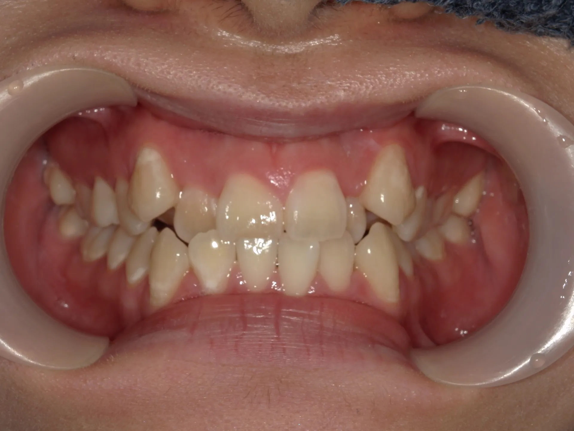
歯並びが悪いと何が良くない?
2025/10/07
こんにちは!
千葉県市川市の妙典駅前にある妙典歯科Nクリニックです。
歯並びを治そう!
歯並びが悪いと何が良くないの?
歯並びが悪い(=不正咬合)があると、見た目だけでなく健康面・機能面にもさまざまな影響があります。主な悪影響を分野ごとにまとめますね👇
🦷① 口腔内の健康への影響
虫歯・歯周病になりやすい
歯が重なっている部分は歯ブラシが届きにくく、プラーク(歯垢)が残りやすいです。
歯石や着色が付きやすい
清掃しにくいため、見た目や口臭にもつながります。
🍽② 噛み合わせ・機能面の問題
咬む力のバランスが悪くなる
一部の歯だけに強い負担がかかり、歯のすり減り・破折・顎関節症の原因になることがあります。
発音に影響する
特に前歯の隙間や出っ歯などは「さ行」「た行」などの発音がしづらくなることがあります。
消化に悪影響
噛み切り・すり潰しが不十分だと、胃腸に負担がかかります。
😊③ 見た目・心理面への影響
口元の印象が変わる
笑顔の印象やフェイスラインに影響します。
コンプレックスにつながる
人前で笑いづらくなるなど、心理的ストレスの原因になることもあります。
🦴④ 顎や全身への影響
顎関節への負担
左右どちらかでしか噛めない・噛み合わせがズレていると、顎の痛みや音(カクカク)につながることがあります。
姿勢・肩こり・頭痛に影響
噛み合わせのバランスが崩れると、筋肉や骨格にも影響します。
💡まとめ
影響の種類 具体的な問題
清掃性 虫歯・歯周病・口臭
機能面 咀嚼・発音・消化
審美面 口元の印象・表情
健康面 顎関節・姿勢・頭痛
必要に応じて矯正治療を行うことで、見た目と健康の両方を改善できます。
----------------------------------------------------------------------
妙典歯科Nクリニック
住所:
千葉県市川市富浜1-7-18 ドエル1-111
電話番号 :
047-316-0305
FAX番号 :
047-316-0322
----------------------------------------------------------------------


