矯正治療は若くないとできないなんてことはない!!
2025/09/17
こんにちは!
千葉県市川市の妙典駅前にある妙典歯科Nクリニックです。
矯正治療は若いころにやった方がメリットがあります!
では年齢が高いと矯正は出来ないのでしょうか?
矯正治療は何歳からやってはダメなんてことはないんです!!
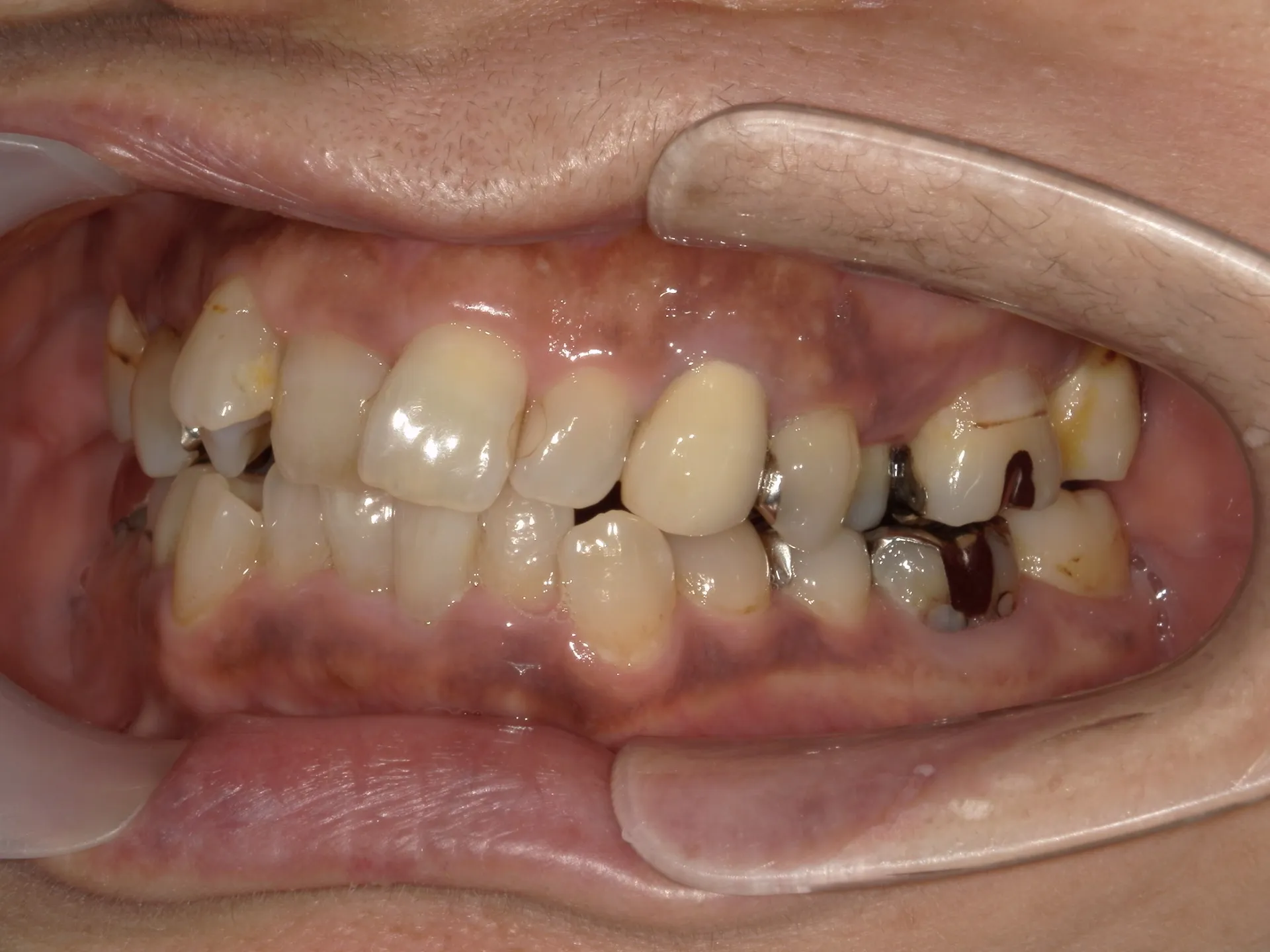
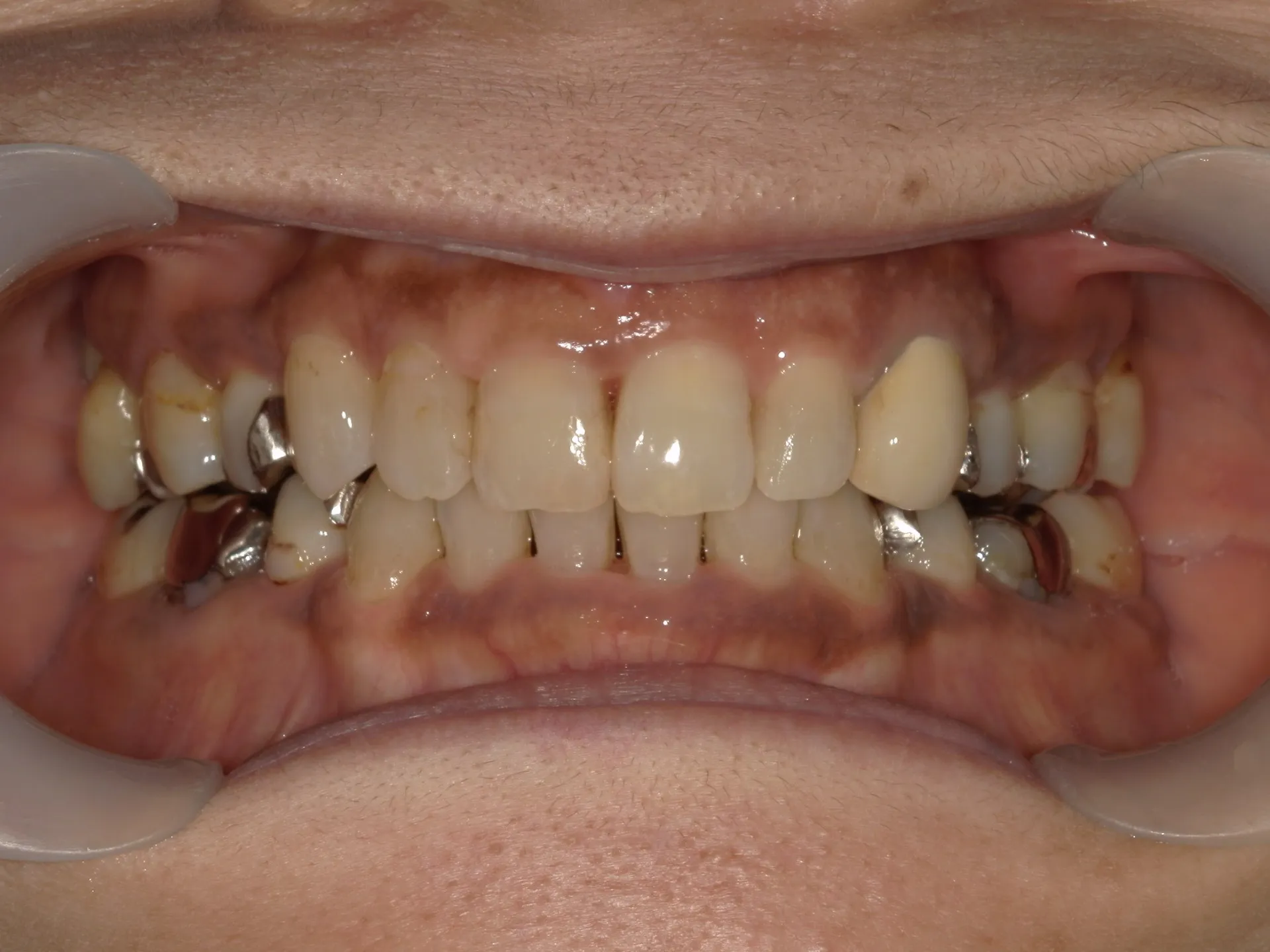
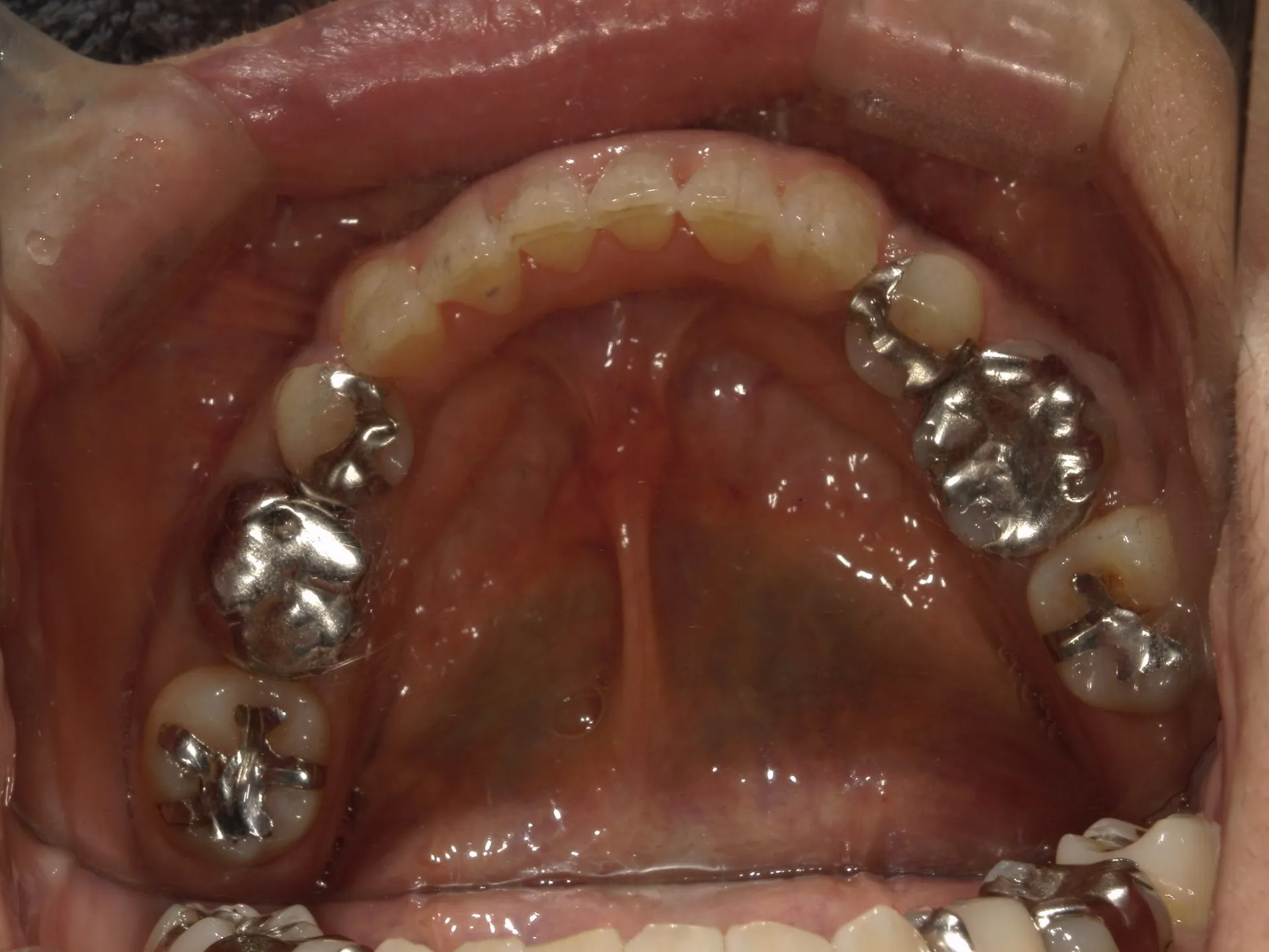
