マウスピース矯正の修正にワイヤー矯正を利用する
2025/09/10
こんにちは!
千葉県市川市の妙典駅前にある妙典歯科Nクリニックです。
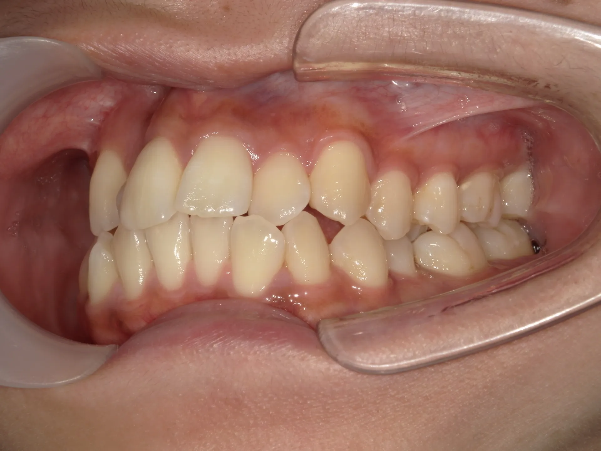
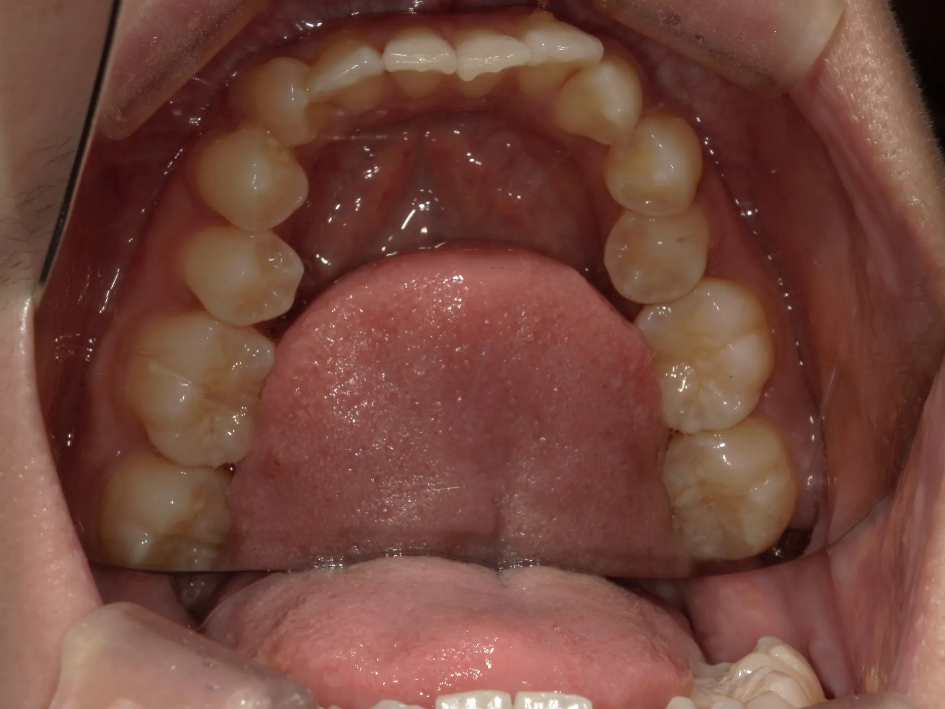
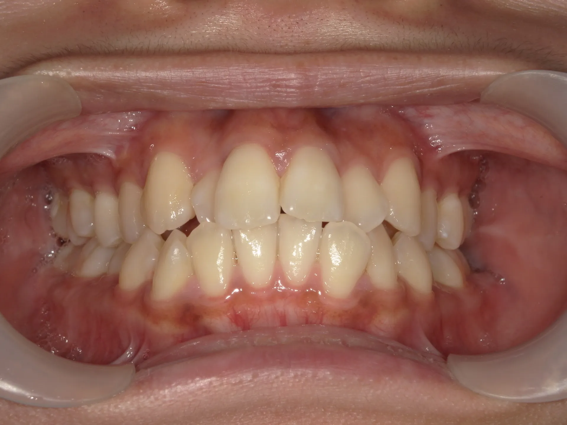
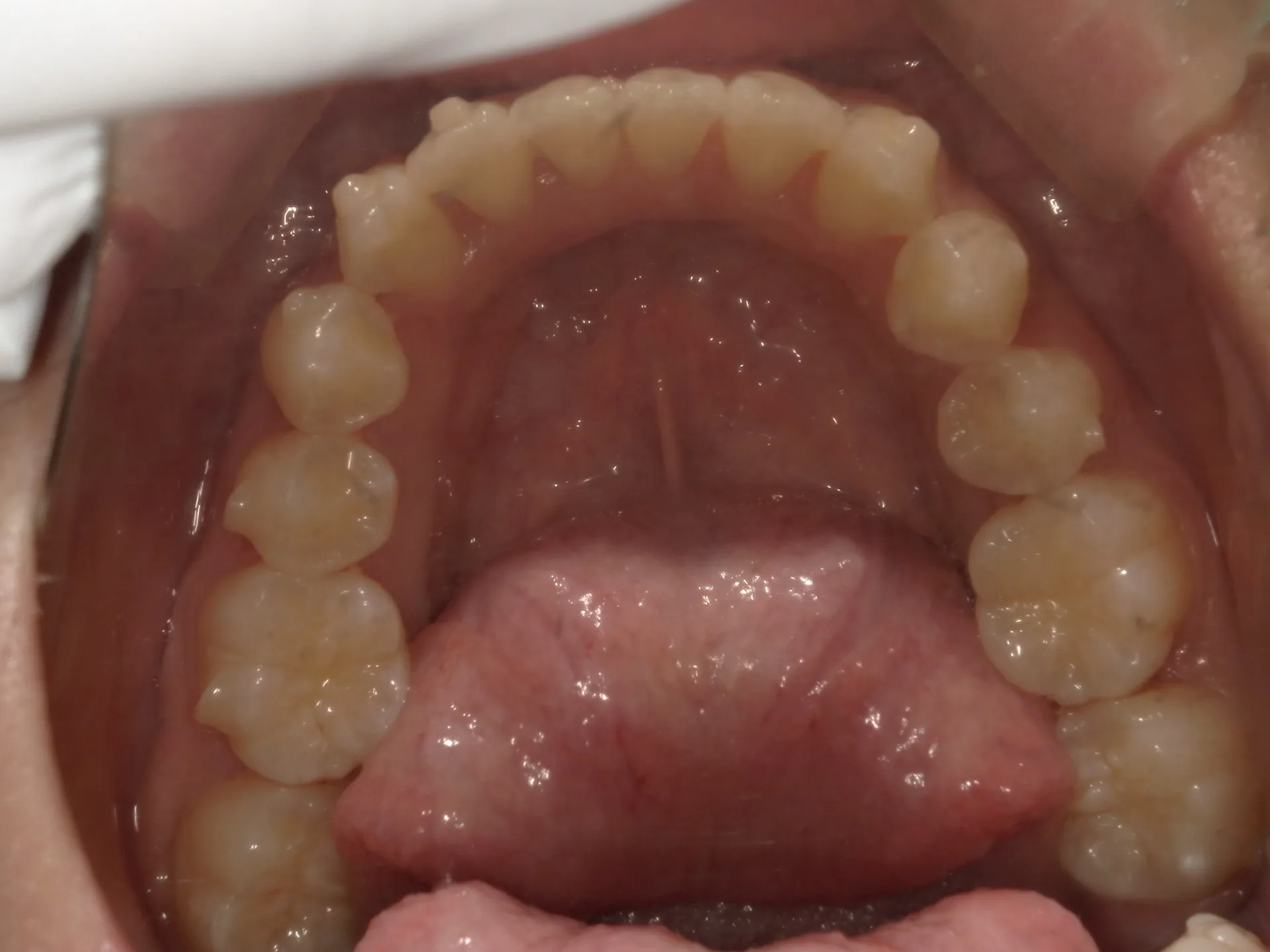
