出っ歯はマウスピース矯正で治せる!
2025/11/28
こんにちは!
千葉県市川市の妙典駅前にある妙典歯科Nクリニックです。
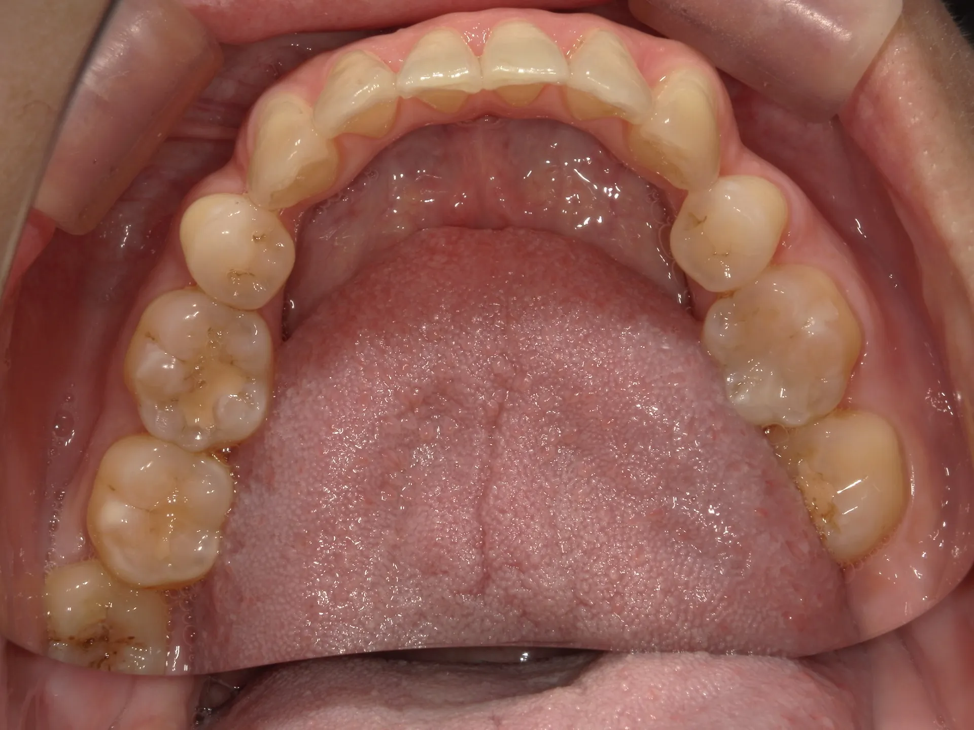
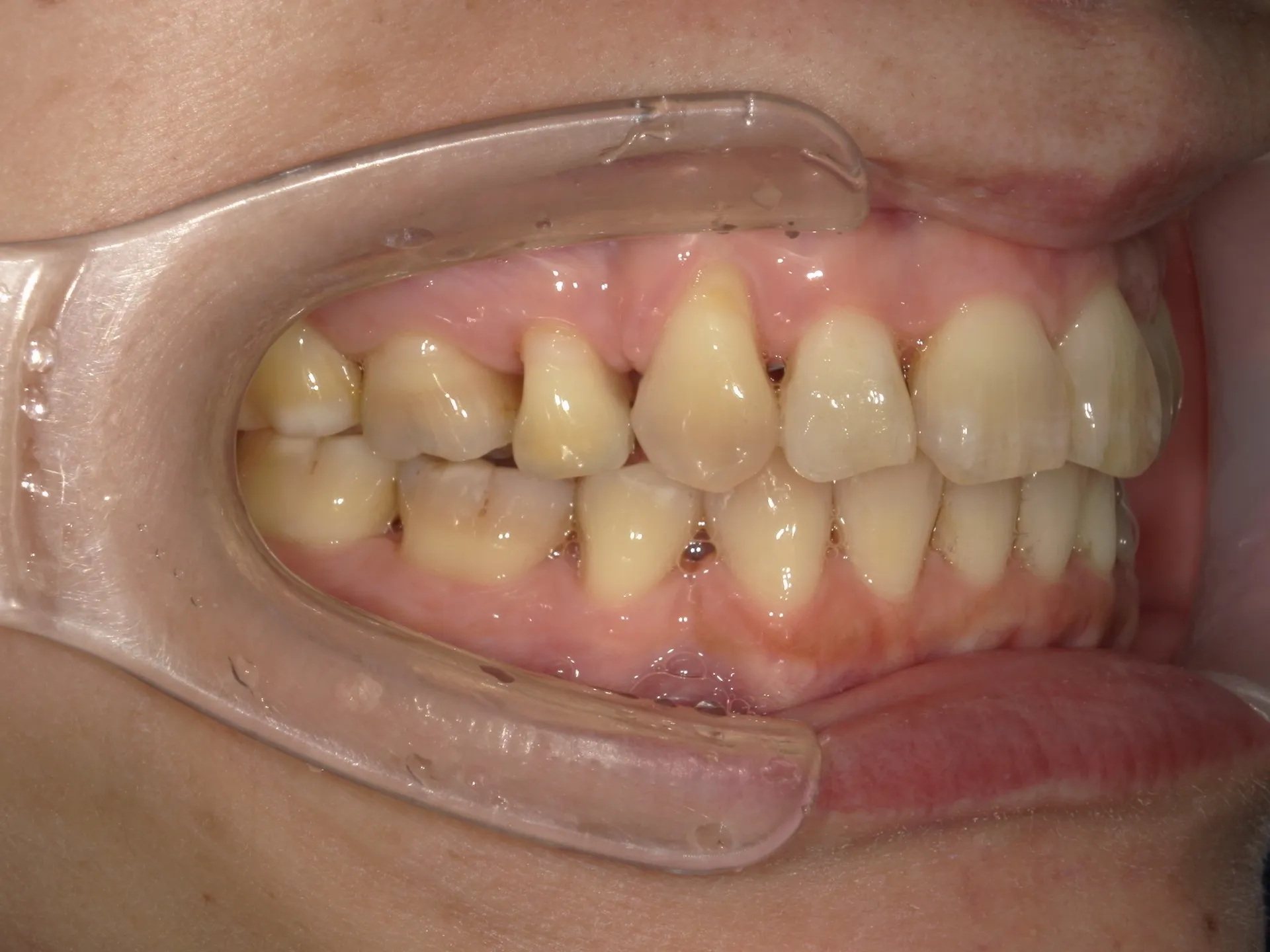
