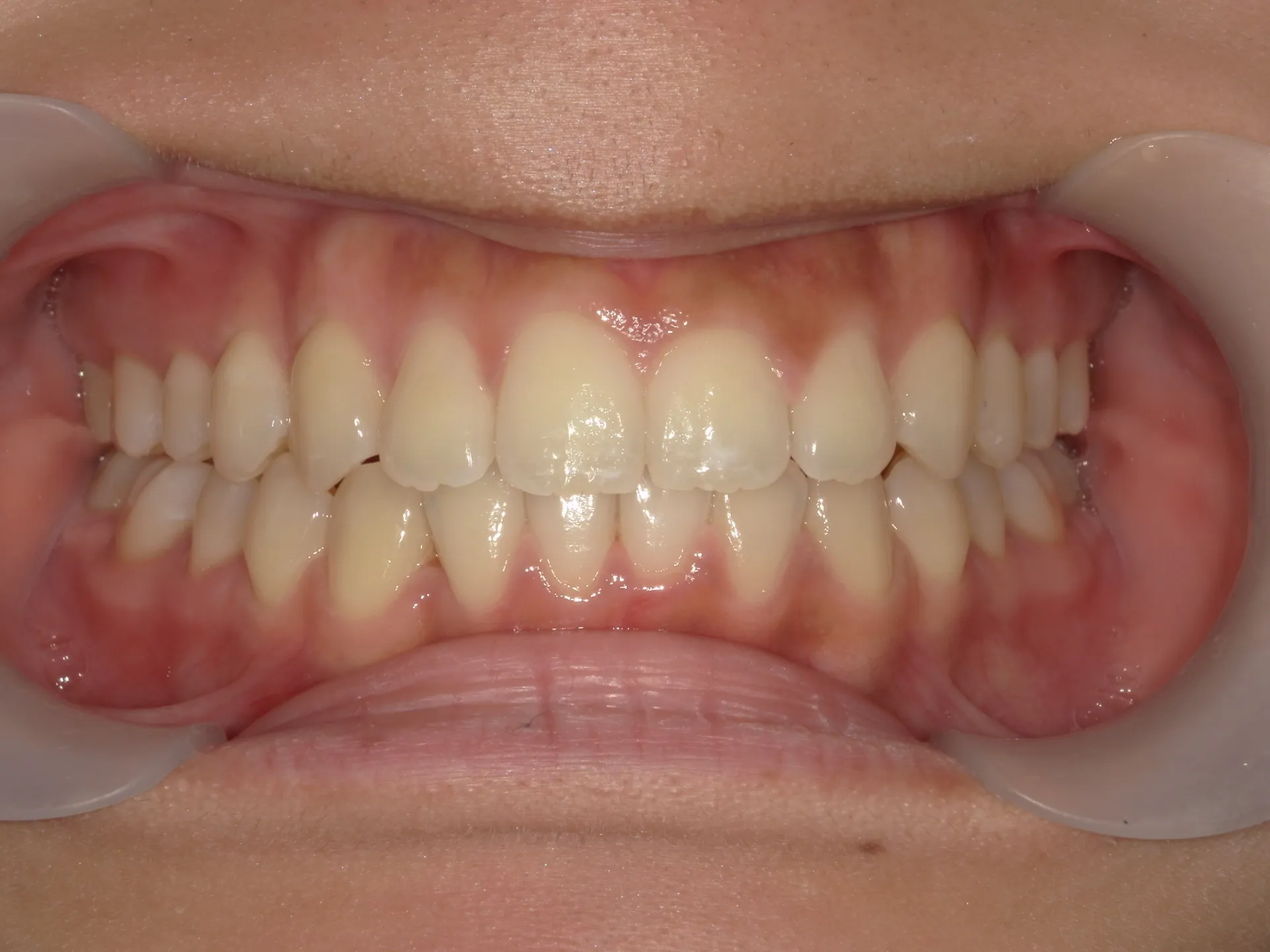
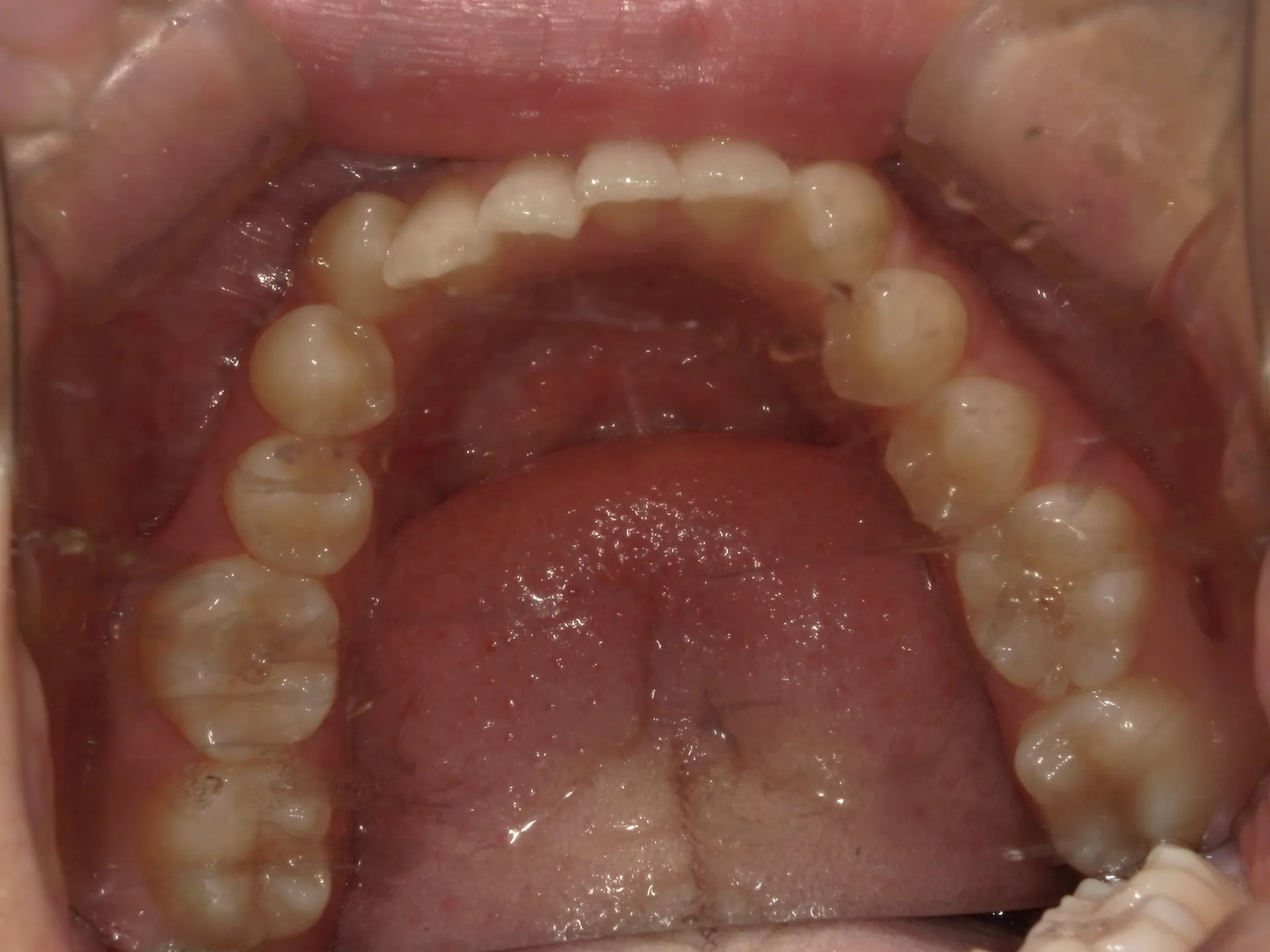
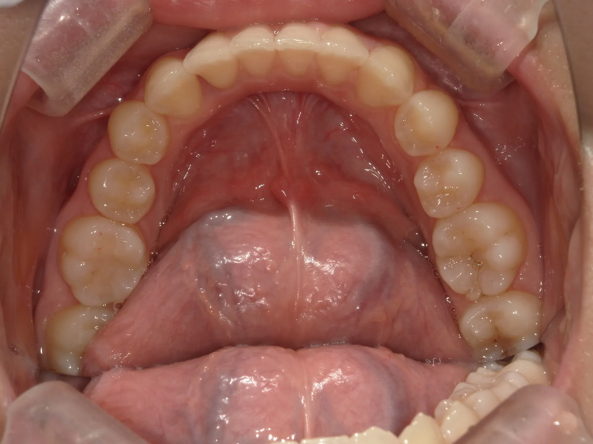
マウスピース矯正で1年間術前と術後
2026/04/03
こんにちは!
