すれ違い咬合で全く噛めなかった状態を噛めるまで
2025/07/24
こんにちは!
千葉県市川市の妙典駅前にある妙典歯科Nクリニックです。
まずは写真をご覧ください。
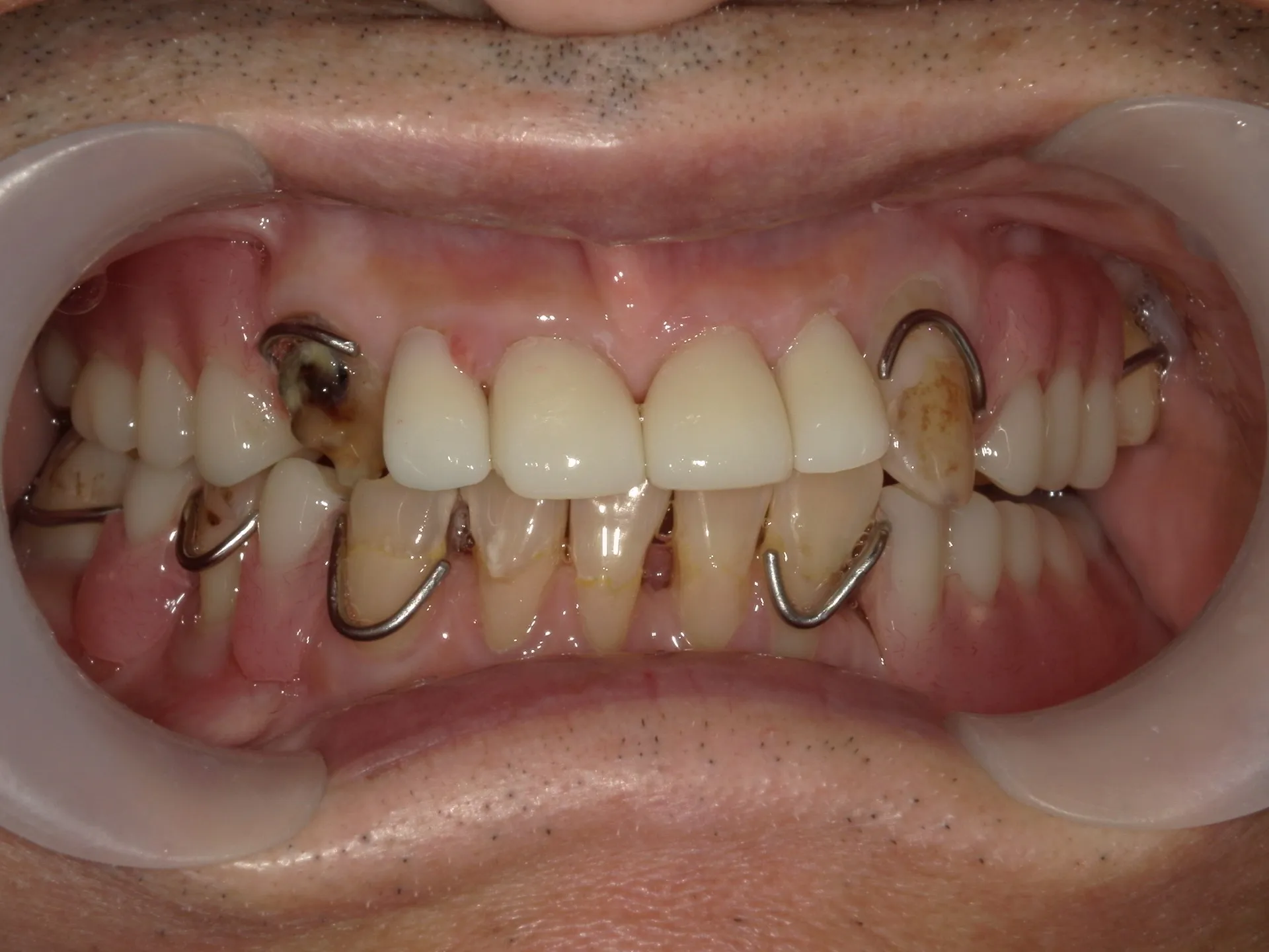
治療途中
正面観
まだまだ応急処置で噛める状態を作っている最中ですが、最初の写真から徐々に噛める状態にまで来ることが出来ました。
上の前歯4本は歯の根っこしかなく歯の頭は全くありませんでしたが、歯の根っこの中の治療を行ってから土台を立ち上げて、被せ物をはめています。奥歯は入れ歯をはめることによって高さを上げて上下の顎の間には歯が縦に2本分入るようになっています。
入れ歯のために入れ歯を支える金属のワイヤーが見えてしまいますが、保険診療ではどうしても銀のワイヤーしか適応がありません。
見た目ももちろん大切ですが、噛むことが健康にとっては重要であるため仕方がない部分ではあります。
まだ真っ黒い虫歯も散在していますが、まずは噛んで食事ができるようになったため患者様は大変満足されております。
全身的なご病気もおもちで、噛んで栄養を補給できることは消化によく、更には脳への刺激もよくなるため噛んで食べることが全身の健康につながるので皆さんも歯を大切にしてください。
----------------------------------------------------------------------
妙典歯科Nクリニック
住所:
千葉県市川市富浜1-7-18 ドエル1-111
電話番号 :
047-316-0305
FAX番号 :
047-316-0322
----------------------------------------------------------------------