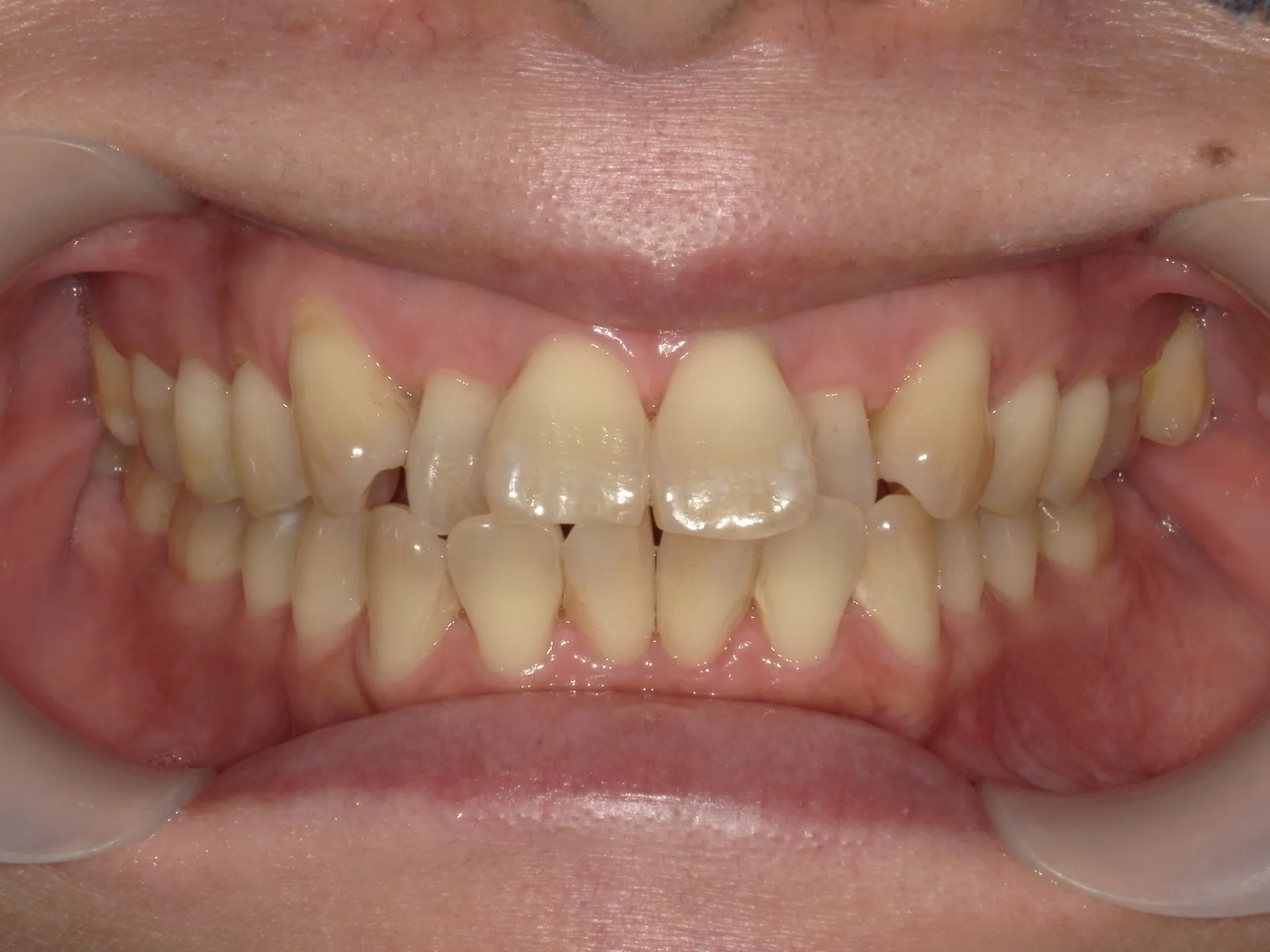
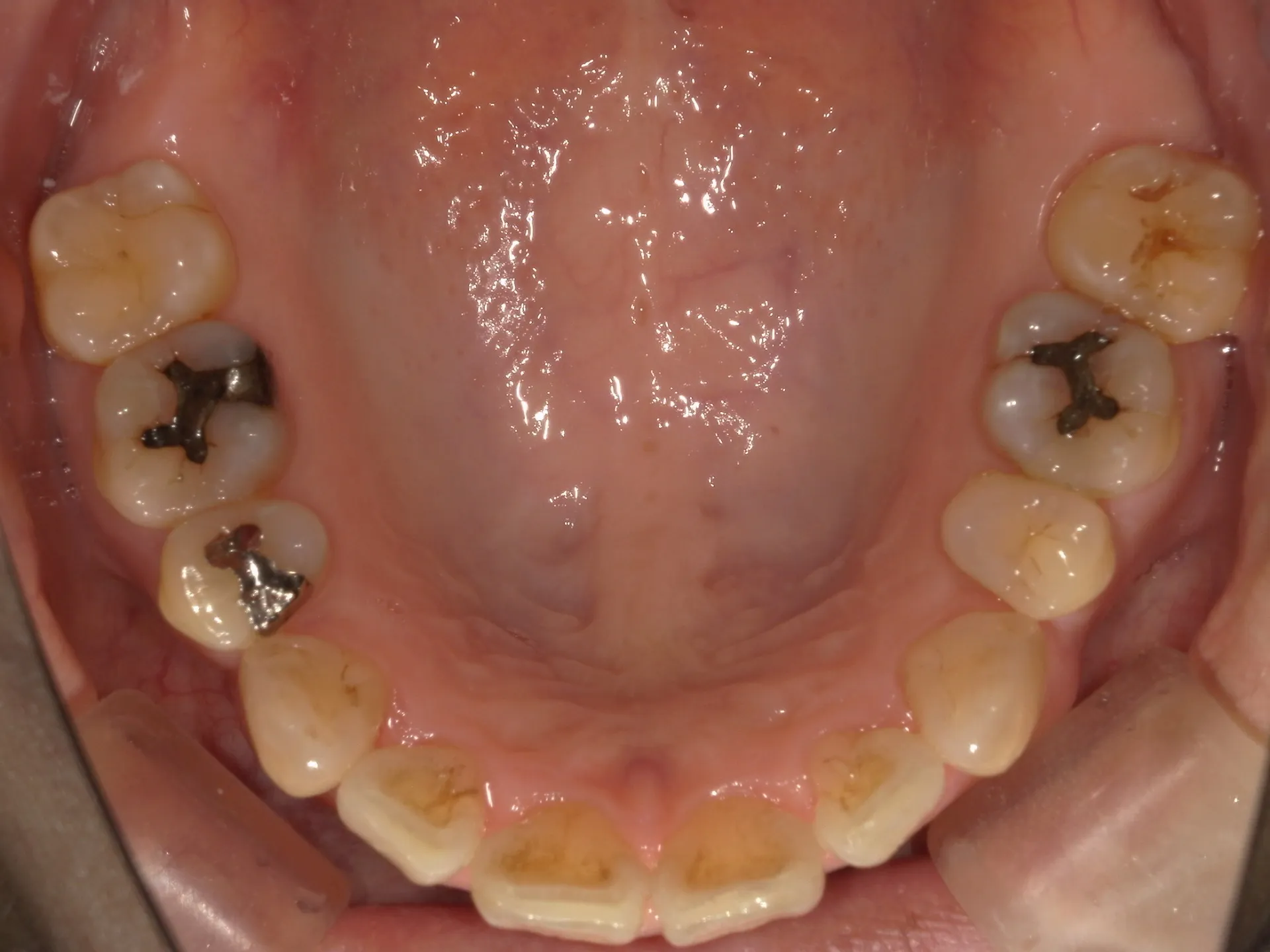
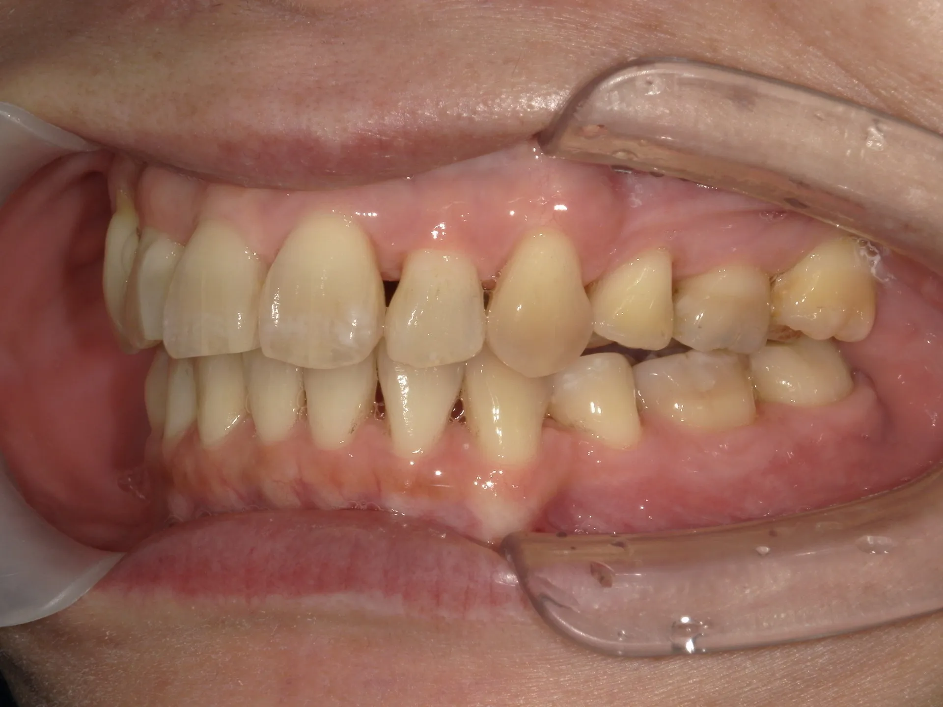
