あなたの歯磨き大丈夫?自分で歯を凍みる状態にしていかも
2025/10/18
こんにちは!
千葉県市川市の妙典駅前にある妙典歯科Nクリニックです。
歯磨きで歯茎が下がる??
歯が凍みるからもっとしっかり歯磨きをした方がいいと思っていませんか?
「しっかり」の捉え方にもよると思いますが、「力強く」や「何回も」「ゴシゴシ」「歯茎に向かって」などの意味では全く逆効果になることがあります。
「しっかり」は「正しく」「丁寧に」「優しく」「細かなストロークで」「歯や歯周ポケットには毛先を、歯茎には毛の腹を使って」「やりすぎず」行うことが重要です!
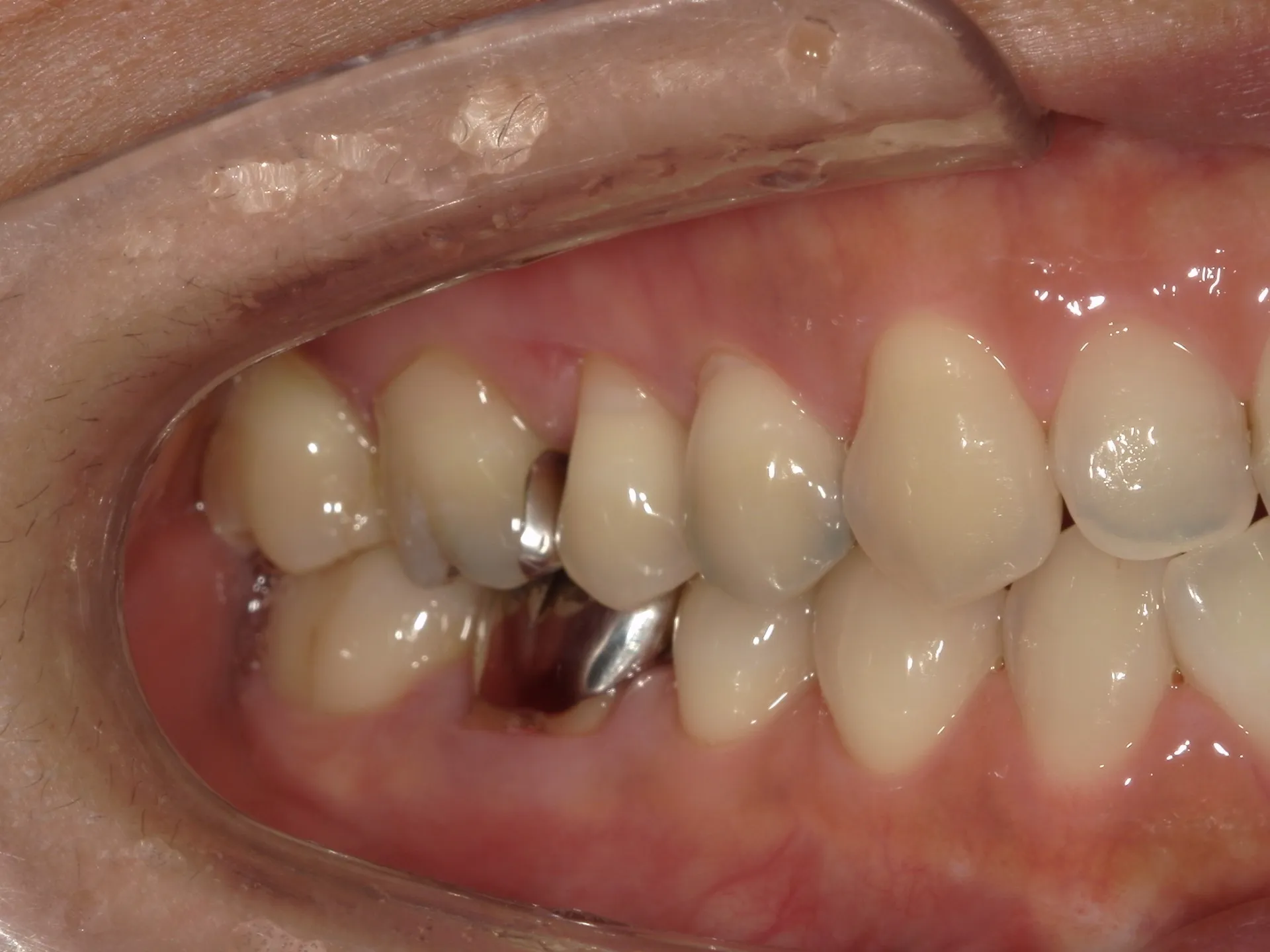
写真では上下の歯茎が横向きに傷ができていることや、歯茎下がりによって歯が長く見えています。
これは歯ブラシが不適切に行われることによって、歯茎がブラシによって歯茎を削り、炎症が起きて歯茎下がりが起きています。
そして、歯茎下がりが起こると知覚過敏などの症状が出てくることによって歯磨きがうまくできていないからだと、一所懸命に間違った歯ブラシ方法でこのサイクルを繰り返してしまっているのです。
歯に違和感を感じた場合には一度お近くの歯医者さんで、症状と原因を確認してもらい、適切な対策をしていくようにしてください。
歯茎下がりは一度起こると治らないことも多々ありますので十分に注意して個人だけの判断は避けるようにしましょう!
----------------------------------------------------------------------
妙典歯科Nクリニック
住所:
千葉県市川市富浜1-7-18 ドエル1-111
電話番号 :
047-316-0305
FAX番号 :
047-316-0322
----------------------------------------------------------------------


