インビザラインで開咬を治療する!
2025/05/07
こんにちは!
千葉県市川市の妙典駅前にある妙典歯科Nクリニックです。
今回はインビザラインによるマウスピース矯正で開咬と呼ばれる歯列不正を治療した症例についてご紹介いたします。
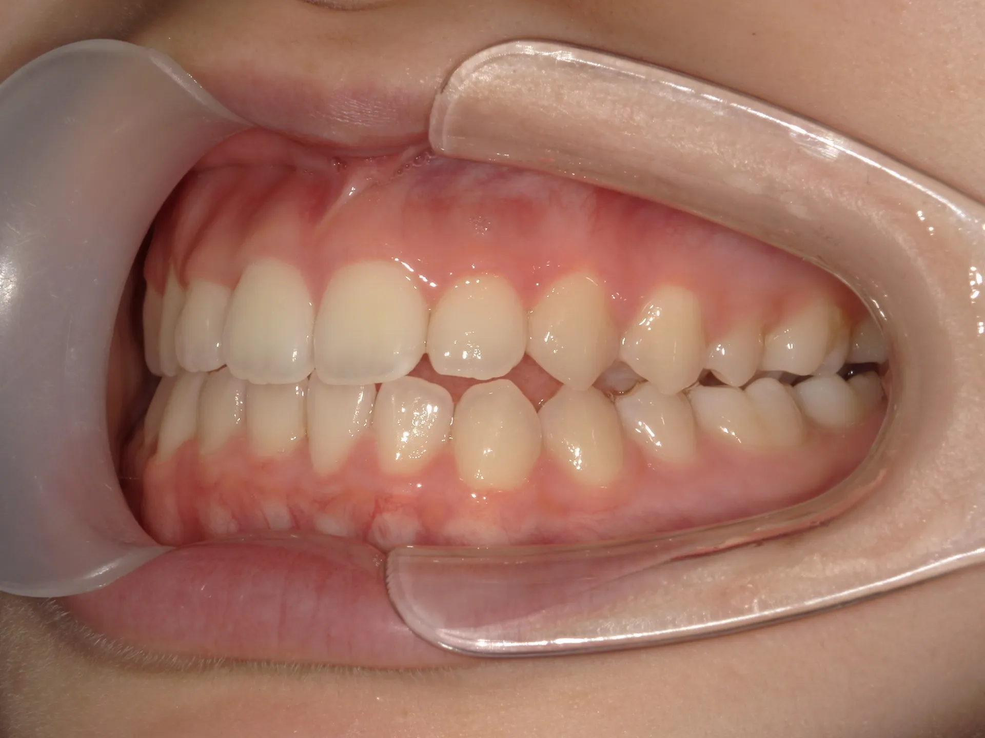
開咬治療前
正面観
まず開咬とは、文字通り開いている咬み合わせのことをさします。
分かりにくい方もいるかもしれませんのでもう少し説明すると、今回お見せしている写真では前歯部開咬と呼ばれる開咬です。
臼歯(奥歯)は噛んでいるのに前歯が咬みあわないで開いているという状態のことを前歯部開咬と言います。
このような前歯部開咬では、ある統計によると80歳で歯を20本残そうという運動「8020運動」の達成者は反対咬合と開咬の者では達成率0%であったという統計がでたとのことです。
つまり、開口のままでは今後歯が全然残らずに入れ歯やインプラントになってしまう確率が高いということです。
矯正治療はよく審美的な見た目のための治療と思われがちですが、本来の矯正治療はかみ合わせなどの機能的な治療の意味合いが強いです。
もちろん見た目も比較的良好になるケースが多いですが、歯並びが良くなることによって、歯ブラシができやすくなり虫歯や歯周病などの原因菌を除去しやすくし口腔衛生状態の向上にもつながるのでメリットの多い治療と言えます。
さて、治療前の正面観は先ほど述べた通り、前歯部開咬で奥にある舌が見えているのが分かります。
開咬治療後
正面観
治療後の正面観ですが、最初に見えていたスペースは大きく減少していることが分かりますが、左側にはややスペースは残存している状態です。
矯正治療では歯医者が目指すゴールと患者様が考えているゴールはしばしば異なることがあります。
今回は歯医者目線でお話するともう少し矯正を続けた方がよりきれいに機能的になると考えるため矯正治療の続行を提案したいところではあります。
しかしながら、マウスピース矯正で一番大事なことは患者様のモチベーションです。
患者様はこれだけ歯並びが治っているのでもう続ける必要性を実感しないため、マウスピース矯正の煩わしさをまだ続けないといけないのかと嫌になってしまいます。
また逆に歯医者が目指すゴールよりも患者様の希望とするゴールが更に詳細な場合や医学と反する場合もあります。
そのため当院の矯正治療では必ず患者様と確認を取りながら矯正治療を終わらせていきます。
インビザラインによるマウスピース矯正では比較的様々な歯並びに対して治療が可能とされていますが、ワイヤー矯正の方が柔軟性は高いのは事実です。
しかし、インビザラインのようなマウスピース矯正であってもしっかりとした治療計画や患者様の協力がしっかりとなされていればインビザラインなどのマウスピース矯正でも十分に治療が可能ですので、歯並びで気にされていたり、他の歯医者さんでマウスピース矯正では不可能と言われるような歯並びの方でも是非一度当院でご相談ください!!
----------------------------------------------------------------------
妙典歯科Nクリニック
住所:
千葉県市川市富浜1-7-18 ドエル1-111
電話番号 :
047-316-0305
FAX番号 :
047-316-0322
妙典でマウスピース矯正を体験
----------------------------------------------------------------------


