保険診療で即日治す白い詰め物🦷
2026/04/28
こんにちは!
千葉県市川市の妙典駅前にある妙典歯科Nクリニックです。
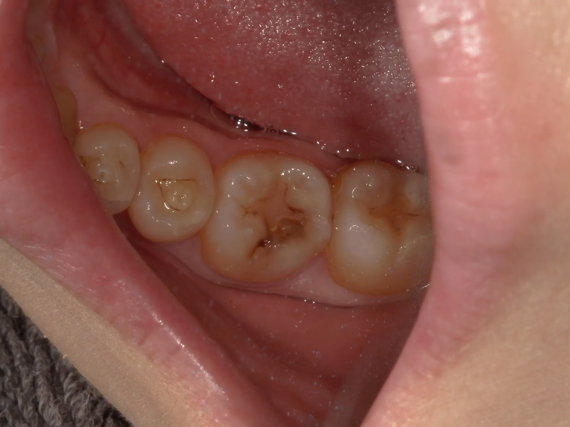
治療前
黒い部分と古い詰め物
治療前の写真は噛む面の溝に古い白の詰め物が入っていますが、その周りには黒い虫歯が存在しています。
保険の白い詰め物は経年変化で色が茶色くなっていくことや歯と詰め物の周りに隙間ができるなどのデメリットがあり、どうしても二次的な虫歯が生じやすいです。
しかしながら、保険診療で治療費が安価になりやすいことや即日治療ができるため患者様には喜ばれやすい治療と言えます。
先ほどのデメリットを回避したい場合には、セラミック治療や銀歯、CAD/CAMInなど様々な治療法も存在します。
患者様ごとにどの治療が適していて希望とメリットデメリットを説明し納得できる治療を提供できる環境を整えておりますので是非当院でご相談ください。
----------------------------------------------------------------------
妙典歯科Nクリニック
住所:
千葉県市川市富浜1-7-18 ドエル1-111
電話番号 :
047-316-0305
FAX番号 :
047-316-0322
----------------------------------------------------------------------

