抜歯からインプラントを入れるまで
2025/05/08
こんにちは!
千葉県市川市の妙典駅前にある妙典歯科Nクリニックです。
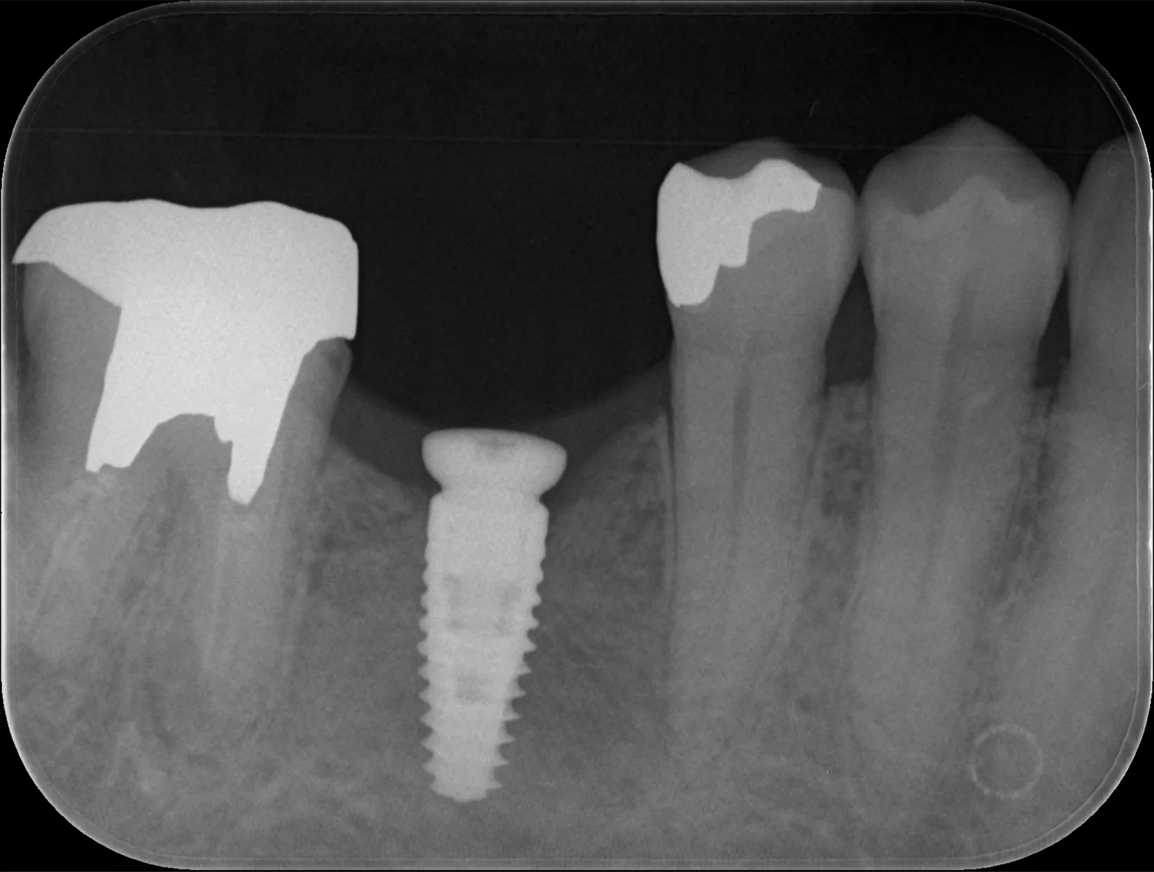
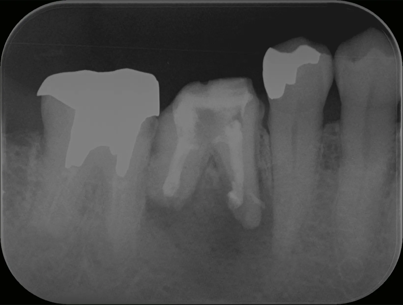
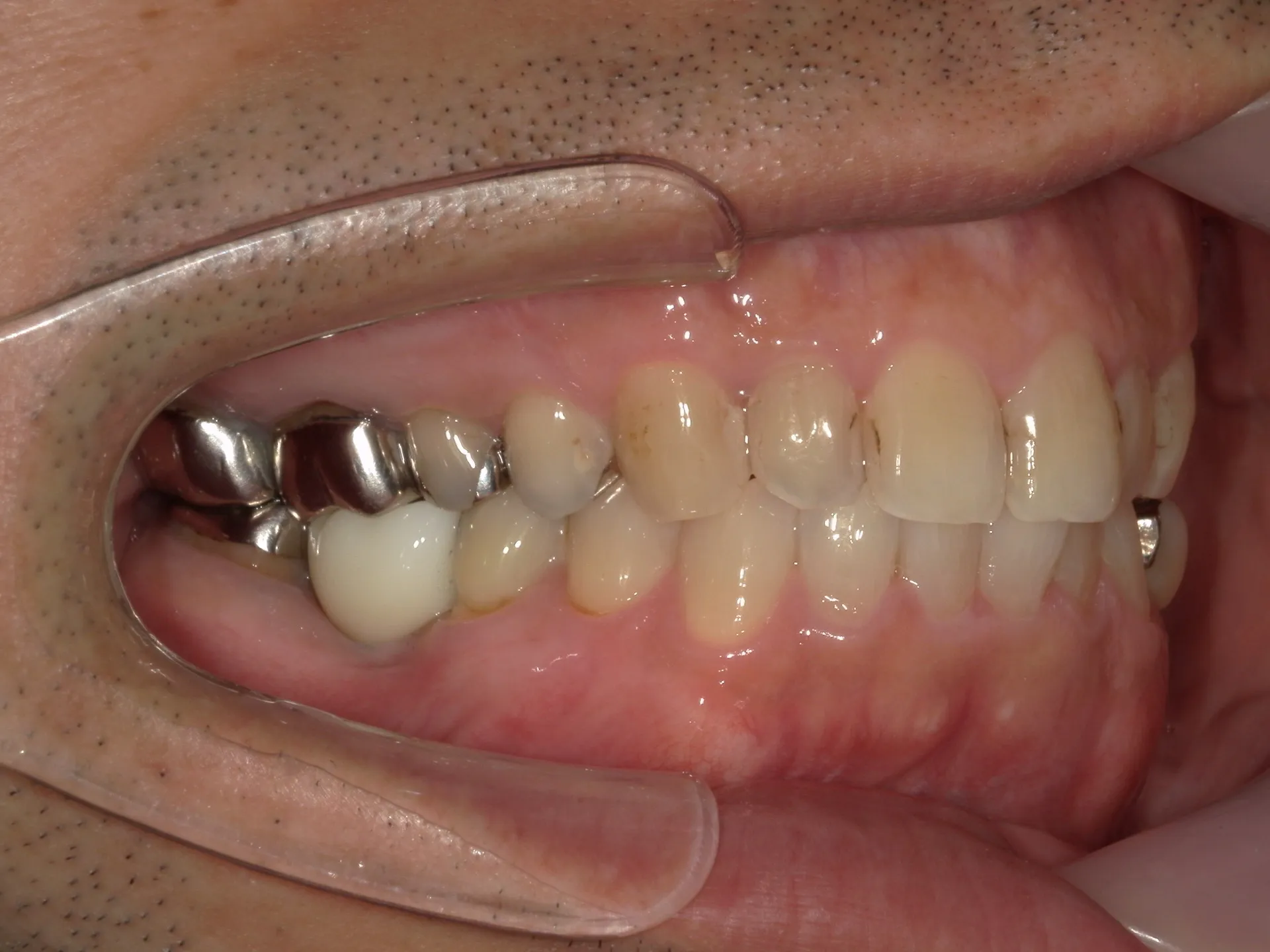
今回は抜歯になってしまった歯からインプラント治療完了までの流れについてご紹介いたします。
----------------------------------------------------------------------
妙典歯科Nクリニック
住所:
千葉県市川市富浜1-7-18 ドエル1-111
電話番号 :
047-316-0305
FAX番号 :
047-316-0322
妙典でインプラントの治療も可能
----------------------------------------------------------------------


