歯頚部はなぜ虫歯になりやすい??
2025/08/12
こんにちは!
千葉県市川市の妙典駅前にある妙典歯科Nクリニックです。
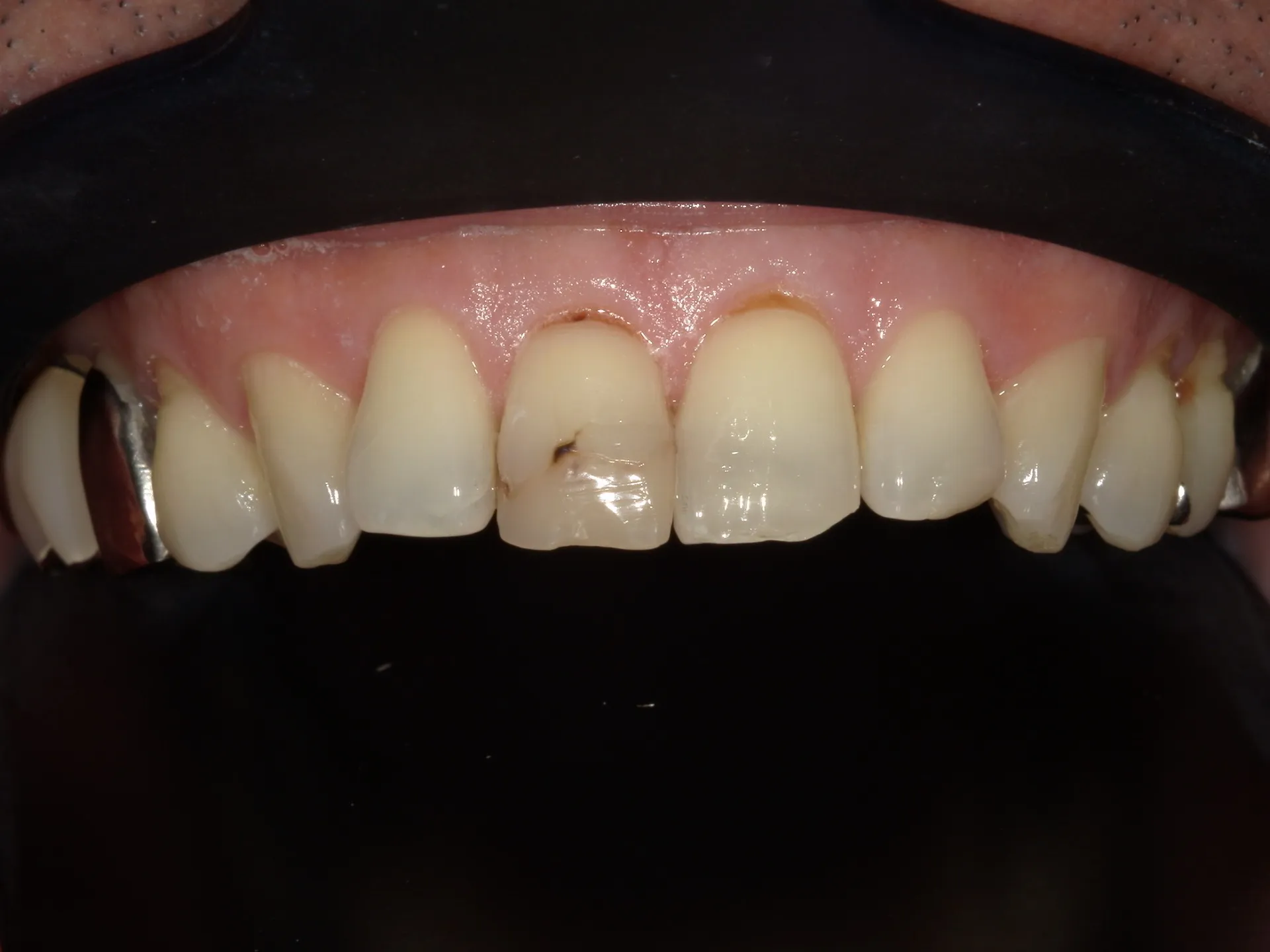
歯と歯茎の境目
歯頚部の虫歯
歯頚部(歯と歯ぐきの境目)が虫歯になりやすいのは、いくつかの解剖学的・環境的な理由が重なっているからです。
1. プラークが溜まりやすい位置
歯頚部は凹んだ形状になっていて、歯ブラシの毛先が届きにくい
唾液の自浄作用も舌や頬の動きも届きにくく、汚れが停滞しやすい
2. エナメル質が薄い
歯冠中央部に比べて歯頚部のエナメル質は薄く(約0.3〜0.5mm)、酸に弱い
すぐ下は象牙質なので、一度脱灰が始まると進行が速い
3. 歯肉退縮による露出
加齢や歯周病、強いブラッシング圧で歯肉が下がると象牙質が露出
象牙質はエナメル質より柔らかく、虫歯や摩耗に弱い
4. プラークコントロールの難しさ
ブラッシング時に力を入れすぎると歯肉が傷つくのを避けようと無意識に毛先を当てにくくなる
特に奥歯の歯頚部は見えにくく、清掃不良が起きやすい
5. 唾液のバリア機能が届きにくい
唾液の流れは主に舌側・咬合面側に向かうため、歯頚部には滞留しにくい
唾液の緩衝能や再石灰化効果が十分に発揮されにくい
まとめると…
「汚れが溜まりやすい × 弱い歯質 × 清掃が難しい」
この三重苦が、歯頚部を虫歯の好発部位にしているわけです。
----------------------------------------------------------------------
妙典歯科Nクリニック
住所:
千葉県市川市富浜1-7-18 ドエル1-111
電話番号 :
047-316-0305
FAX番号 :
047-316-0322
----------------------------------------------------------------------