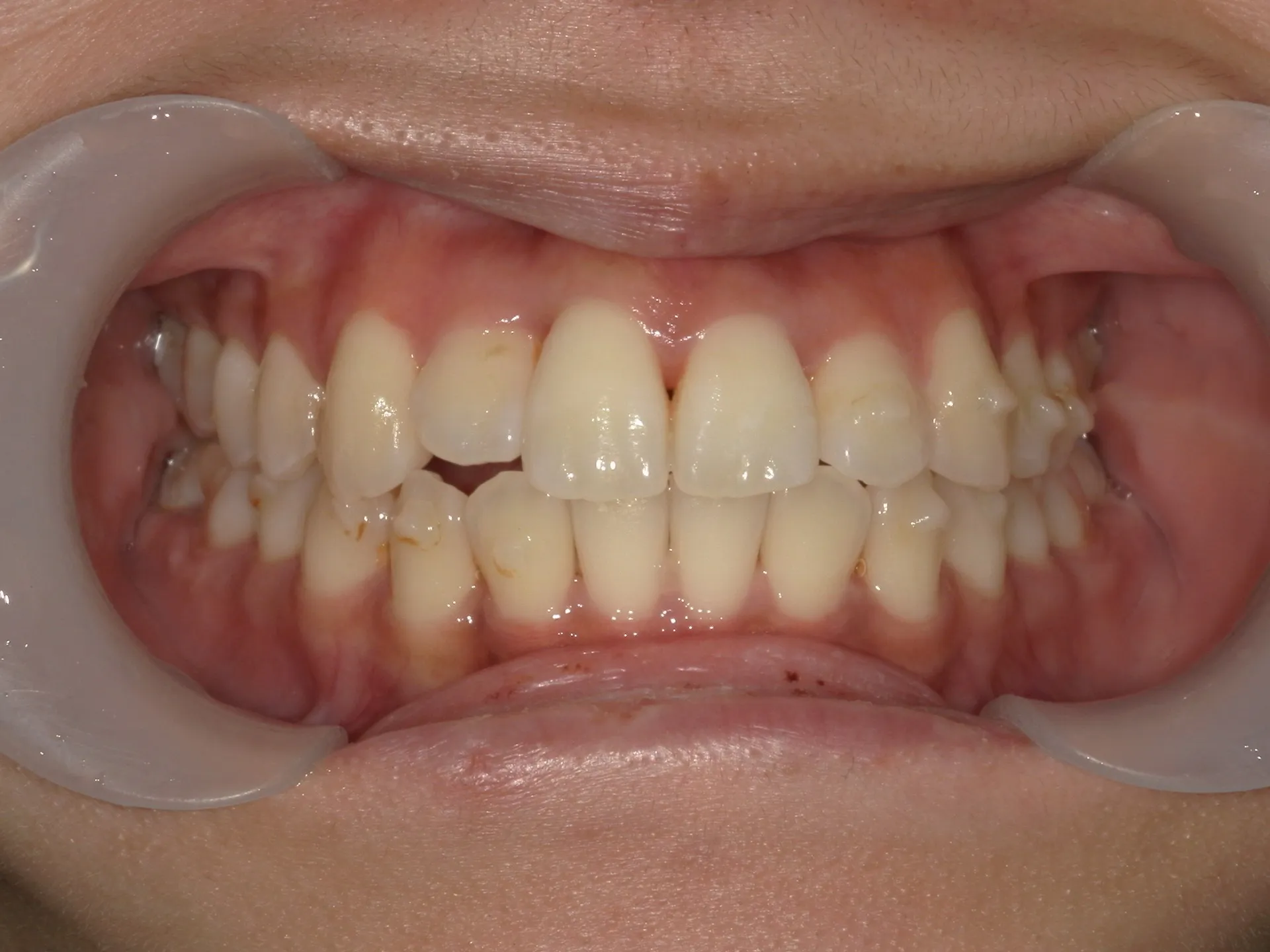
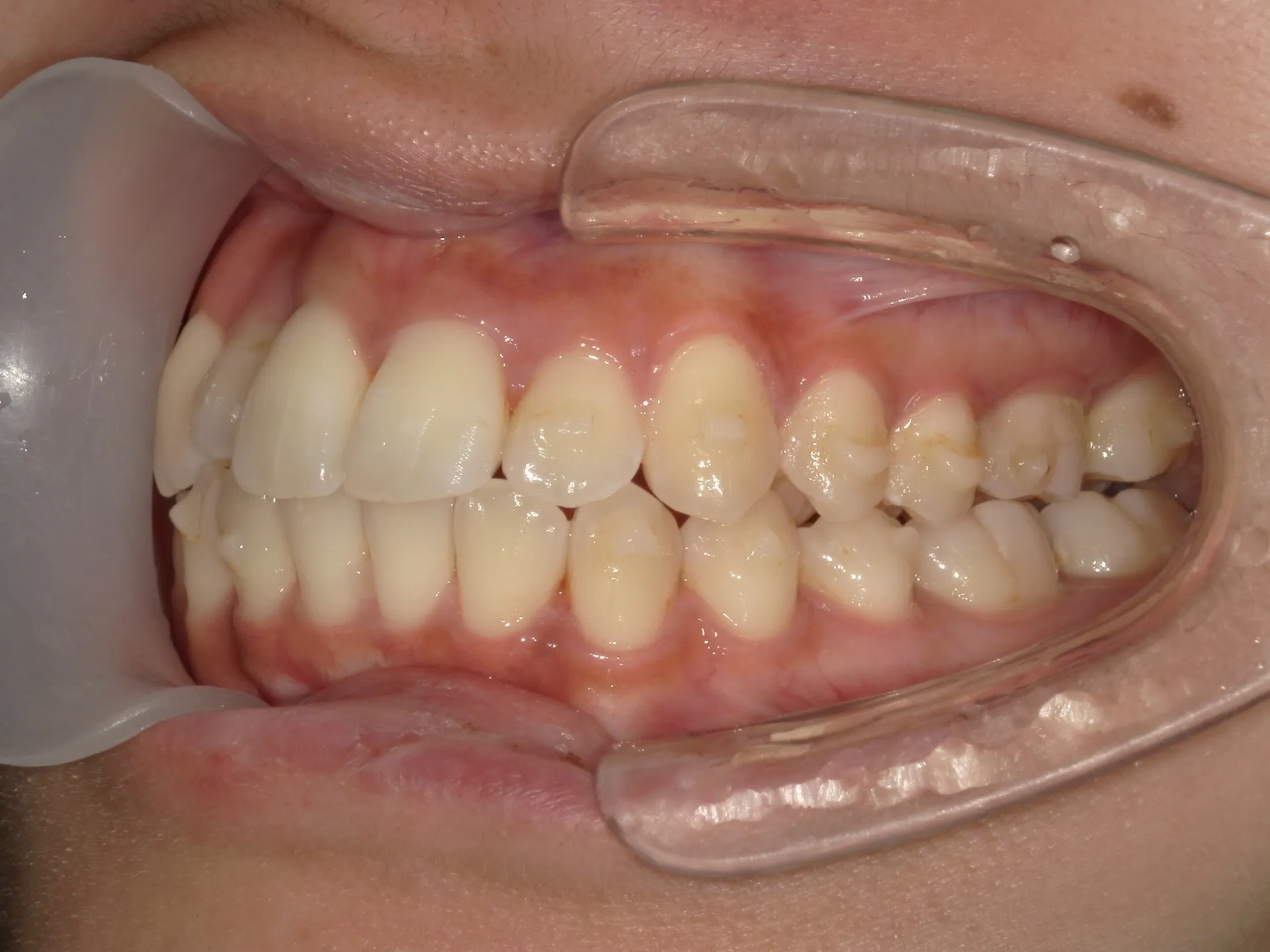
マウスピース矯正で大きなガタツキも対応できることもありますが、マウスピース矯正では難しい動きがあります。
よくある難しい動きとして上の歯の前から2番目の歯を後ろから前へ動かしたり下へ下げる動きです。
このままマウスピース矯正でじっくりと根を動かすことよりもワイヤー矯正でしっかりと根っこを動かすにはワイヤー矯正でこの部分を補填してあげる必要があります。
マウスピース矯正しか取り扱っていない歯医者ではこのような場合に治療の限界などと言って終わりになってしまうこともあります。(実際に歯を支える骨がない場合もあります)
ワイヤー矯正で修正することも時には必要です。
両方の矯正方法に対応していることが良い治療を受けることができる歯医者さんと言えるでしょう。
----------------------------------------------------------------------
妙典歯科Nクリニック
住所:
千葉県市川市富浜1-7-18 ドエル1-111
電話番号 :
047-316-0305
FAX番号 :
047-316-0322
妙典でマウスピース矯正を体験
----------------------------------------------------------------------


