結婚式前に半年で治すインビザライン矯正治療!
2025/08/02
こんにちは!
千葉県市川市の妙典駅前にある妙典歯科Nクリニックです。
結婚式は人生にとって重要な場合が多く、結婚式にあわせて色々準備をしたりするのではないでしょうか?
特に女性の場合、お肌のケアや体型のマネジメントなど、様々な点において注意されている方もいらっしゃいます!
そこで、歯医者によく来る相談として、歯のホワイトニングや歯科矯正を結婚式や前撮りにあわせて行いたいなどがあります!
歯のホワイトニングなら比較的短期間で白くすることが出来るのですが、歯の矯正はそうもいきません。
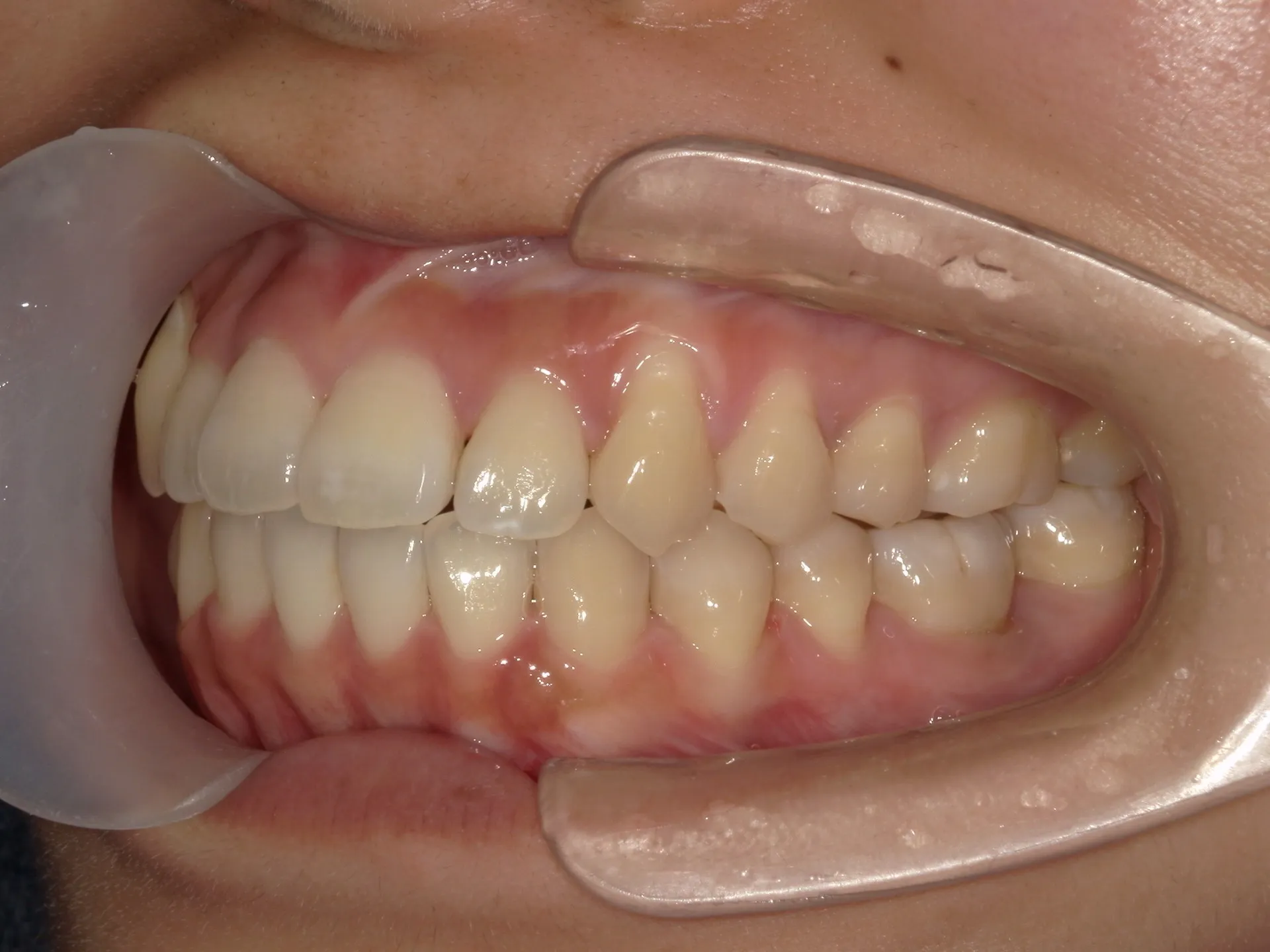
