先天欠如の矯正治療
2025/11/17
こんにちは!
千葉県市川市の妙典駅前にある妙典歯科Nクリニックです。
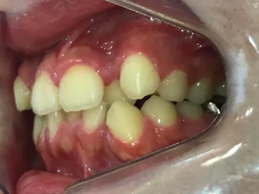
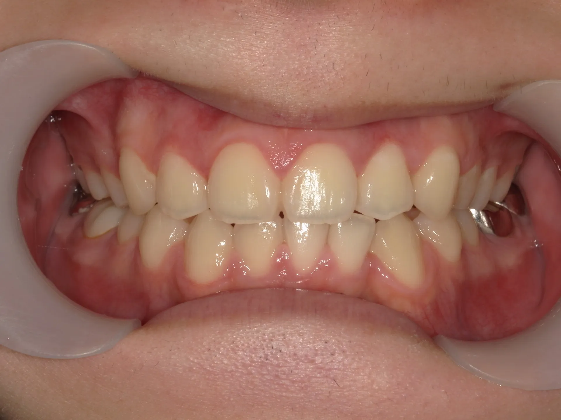
たまに先天的に歯がない人がいます。
それは1本の時もあれば数本~数十本のときまであります。
今回は下の前歯が1本ない場合の矯正治療についてご紹介いたします。
----------------------------------------------------------------------
妙典歯科Nクリニック
住所:
千葉県市川市富浜1-7-18 ドエル1-111
電話番号 :
047-316-0305
FAX番号 :
047-316-0322
妙典でマウスピース矯正を体験
----------------------------------------------------------------------


