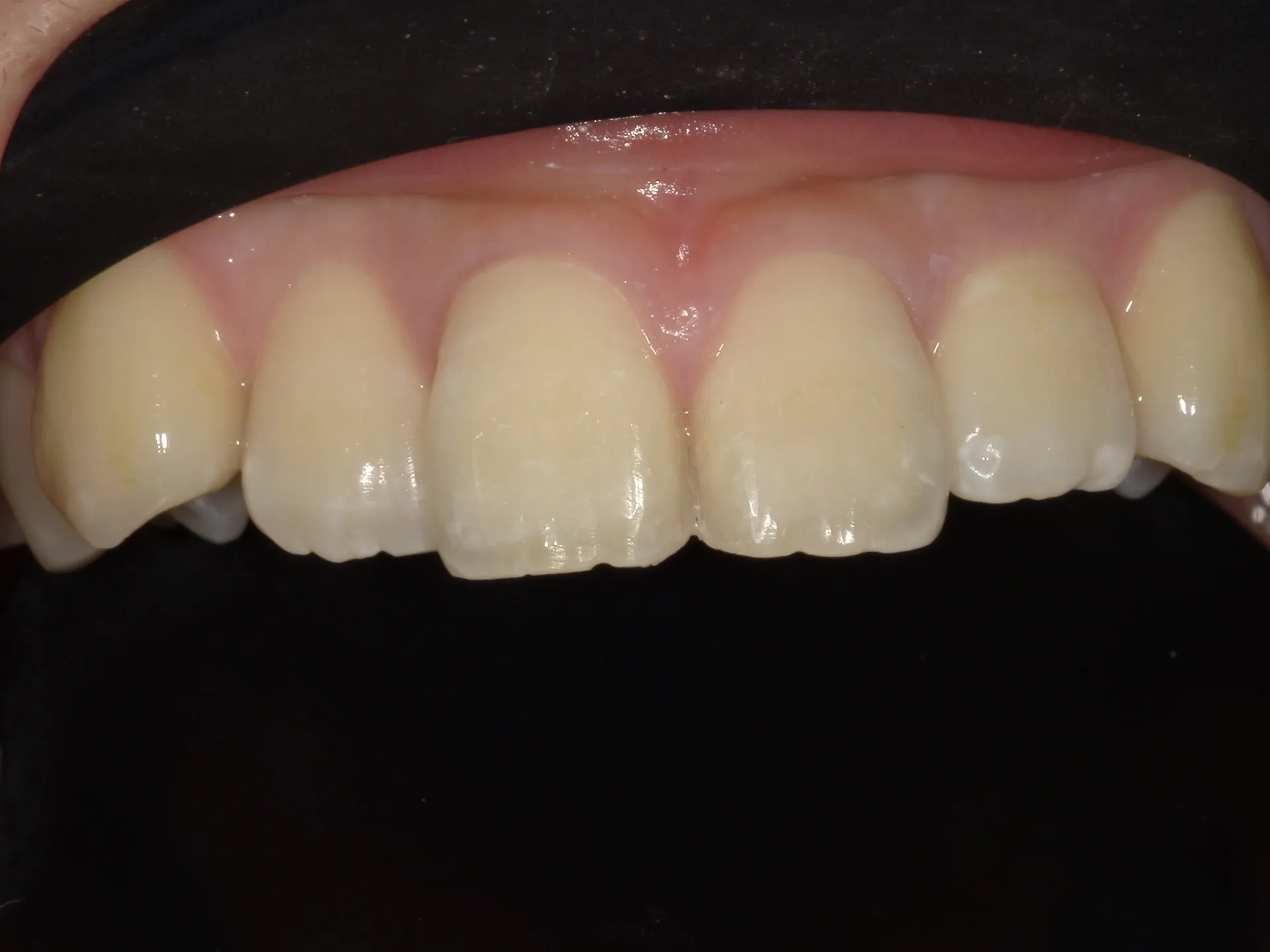
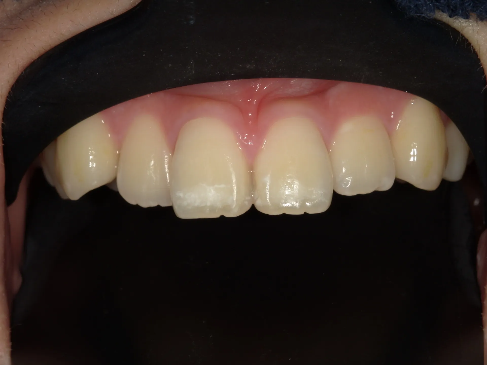
ホワイトスポットをIcon→ダイレクトボンディング法で治療した症例
2026/03/30
こんにちは!
千葉県市川市の妙典駅前にある妙典歯科Nクリニックです。
----------------------------------------------------------------------
妙典歯科Nクリニック
住所:
千葉県市川市富浜1-7-18 ドエル1-111
電話番号 :
047-316-0305
FAX番号 :
047-316-0322
----------------------------------------------------------------------


