ブラックトライアングルってなに?
2025/10/06
こんにちは!
千葉県市川市の妙典駅前にある妙典歯科Nクリニックです。
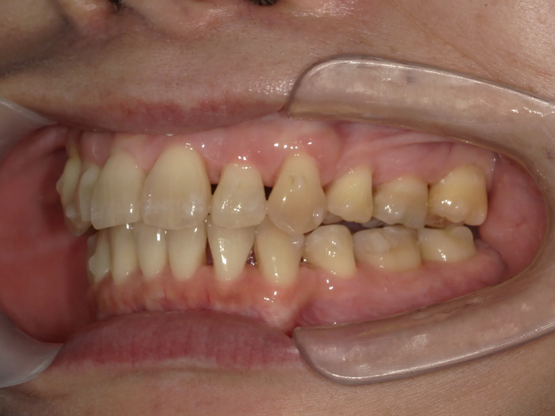
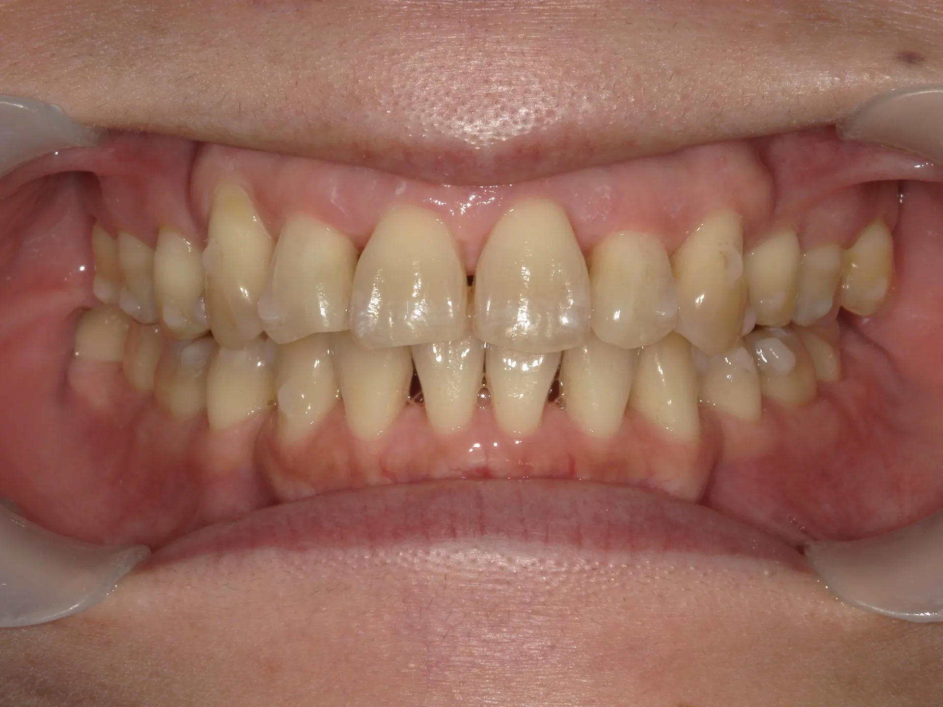
「ブラックトライアングル(black triangle)」とは、
歯と歯の間の歯ぐきの隙間が黒く見える部分のことをいいます。
専門的には「歯間空隙(しかんくうげき)」や「歯間乳頭の喪失」と呼ばれます。
🦷 ブラックトライアングルの原因
主な原因は以下の通りです:
歯ぐき(歯間乳頭)の退縮
→ 加齢や歯周病、強いブラッシングなどで歯ぐきが下がる。
矯正治療後の歯の移動
→ 歯を動かしたことで歯の根元の形が露出し、隙間ができる。
歯の形態(逆三角形の歯など)
→ 歯と歯の接触点が上の方にあり、もともと隙間ができやすい。
歯肉炎や歯周病
→ 炎症で歯ぐきが腫れた後に引いてしまい、すき間が残る。
歯の欠け・詰め物や被せ物の形の問題
→ 不適合な補綴物で歯間が広く見える。
💡 主な治療方法
① ダイレクトボンディング法
コンポジットレジン(歯科用樹脂)を歯の根元部分に盛り足して、すき間を埋める。
短期間・削る量が少ない・自然な見た目が得られる。
デメリット:経年で変色や摩耗のリスク。
② 矯正治療
歯の位置を少し変えて、歯と歯の接触点を調整し、歯ぐきが入りやすくする。
時間はかかるが、根本的な改善になることも。
③ 歯周形成外科(歯ぐきの移植など)
歯ぐきを再生・移植して隙間を埋める方法。
外科的処置が必要で、適応は限られる。
④ セラミッククラウン・ラミネートベニア
審美的に形態を整え、歯と歯の間を自然に見せる。
歯を削る必要があるが、色や形を精密に調整可能。
🧭 治療選択のポイント
軽度の隙間 → ダイレクトボンディング
歯列や噛み合わせも関係 → 矯正治療
歯ぐきの形態が主因 → 歯周形成外科
審美面をトータルで改善 → セラミック修復
----------------------------------------------------------------------
妙典歯科Nクリニック
住所:
千葉県市川市富浜1-7-18 ドエル1-111
電話番号 :
047-316-0305
FAX番号 :
047-316-0322
----------------------------------------------------------------------