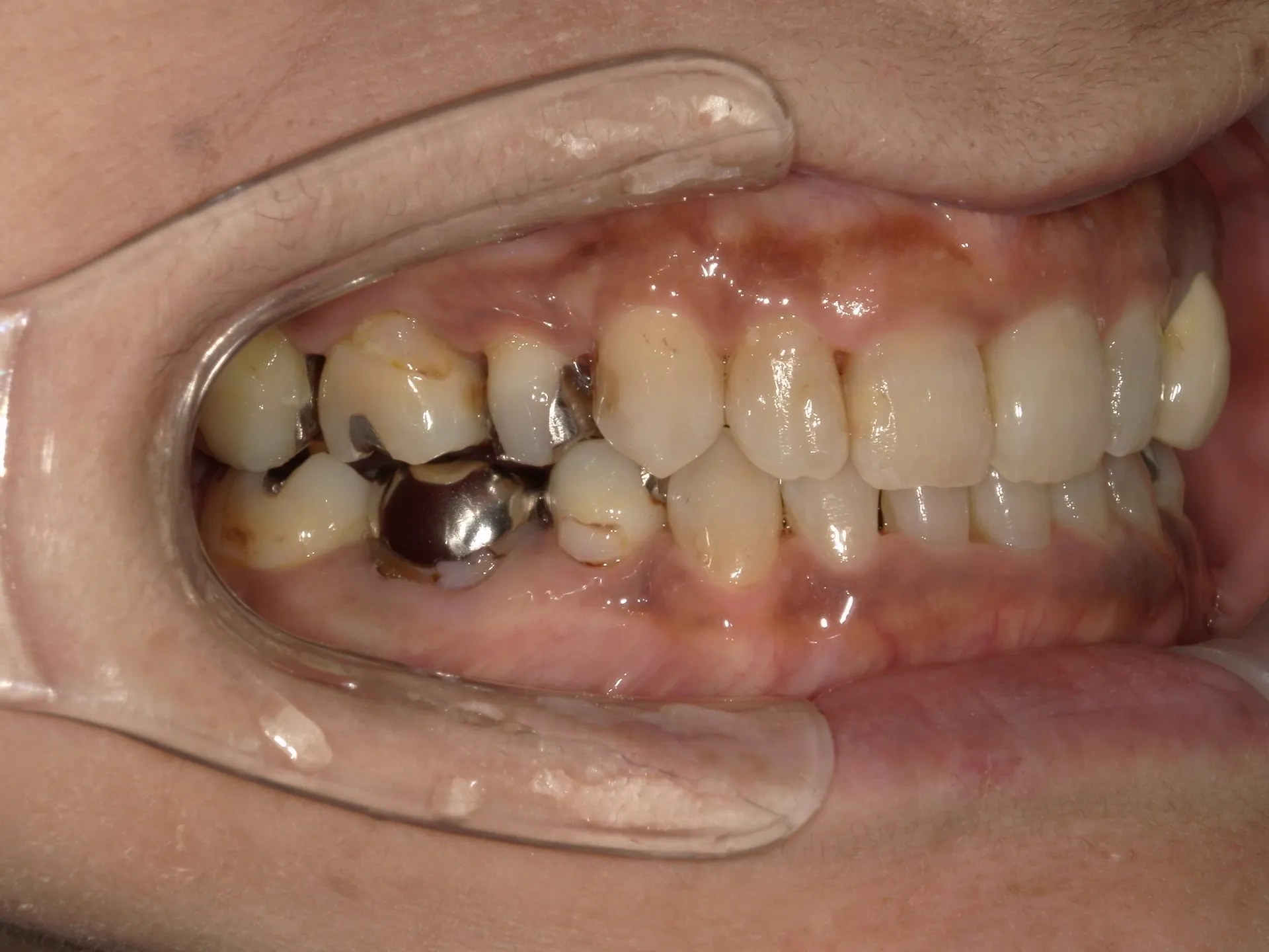
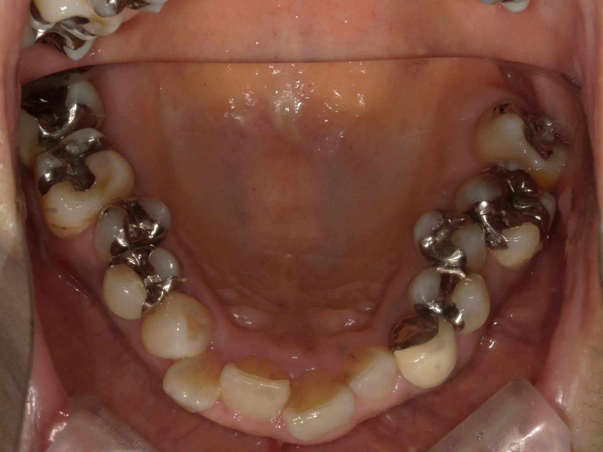
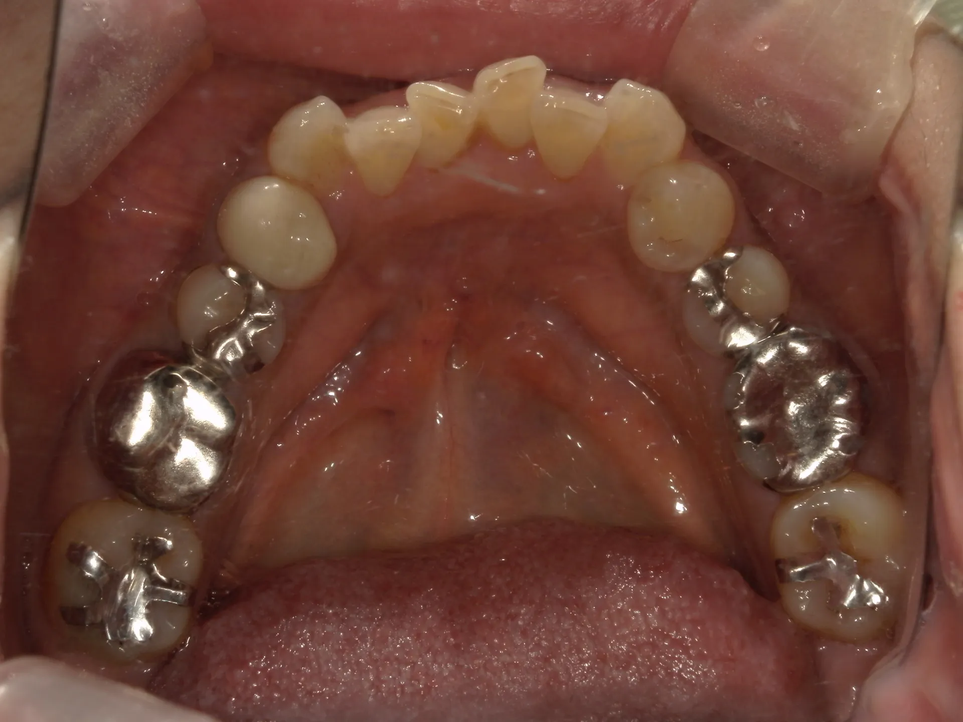