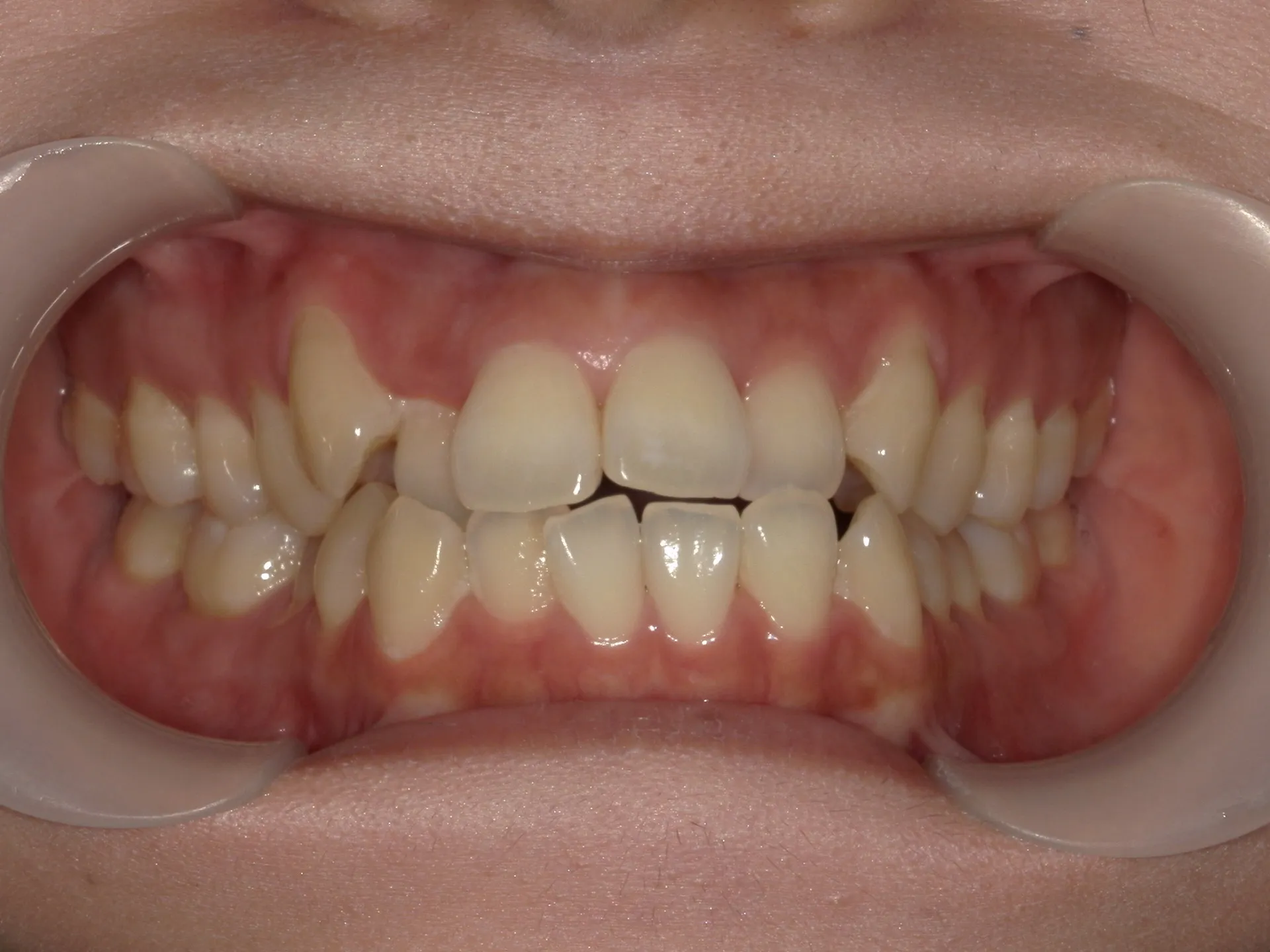
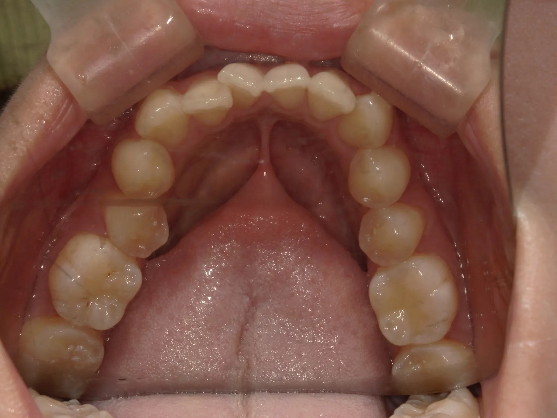
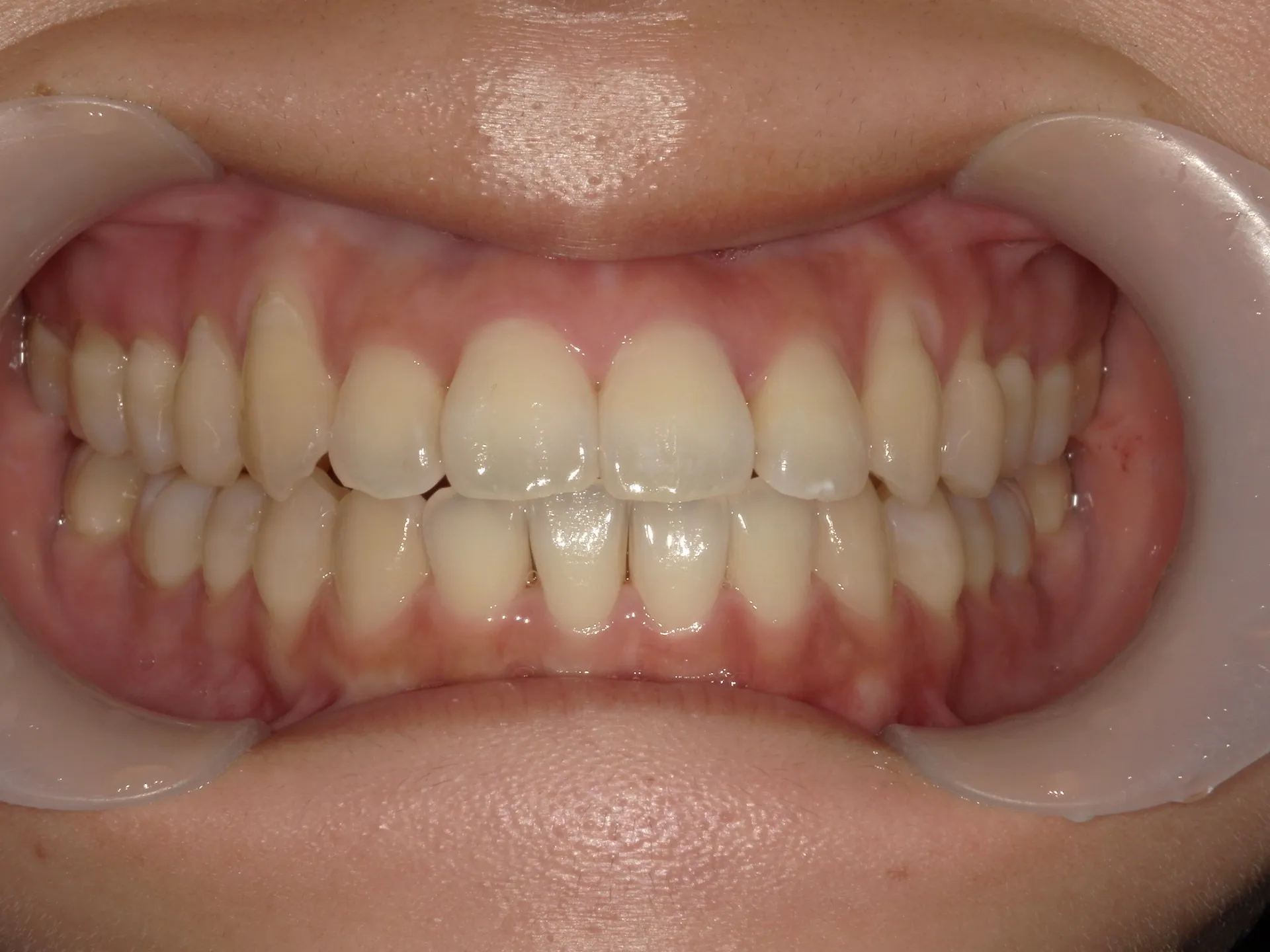
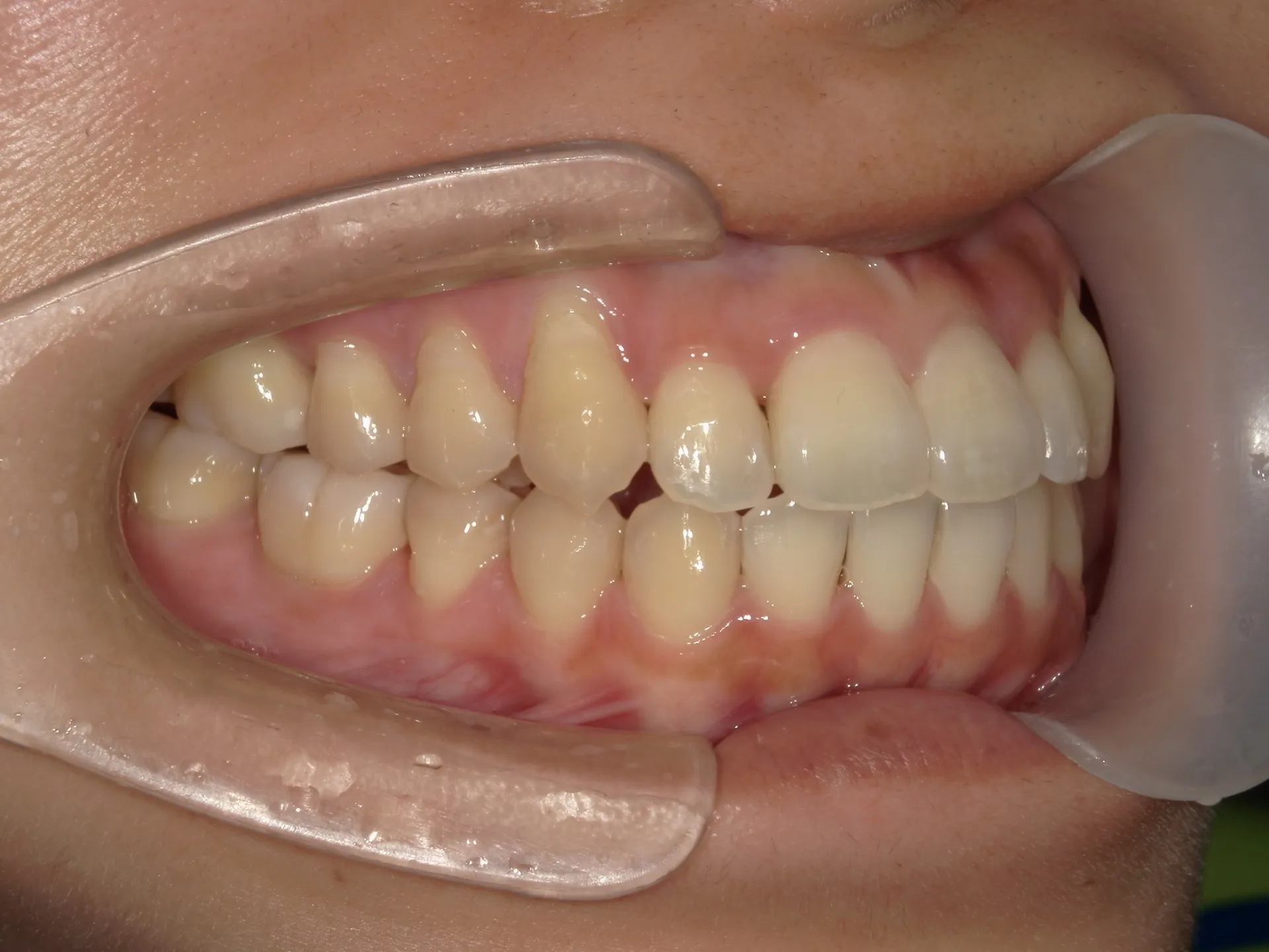
