歯が死んでいる?!変色した歯
2025/11/15
こんにちは!
千葉県市川市の妙典駅前にある妙典歯科Nクリニックです。
歯の変色
その歯神経が死んでいるかも
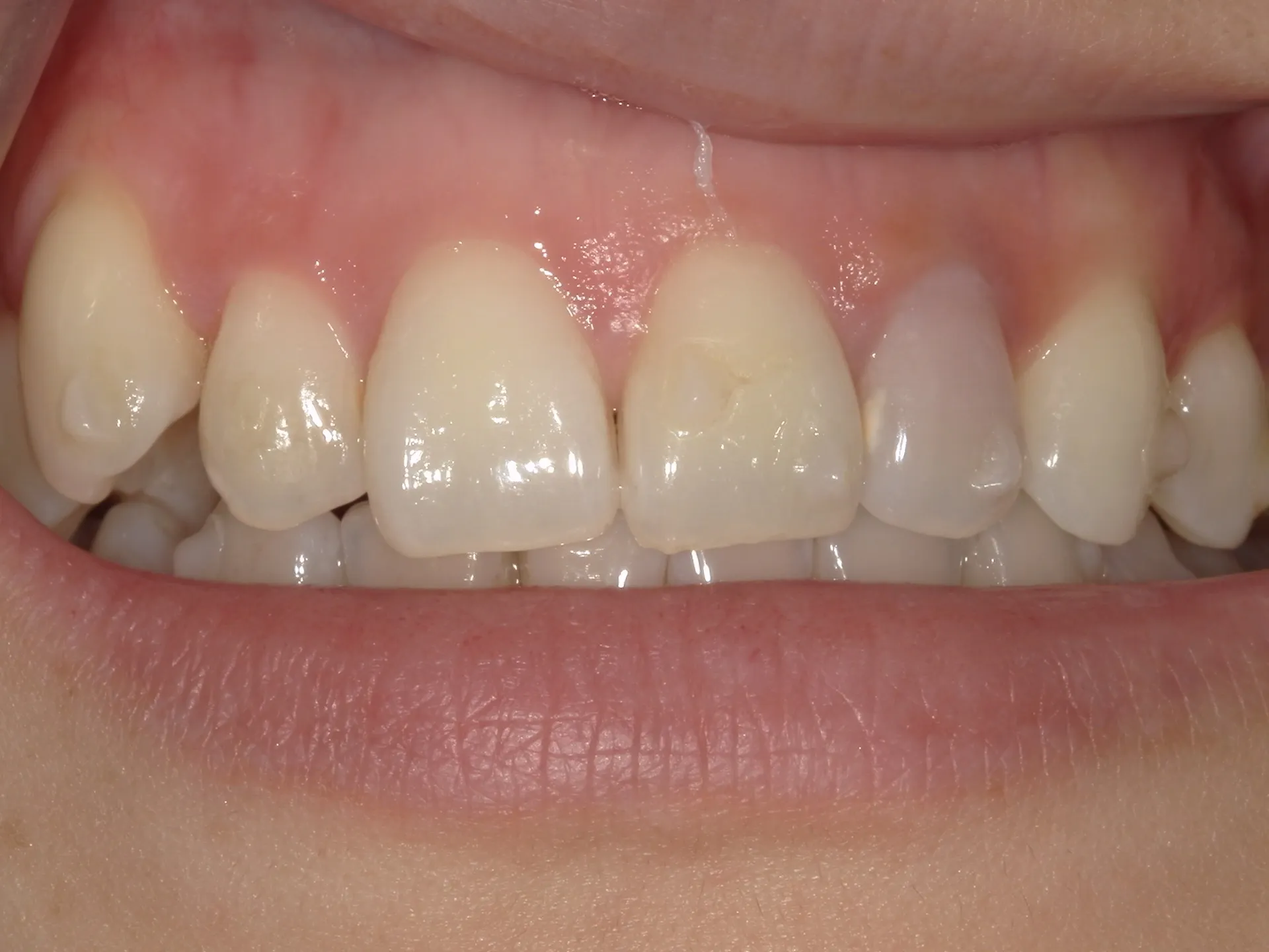
歯の変色にはさまざまな原因がありますが、「失活歯(しっかつし)」=神経(歯髄)が死んでいる歯の場合には、特有の変色が起こります。
🦷 歯の変色の主な原因
歯の変色は、大きく分けて 外因性(外から) と 内因性(歯の内部から) に分けられます。
種類 原因 例
外因性 変色歯の表面への着色 コーヒー・紅茶・タバコ・カレー・ワインなどの色素、歯石、プラーク
内因性 変色歯の内部構造や成分変化 失活歯、フッ素症、テトラサイクリン歯、加齢など
⚫ 失活歯による変色(内因性変色の代表)
▶ 原因
歯の神経(歯髄)が死んだり、抜髄(神経を取る)処置を行った後に、
歯の内部で以下のような変化が起こります:
歯髄内の血液成分(血球・ヘモグロビン)の分解
→ 鉄や色素が象牙細管に沈着して、歯が灰色・褐色・黒っぽくなる。
神経を取った後の処置材(根管充填材)の影響
→ 一部の古い薬剤(酸化亜鉛ユージノール系、パラホルムアルデヒドなど)が内部を変色させることがある。
経年的な水分喪失
→ 神経を失った歯は水分が減り、光の透過性が落ちてくすんだ色に見える。
▶ 色の特徴
はじめは 薄い黄褐色〜灰色
時間とともに 暗灰色、黒っぽい色 へ変化
特に前歯で目立ちやすい
▶ 対応・治療法
方法 内容 適応
ウォーキングブリーチ(内部漂白) 根管治療後、歯の内部に漂白剤を入れて数日間おき、漂白を繰り返す 失活歯の軽度〜中等度の変色
セラミッククラウン/ラミネートベニア 表面を削って被せる・貼る 変色が強い場合、漂白で限界があるとき
コンポジットレジン修復 歯の表面に樹脂を盛る 部分的変色の場合
▶ 注意点
漂白しても再び暗くなることがある(色素の再沈着)
歯質がもろくなっている場合があり、破折リスクに注意
失活歯の漂白では、根管がしっかり封鎖されていることが前提
🪞 まとめ
原因 メカニズム 見た目 主な対応
外因性変色 表面の色素沈着 黄ばみ・茶色 クリーニング・ホワイトニング
内因性変色(失活歯)歯髄の死や分解物の沈着 灰色・黒色 内部漂白(ウォーキングブリーチ)・補綴
加齢性変色 象牙質の厚み・エナメル質の摩耗 黄色っぽく ホワイトニング
薬剤性(テトラサイクリンなど) 成長期の歯への薬剤沈着 灰紫色・縞模様 セラミック修復など
----------------------------------------------------------------------
妙典歯科Nクリニック
住所:
千葉県市川市富浜1-7-18 ドエル1-111
電話番号 :
047-316-0305
FAX番号 :
047-316-0322
----------------------------------------------------------------------