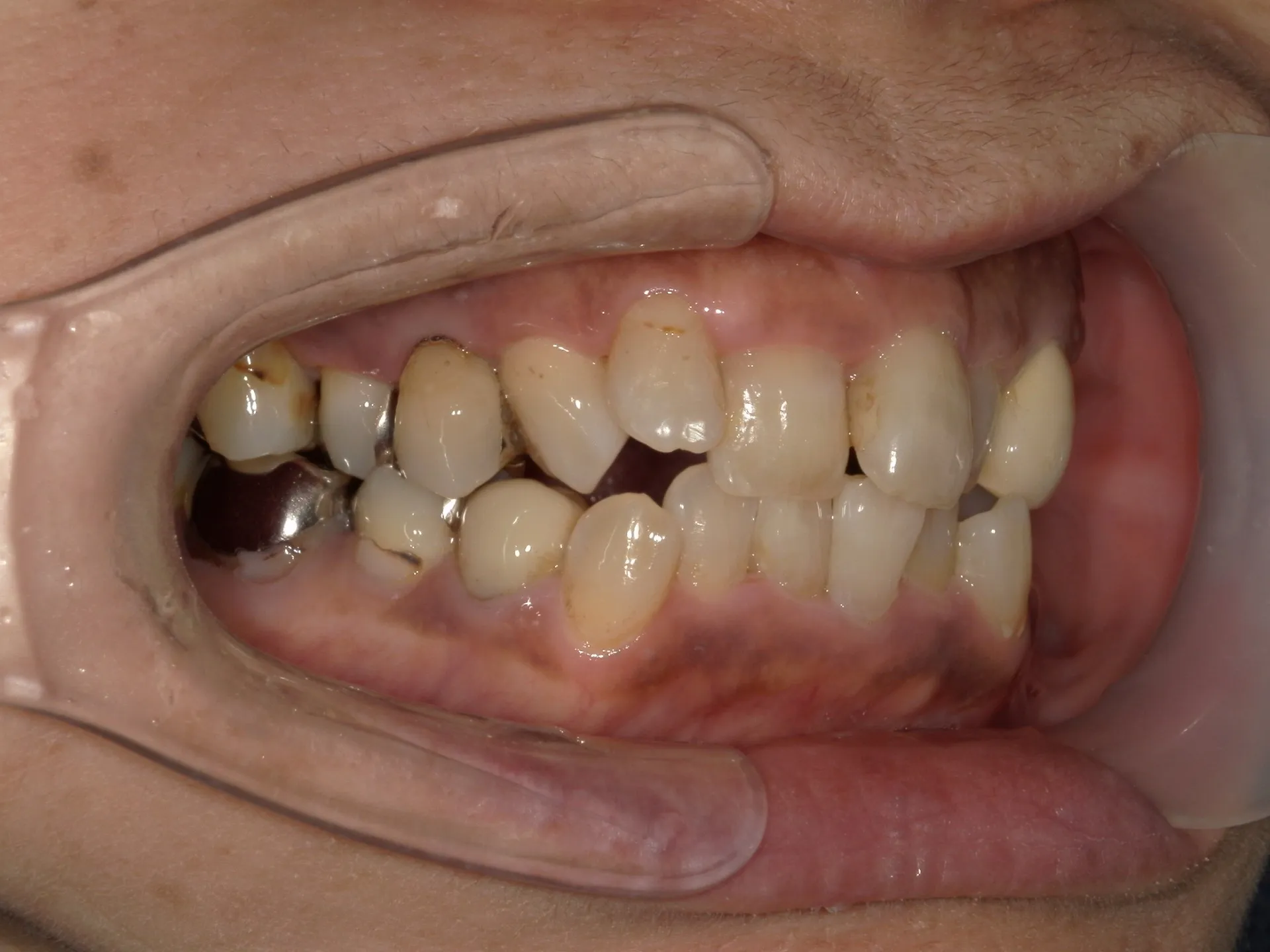
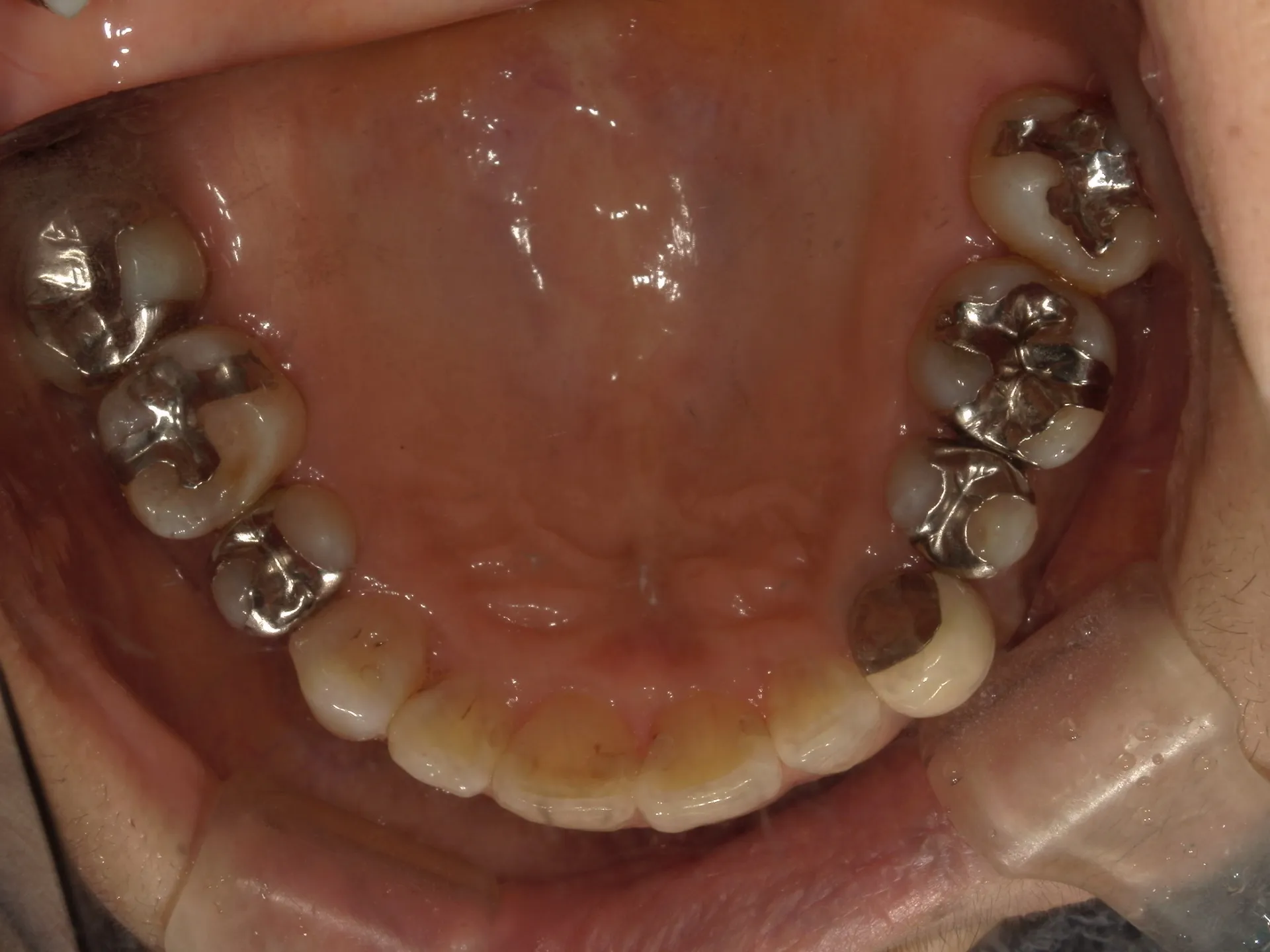
今回は65歳以上でも矯正治療を開始した症例についてご紹介いたします。
矯正治療は年齢が若い方がメリットが多いのは事実です。
しかし、年齢がたとえ定年を迎えたあとであっても十分に矯正が行えて、今後の歯磨きが容易になり、虫歯や歯周病のリスクが減らせて歯を残すことが出来たり、歯並びが良くなったことでモチベーションも上がるなどの矯正後のメリットも非常に高いため、健康的な生活を行う上でも矯正治療は行うことをお勧めします。
----------------------------------------------------------------------
妙典歯科Nクリニック
住所:
千葉県市川市富浜1-7-18 ドエル1-111
電話番号 :
047-316-0305
FAX番号 :
047-316-0322
妙典でマウスピース矯正を体験
----------------------------------------------------------------------


