骨がなくてもインプラントできる?サイナスリフトしたインプラント
2025/09/16
こんにちは!
千葉県市川市の妙典駅前にある妙典歯科Nクリニックです。
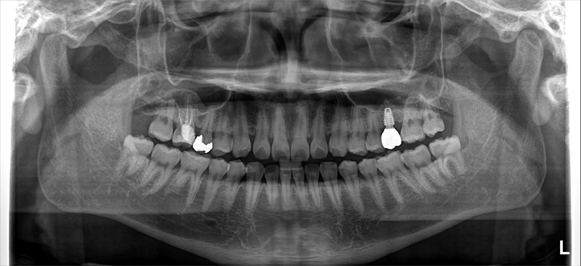
歯のインプラント治療は顎の骨にインプラント体(フィクスチャー)と呼ばれるネジを入れ込み、そこから人工の歯を立ち上げる方法です。
歯を抜歯した方など歯が無い所に行う方法で、いわゆる差し歯と似た構造ですが、歯の根っこが残っているのが差し歯で、根っこ自体から作り上げるのがインプラントです。
歯を抜いた状態を放置していると歯を支えていた骨はどんどんと無くなっていきます。
これは筋トレしなくなったら筋肉が落ちていくことと似ています。
----------------------------------------------------------------------
妙典歯科Nクリニック
住所:
千葉県市川市富浜1-7-18 ドエル1-111
電話番号 :
047-316-0305
FAX番号 :
047-316-0322
----------------------------------------------------------------------


