矯正 VS セラミック
2026/04/27
こんにちは!
千葉県市川市の妙典駅前にある妙典歯科Nクリニックです。
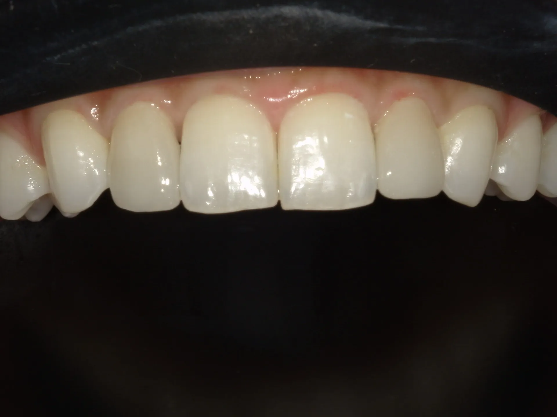
【矯正とセラミック、どちらを選ぶべき?】
見た目を整える方法として
「矯正」と「セラミック」で迷う方は多いです。
■大きな違い
・矯正:歯を動かす(根本改善)
・セラミック:色や形を変える(見た目改善)
■矯正が向いている人
・健康な歯を削りたくない
・長期的に安定させたい
■セラミックが向いている人
・短期間で仕上げたい
・形や色を同時に変えたい
■重要な判断基準
・期間
・費用
・侵襲性(削るかどうか)
■まとめ
正解は一つではありません。
大切なのは「何を優先するか」です。
----------------------------------------------------------------------
妙典歯科Nクリニック
住所:
千葉県市川市富浜1-7-18 ドエル1-111
電話番号 :
047-316-0305
FAX番号 :
047-316-0322
妙典でマウスピース矯正を体験
妙典でセラミックの選択肢
----------------------------------------------------------------------

