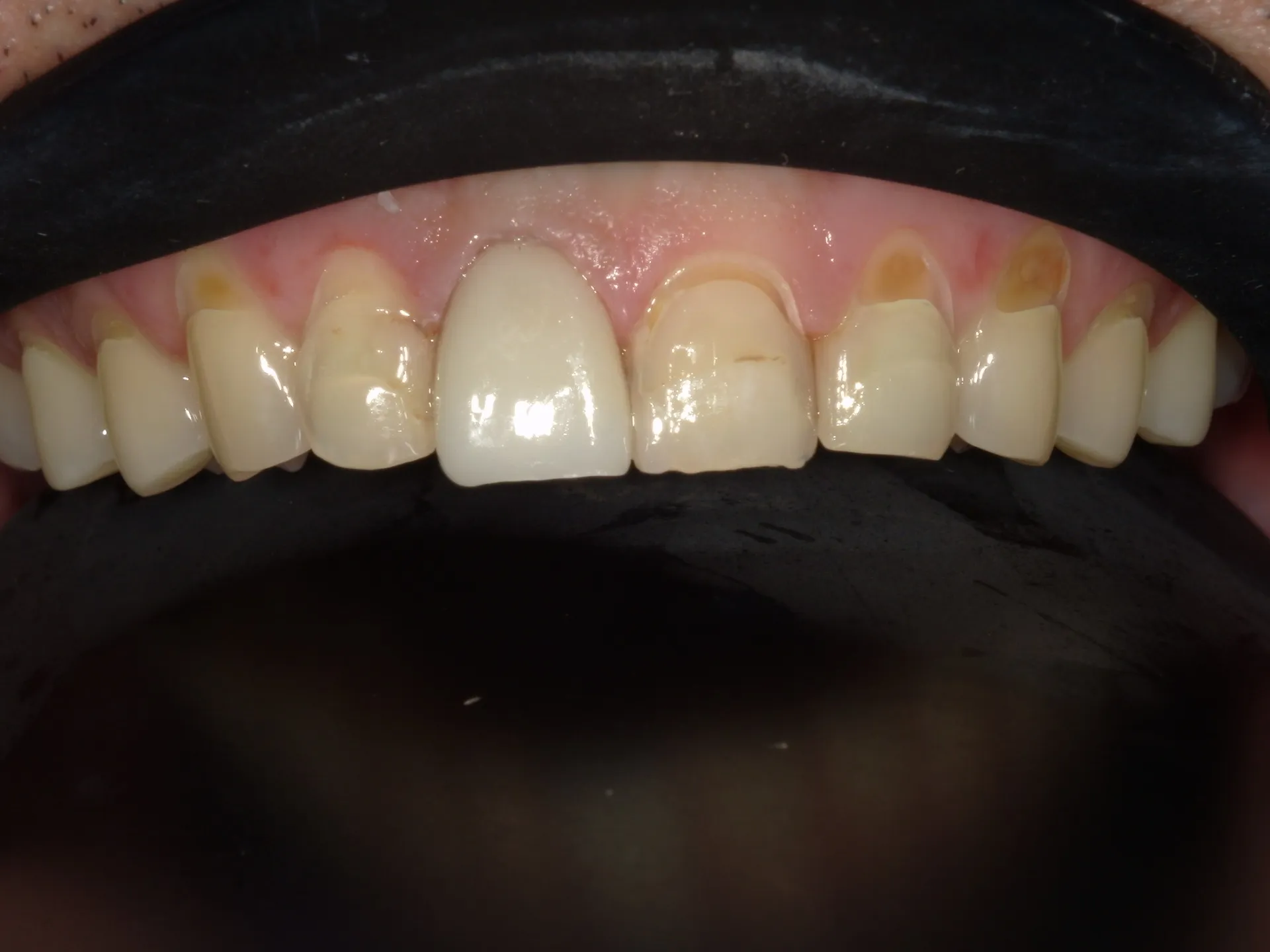
前歯が折れた。。
2026/03/14
こんにちは!
千葉県市川市の妙典駅前にある妙典歯科Nクリニックです。
----------------------------------------------------------------------
妙典歯科Nクリニック
住所:
千葉県市川市富浜1-7-18 ドエル1-111
電話番号 :
047-316-0305
FAX番号 :
047-316-0322
妙典でセラミックの選択肢
----------------------------------------------------------------------


