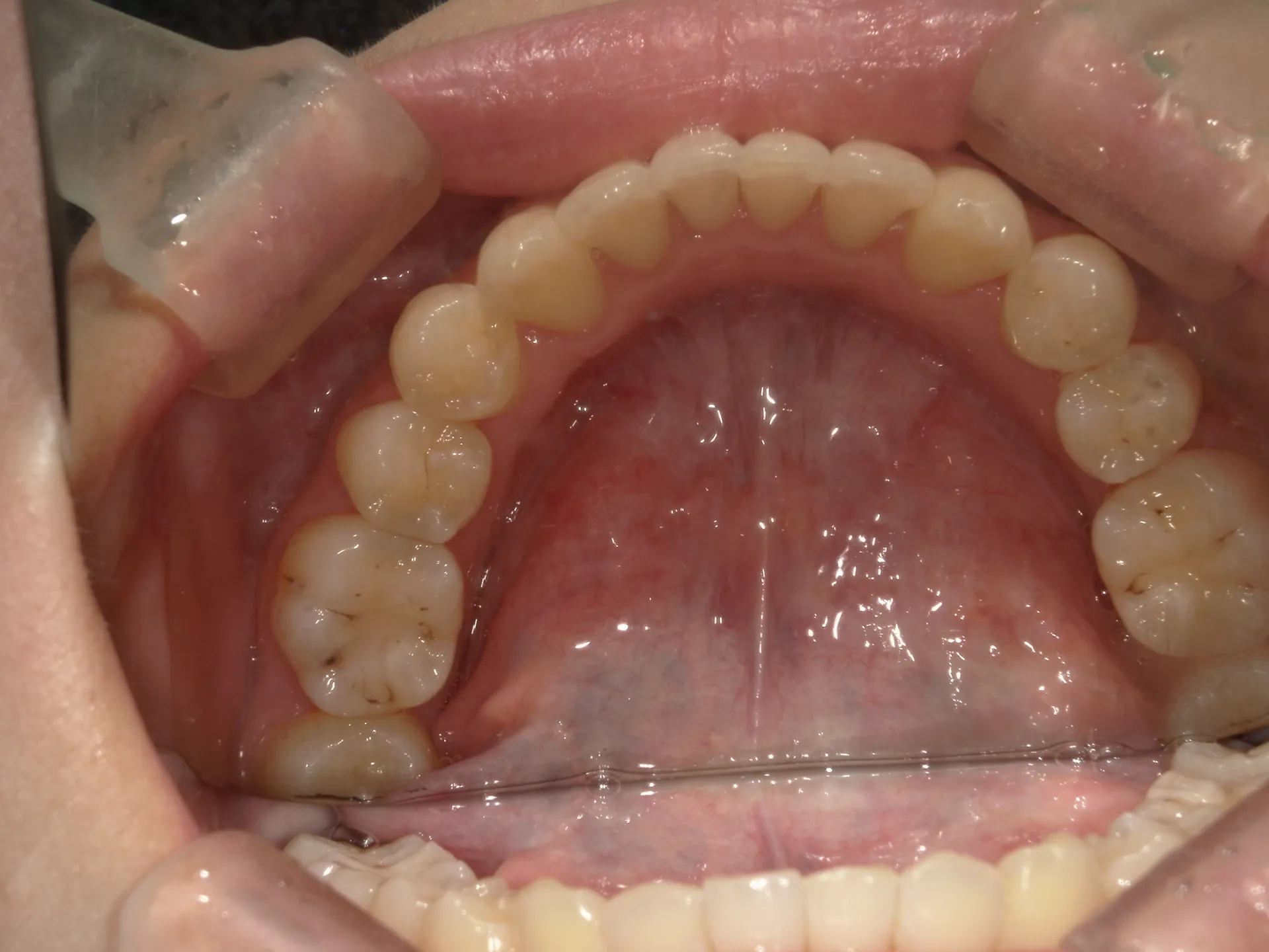
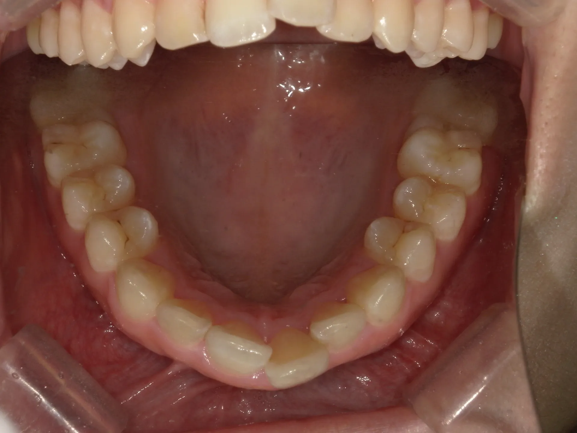
今回はマウスピース矯正(インビザライン)で前歯の出っ張りを治したケースをご紹介いたします。
マウスピース矯正で前歯の出っ歯感を抑えることが可能で、このケースでは上の歯のみ2本の抜歯を行っています。
矯正治療では状況に応じて抜歯を行っていきますので、矯正を検討されている場合には矯正の先生と事前にしっかりと矯正の計画を確認しましょう。
----------------------------------------------------------------------
妙典歯科Nクリニック
住所:
千葉県市川市富浜1-7-18 ドエル1-111
電話番号 :
047-316-0305
FAX番号 :
047-316-0322
妙典でマウスピース矯正を体験
----------------------------------------------------------------------