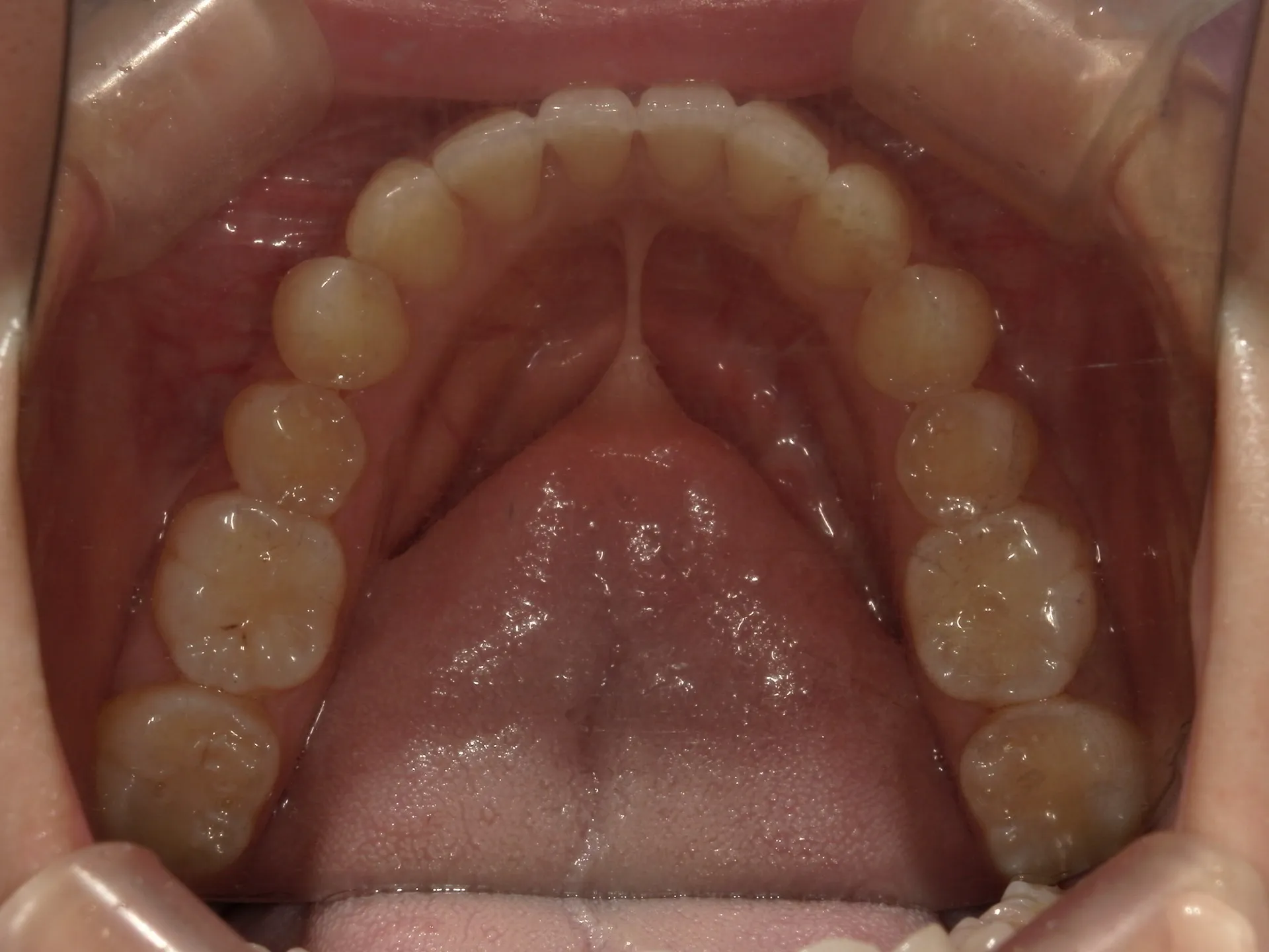
今回は結婚式までに準備した歯の矯正、インビザライン(マウスピース型矯正)を半年で治療したケースについてご紹介いたします!
----------------------------------------------------------------------
妙典歯科Nクリニック
住所:
千葉県市川市富浜1-7-18 ドエル1-111
電話番号 :
047-316-0305
FAX番号 :
047-316-0322
妙典でマウスピース矯正を体験
----------------------------------------------------------------------


