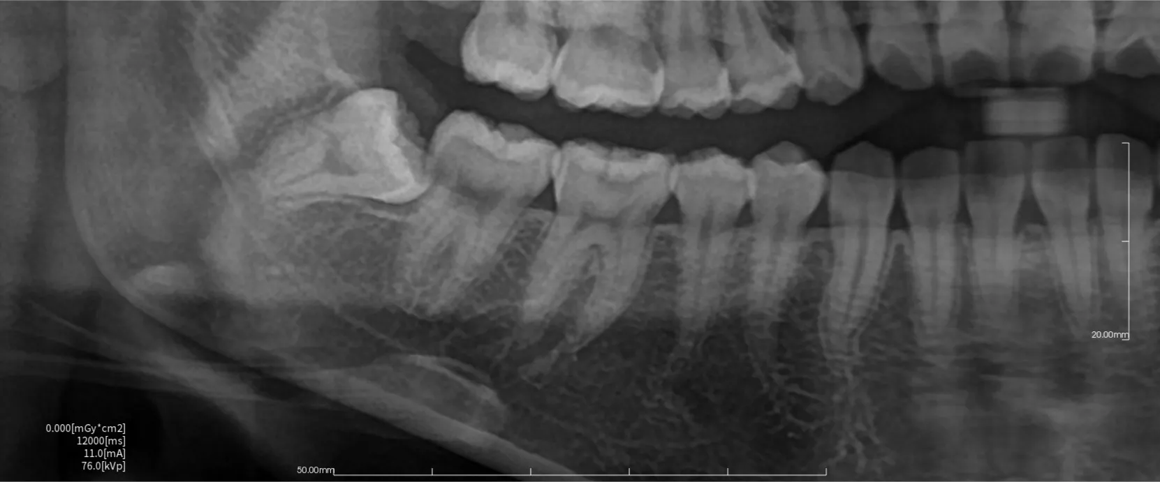
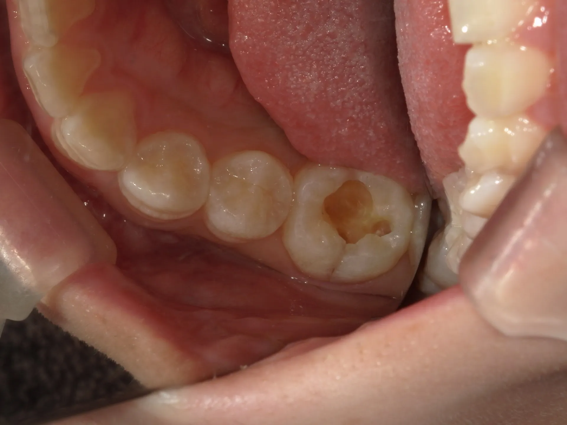
古い詰め物の下に虫歯がある?!
2025/09/30
こんにちは!
千葉県市川市の妙典駅前にある妙典歯科Nクリニックです。
あなたの古くなった歯の詰め物は大丈夫ですか??
今回は一見問題なく見える歯の詰め物の下に深い虫歯があった治療の症例をご紹介いたします。
----------------------------------------------------------------------
妙典歯科Nクリニック
住所:
千葉県市川市富浜1-7-18 ドエル1-111
電話番号 :
047-316-0305
FAX番号 :
047-316-0322
----------------------------------------------------------------------


