歯の着色の原因と対処法は?
2025/10/11
こんにちは!
千葉県市川市の妙典駅前にある妙典歯科Nクリニックです。
歯の着色
ステイン
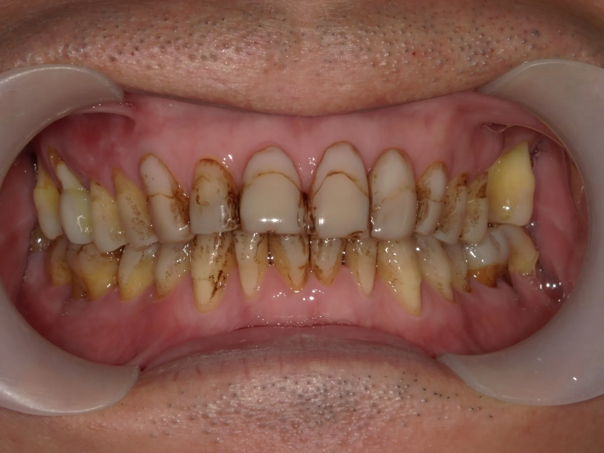
「歯の着色(ステイン)」は、多くの人が悩むポイントですが、原因によって対処法が変わります。
以下に、歯の着色の主な原因とそれぞれの対処法をまとめました👇
🦷 歯の着色の原因と対処法一覧
原因の種類具体的な例特徴主な対処法
🍵 食べ物・飲み物による着色(外因性)コーヒー、紅茶、緑茶、赤ワイン、カレー、コーラなど歯の表面(エナメル質)に色素が沈着歯科クリーニング(PMTC)・ホワイトニング・研磨剤入り歯磨剤
🚬 喫煙によるヤニ汚れタールやニコチン黄褐色~黒っぽい汚れ。歯の裏側に多い超音波スケーラーや専用ペーストでの除去。禁煙も有効
🪥 プラーク・歯石の沈着磨き残し表面がザラつき、色素がつきやすくなるプロのクリーニング・正しいブラッシング指導
💊 薬剤による変色(内因性)テトラサイクリン系抗生物質、フッ素過剰摂取などグレー・茶色・白斑状の変色ホワイトニングで改善困難な場合、ラミネートベニア・セラミッククラウン
⚙️ 金属の影響金属の詰め物・クラウン歯肉が黒ずむ、歯の根元が暗く見えるメタルフリー修復(セラミック・ジルコニア)への変更
👵 加齢による変色時間経過で象牙質が濃くなる全体的に黄ばんで見えるホワイトニング(特にオフィスホワイトニング)
🦠 神経の変化・失活歯虫歯や外傷で神経が死んだ歯灰色~黒っぽく変色内部漂白(ウォーキングブリーチ)またはクラウン修復
👶 発育期の影響・エナメル質形成不全発育期の栄養・病気の影響白斑や茶色の斑点審美修復(レジン、ベニア、クラウンなど)
💡 自宅でできる予防法
ステインがつきにくい歯磨剤を使う(ポリリン酸Na・メタリン酸Na配合など)
食後30分後にブラッシングやうがいをする
ストローを使って着色飲料を直接歯に触れにくくする
定期的な歯科医院でのクリーニング(3〜6ヶ月ごと)
🏥 専門的な治療法のまとめ
方法内容効果
PMTC(プロフェッショナルクリーニング)専用機器での研磨表面のステイン除去に最適
ホワイトニング(オフィス/ホーム)薬剤で漂白加齢・食生活による黄ばみを改善
ウォーキングブリーチ失活歯の内部を漂白神経がない歯の黒ずみを改善
ラミネートベニア/セラミッククラウン表面を薄く削って白い素材を貼る・被せるホワイトニングで改善しにくい変色に有効
----------------------------------------------------------------------
妙典歯科Nクリニック
住所:
千葉県市川市富浜1-7-18 ドエル1-111
電話番号 :
047-316-0305
FAX番号 :
047-316-0322
----------------------------------------------------------------------