千葉県市川市の妙典駅前にある妙典歯科Nクリニックです。
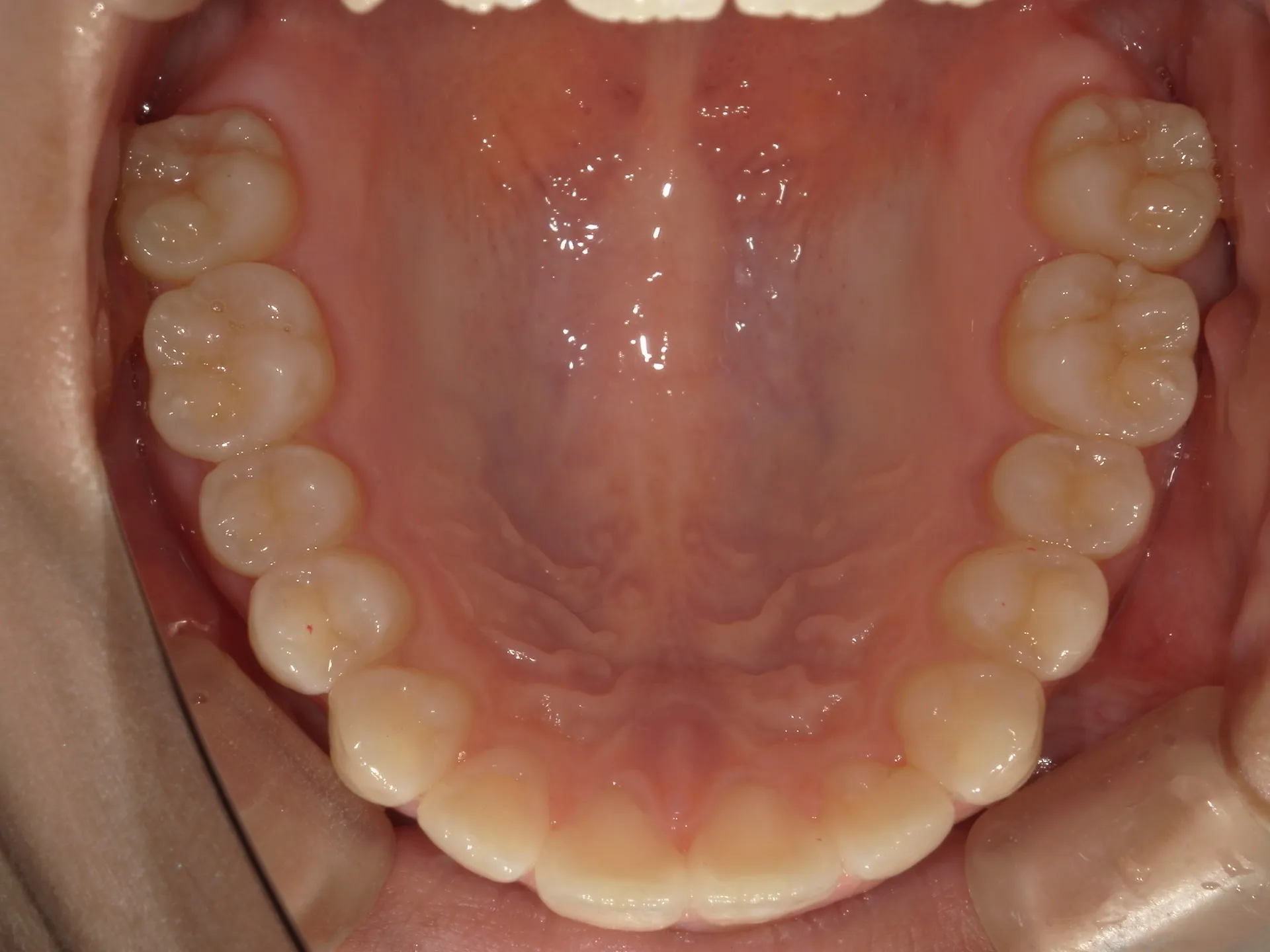
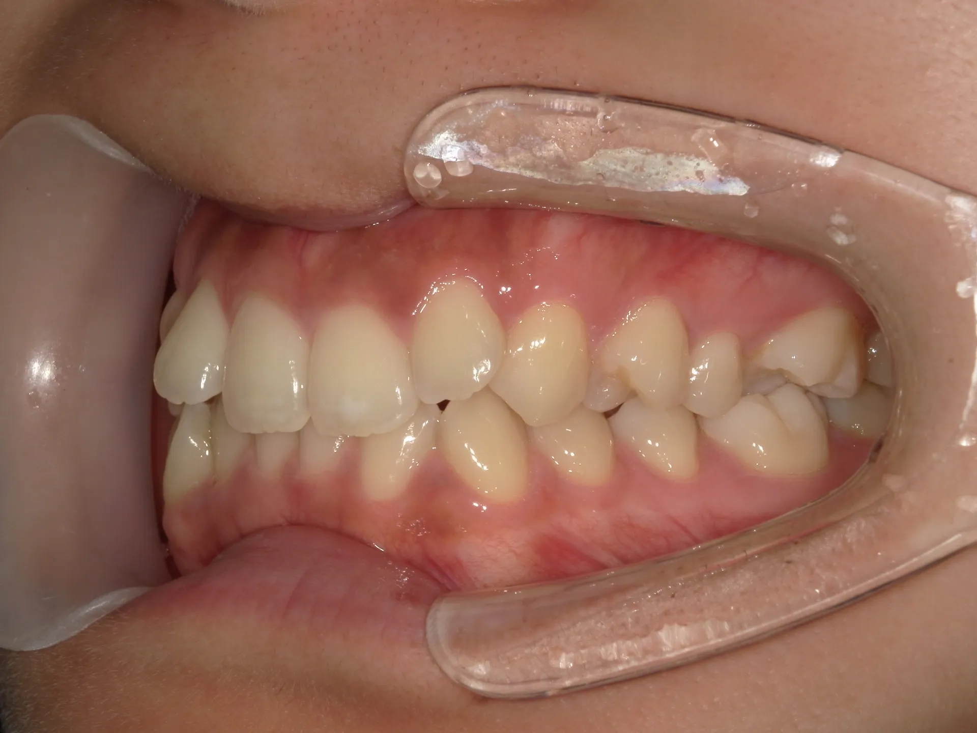
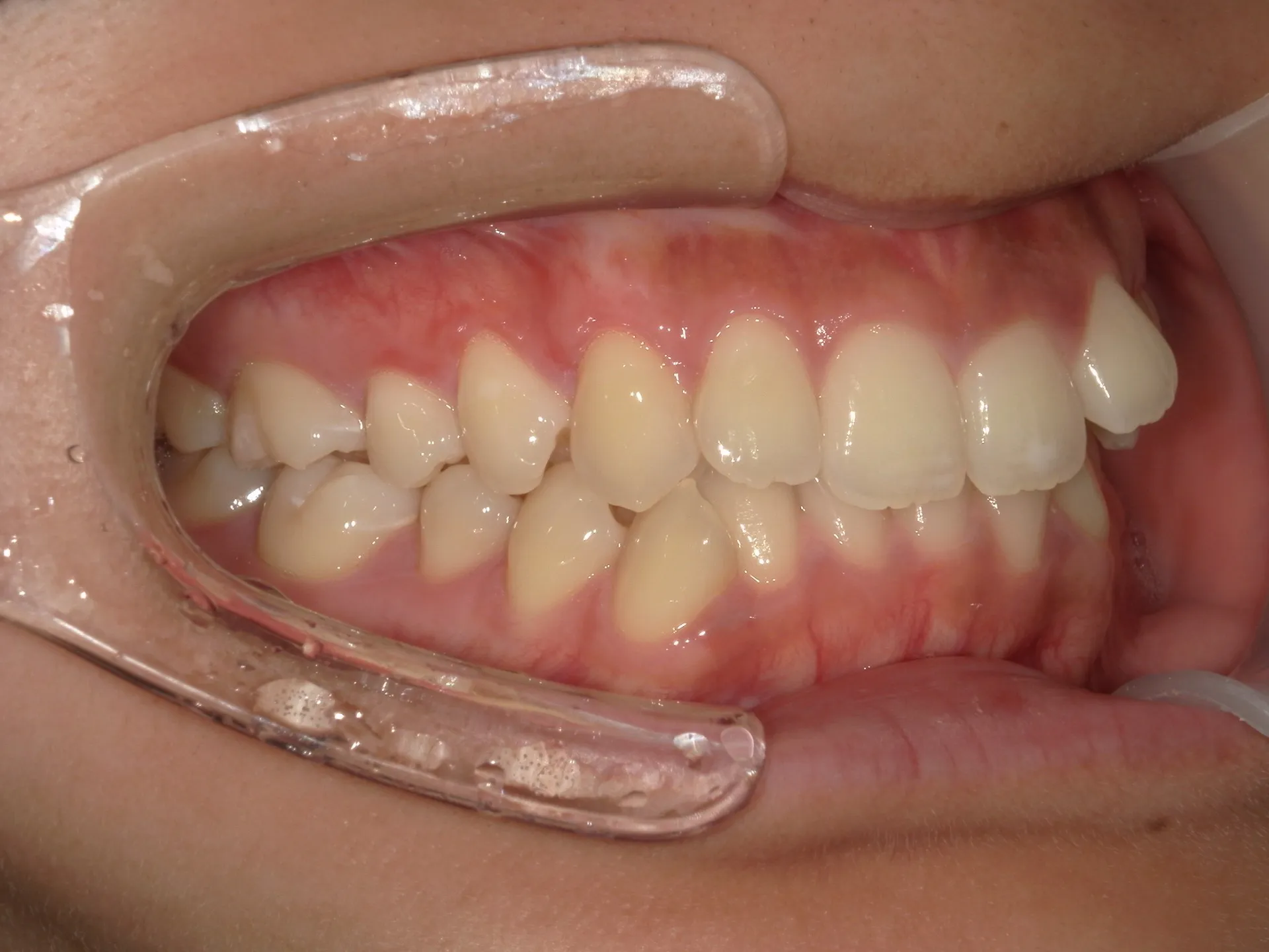
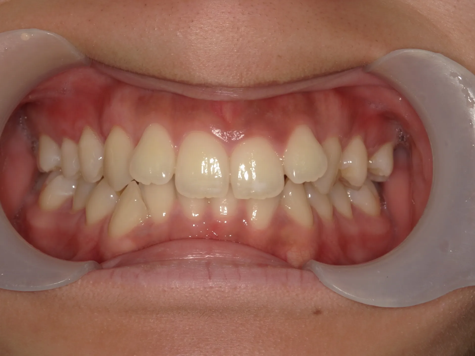
マウスピース矯正では奥歯のかみ合わせがワイヤー矯正と比べて浮きやすいというデメリットはありますが、マウスピース矯正でも十分なかみ合わせを確保することが可能です。
歯並びで気になった際は是非当院でご相談ください。
----------------------------------------------------------------------
妙典歯科Nクリニック
住所:
千葉県市川市富浜1-7-18 ドエル1-111
電話番号 :
047-316-0305
FAX番号 :
047-316-0322
妙典でマウスピース矯正を体験
----------------------------------------------------------------------

