削らないホワイトスポット治療と限界
2026/02/27
こんにちは!
千葉県市川市の妙典駅前にある妙典歯科Nクリニックです。
削らない治療アイコン治療
Icon治療
治療法が大きく分けて4つあり、
・削らない治療Icon治療
・ダイレクトボンディング法
・ラミネートべニア修復
・クラウン補綴修復
です。
上から下に向かうにつれて削る量が大きくなっていきます。
歯を削るのはどうしても避けたいということであればIcon治療が適応になってきますが、削らない分軽度から中等度程度までに適した治療ということになります。
今回は患者様とご家族様の希望により最小限で治療して無理なら順にグレードを上げていくという方針で合意されました。
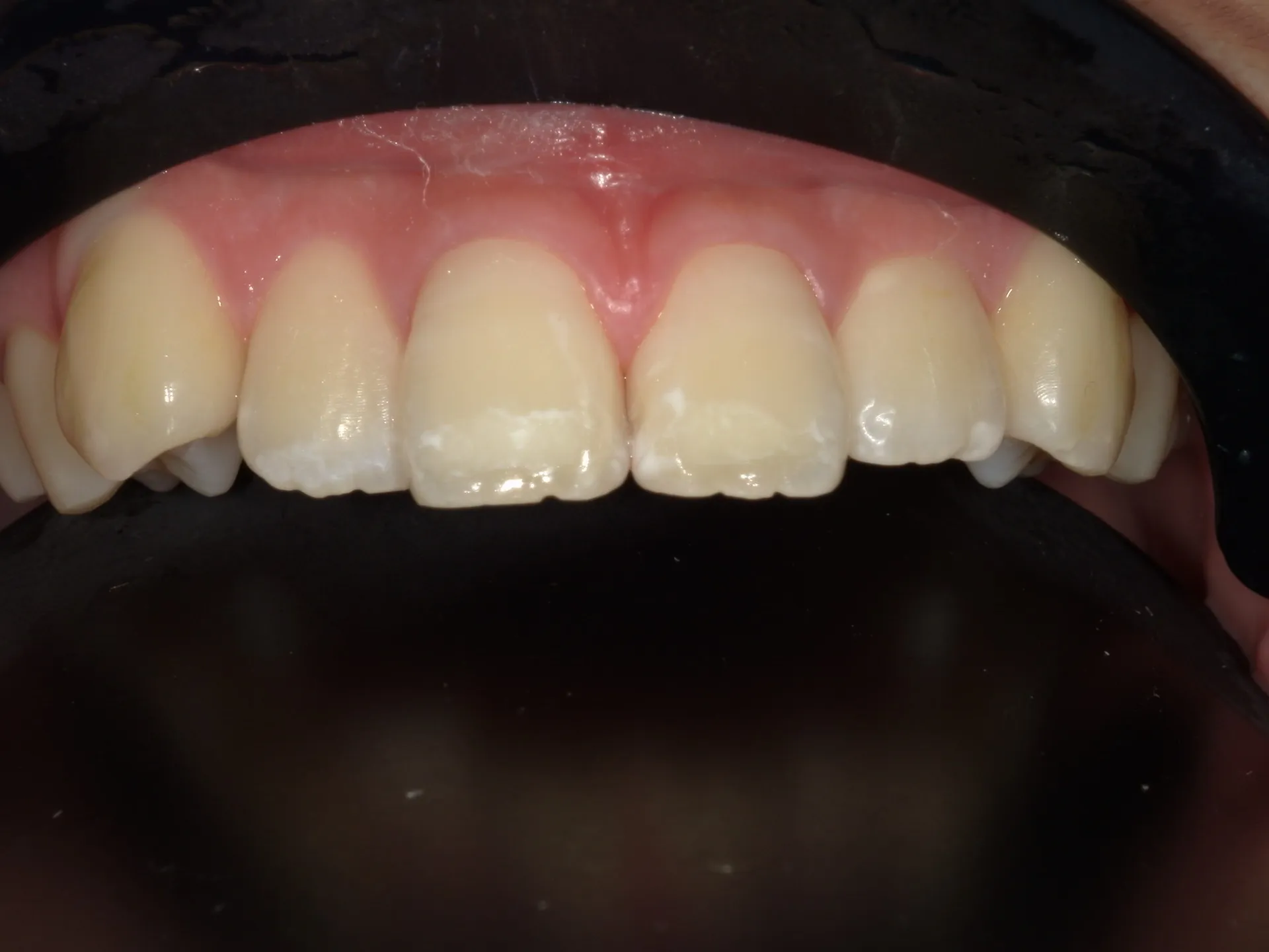
上の写真がIcon治療後の写真になります。やはり重度ではあるため完全なホワイトスポットの回復にはなりませんでした。
まだらに白いところが残存していますが、8割程度は回復していることが分かります。
Icon治療後ご家族の方はある程度満足されましたが、本人は少し残念そうな表情をされていましたのでまずは1週間使用してみてやはり削って詰めなおしたいと思うようになった場合には保障として半額でダイレクトボンディング法を行うこととしております。
今回のように削ってから削らない治療は選択できないため、小さい処置から大きな処置に移ることは可能ですので治療でもし迷われる様であれは小さな治療から始めることをオススメしています。
----------------------------------------------------------------------
妙典歯科Nクリニック
住所:
千葉県市川市富浜1-7-18 ドエル1-111
電話番号 :
047-316-0305
FAX番号 :
047-316-0322
----------------------------------------------------------------------


