他院さんから引継いだインビザライン治療の患者様
2026/04/04
こんにちは!
千葉県市川市の妙典駅前にある妙典歯科Nクリニックです。
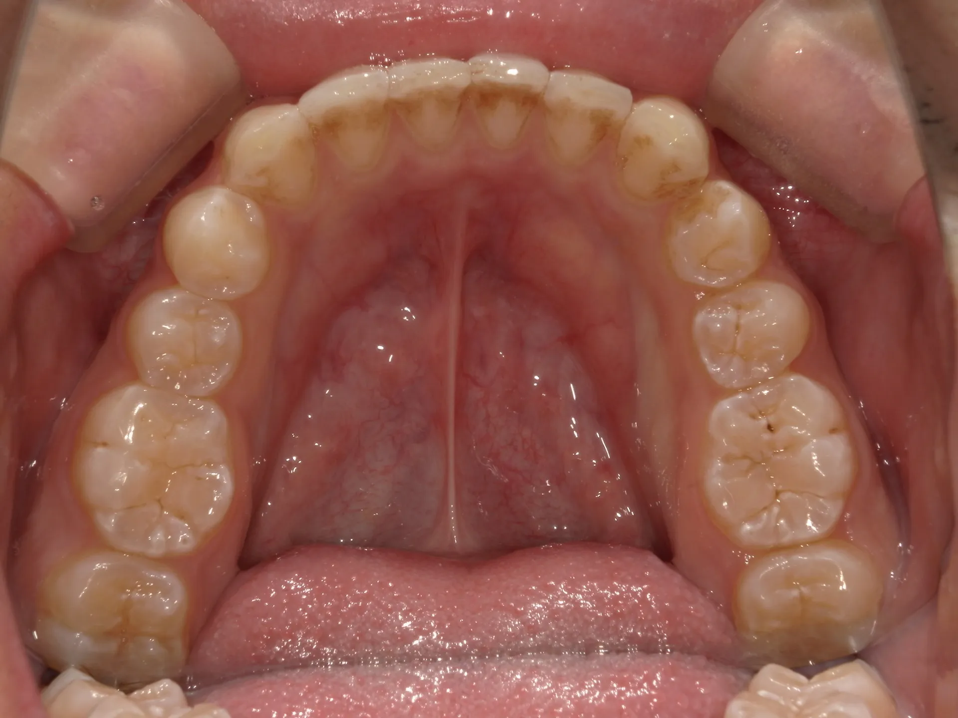
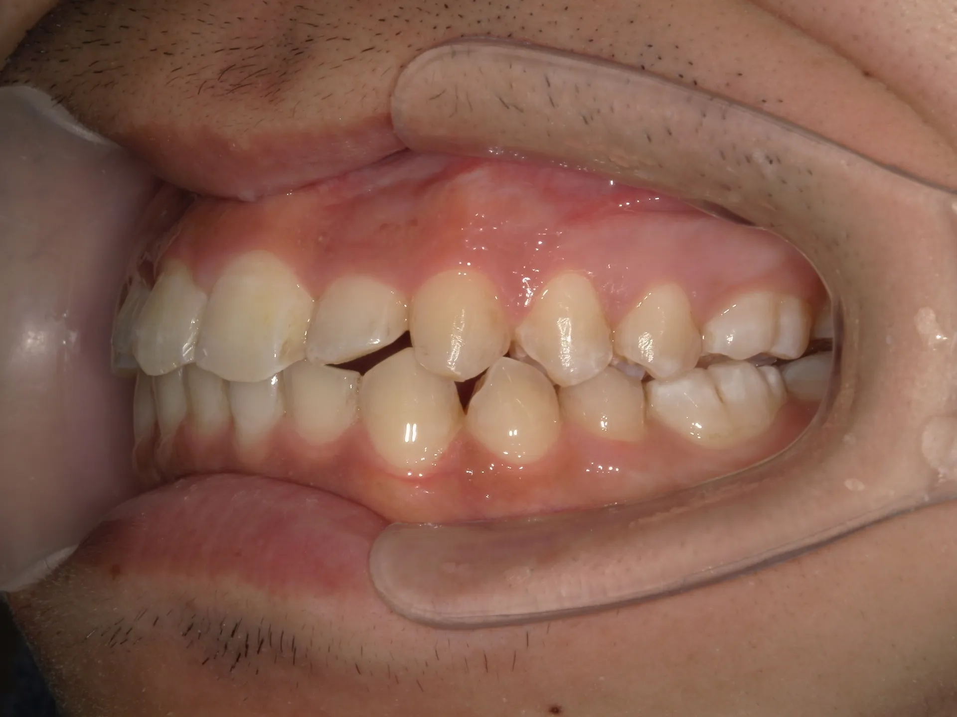
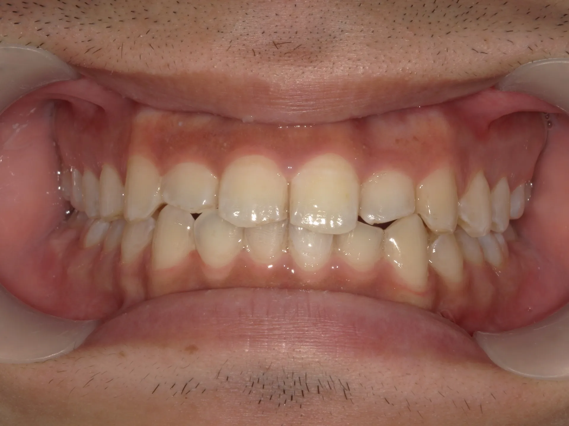
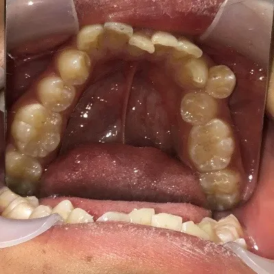
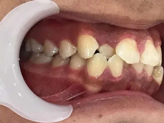
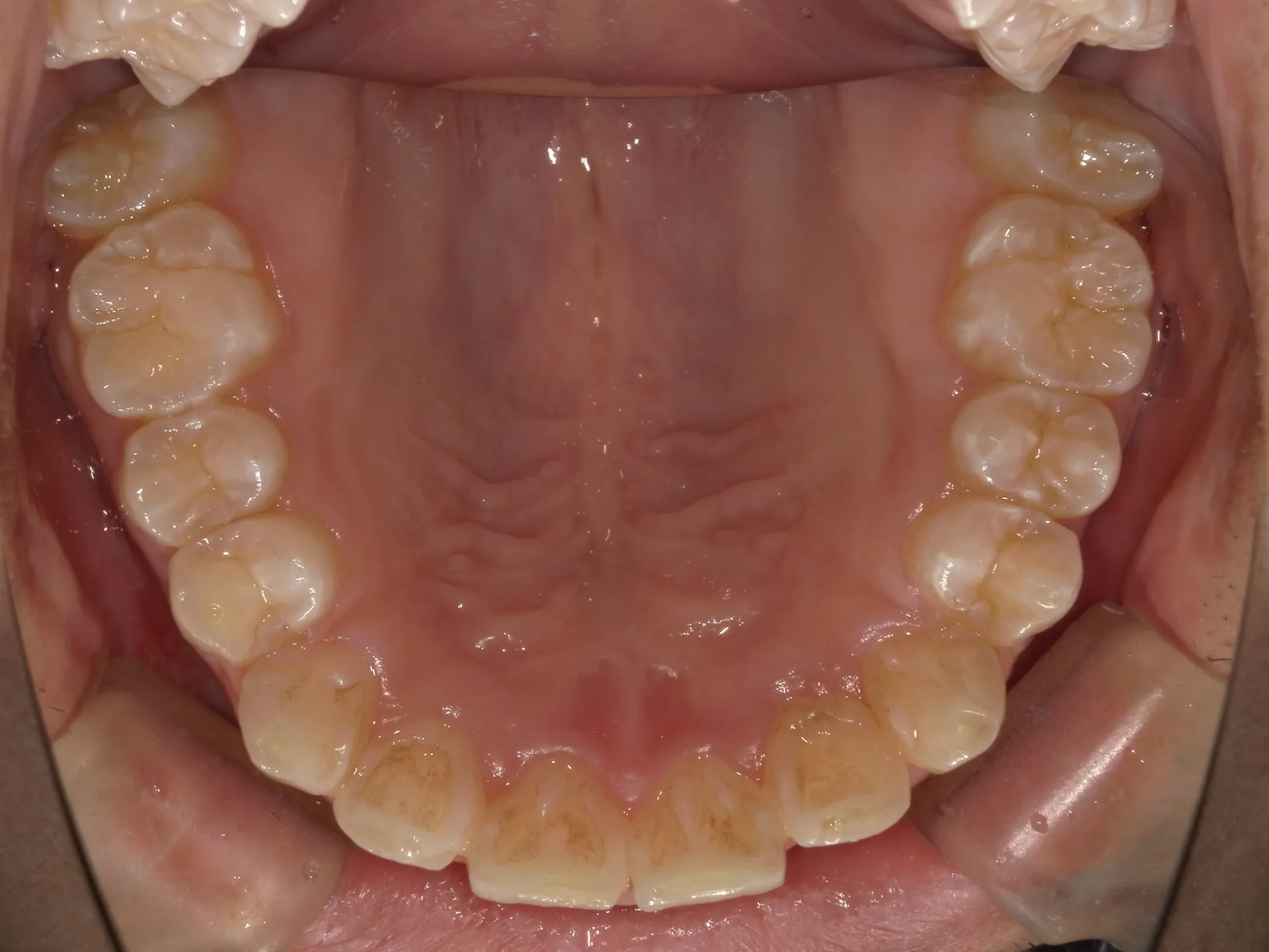
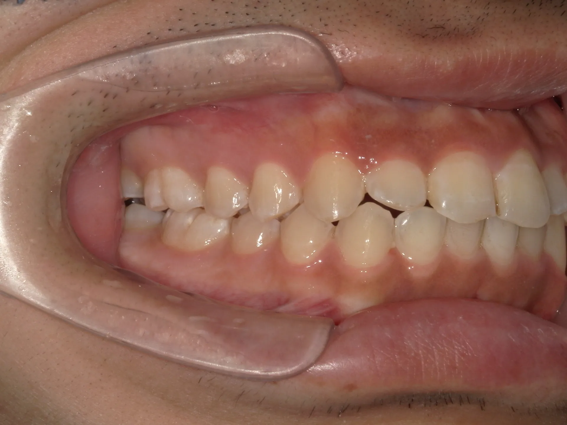
今回は他院さんでインビザライン矯正治療を受けていた患者様を引き継いで当院でインビザライン治療を継続した症例をご紹介致します。
今回はマウスピース矯正を主軸にした矯正ですが、一部ワイヤー矯正も併用して改善しております。
マウスピース矯正のみしか行っていない歯科医院では対処しきれない場合もあり、ワイヤー矯正とマウスピース矯正どちらも行える歯科医院で矯正治療を始めることがきれいな歯並びに近づける方法です。
是非当院でご相談ください。
----------------------------------------------------------------------
妙典歯科Nクリニック
住所:
千葉県市川市富浜1-7-18 ドエル1-111
電話番号 :
047-316-0305
FAX番号 :
047-316-0322
妙典でマウスピース矯正を体験
----------------------------------------------------------------------