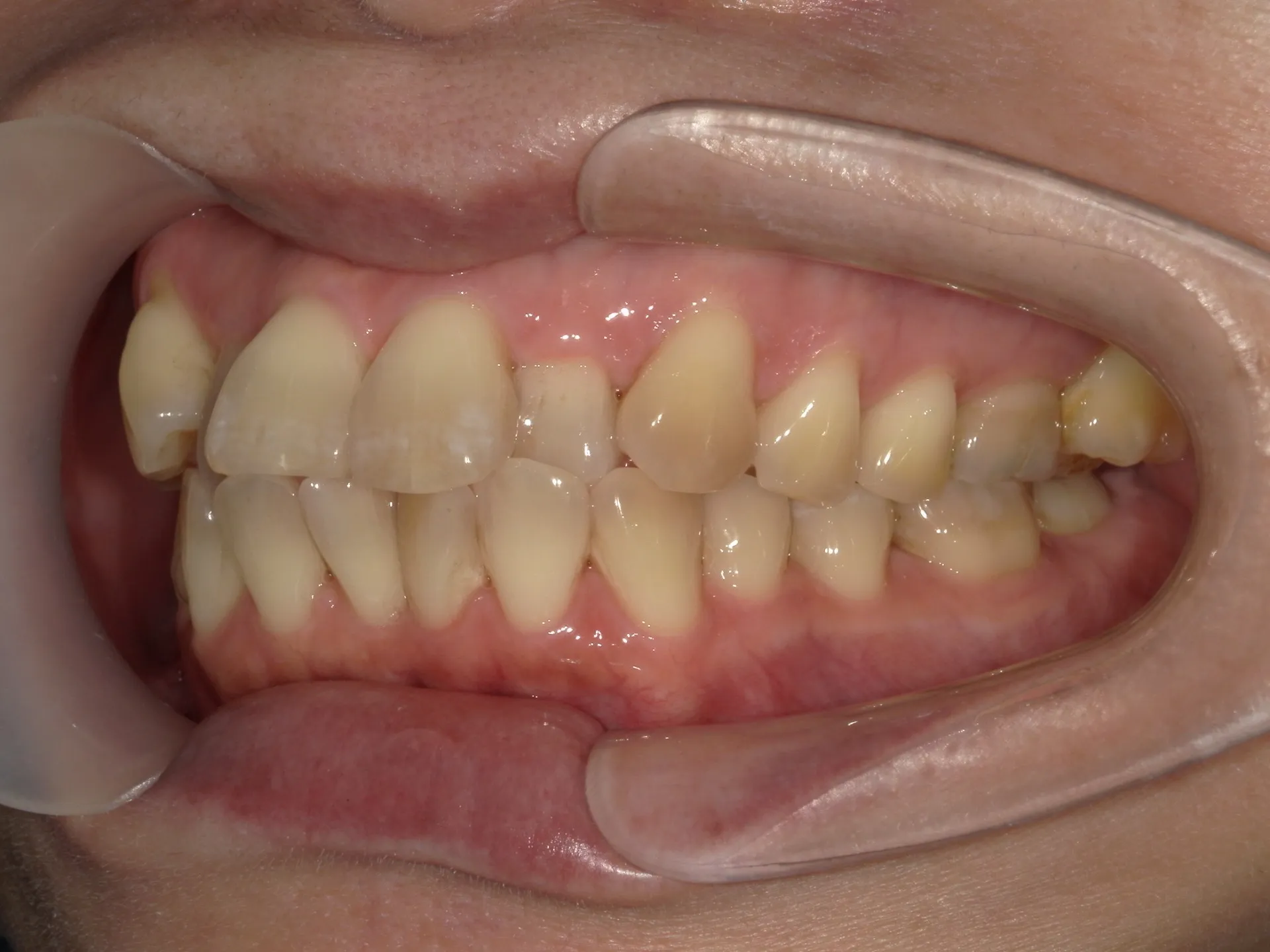
抜歯を行い前歯の入るスペースを確保した症例になります。おさまりがかなり良く口元のスッキリ感があります。
マウスピース矯正では抜歯症例は難しいなどと言われることもありますが、しっかりとプランニングして患者様が使用していたければ問題なく矯正することができます。(※全てに言えることではなく症例の選択も重要)
あなたの歯並びも矯正で治してみませんか?
----------------------------------------------------------------------
妙典歯科Nクリニック
住所:
千葉県市川市富浜1-7-18 ドエル1-111
電話番号 :
047-316-0305
FAX番号 :
047-316-0322
----------------------------------------------------------------------


