シングルリテーナーによる保険の接着ブリッジ
2026/02/26
こんにちは!
千葉県市川市の妙典駅前にある妙典歯科Nクリニックです。
接着ブリッジ
接着ブリッジとは?
まず接着ブリッジとは何なのか。
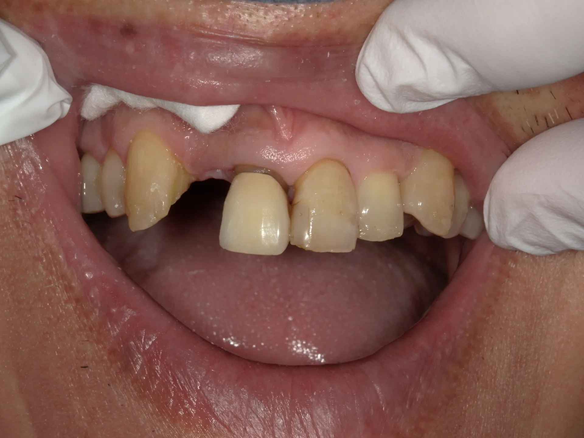
歯を補う方法として3つ治療法があります。
・入れ歯 ・ブリッジ ・インプラント
通常ブリッジは橋を意味していて、欠損した歯の両隣を削って橋を架けるように3本の歯を連結した被せ物を入れる形状になっています。
被せ物にする利点は強度が上がり、脱落するリスクも減ることが最大のメリットがあり、また全周を削って被せることで歯を汚れから全周保護することもできます。一方で切削量が大きくなることや神経への刺激が多少出てしまうこと、さらには人工の歯独特の色調になるデメリットもあります。
そこで接着ブリッジでは切削量を減らし歯の裏側のみを削ることによって見た目を改善し、切削量を減らすことで神経へのリスクも減らすという方法です。
----------------------------------------------------------------------
妙典歯科Nクリニック
住所:
千葉県市川市富浜1-7-18 ドエル1-111
電話番号 :
047-316-0305
FAX番号 :
047-316-0322
----------------------------------------------------------------------


