妙典歯科Nクリニック

市川市の妙典の歯医者なら妙典歯科Nクリニック | ブログ

LINE相談・予約 審美歯科はこちら

ブログ

治療にまつわる最新情報等をお届け

2025年09月の記事

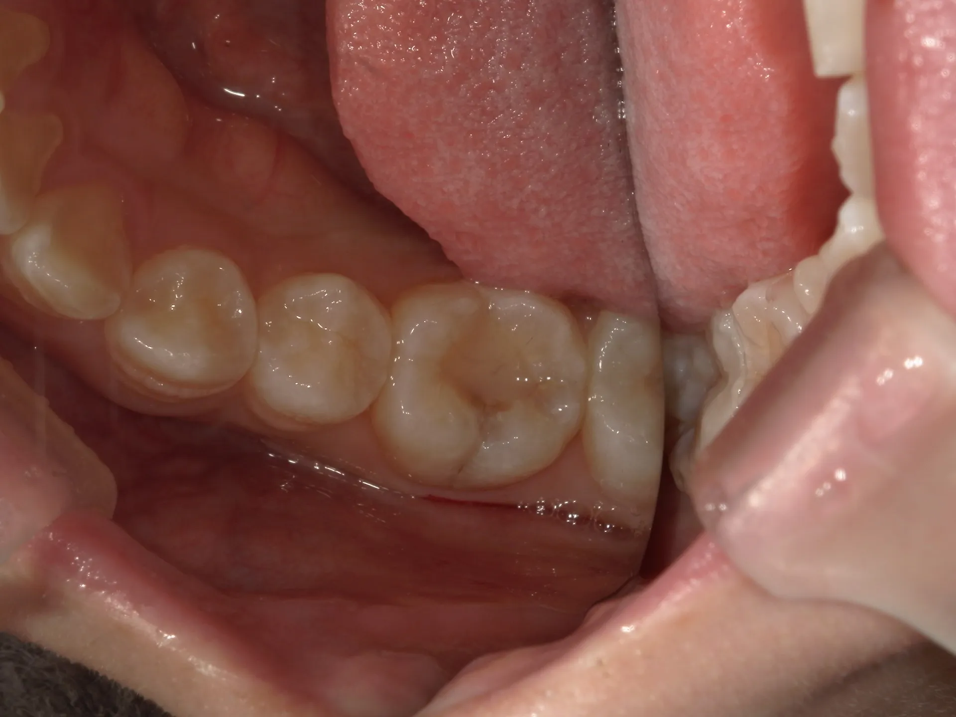
こんにちは!千葉県市川市の妙典駅前にある妙典歯科Nクリニックです。あなたの古くなった歯の詰め物は大丈夫ですか??今回は一見問題なく見える歯の詰め物の下に深い虫歯があった治療の症例をご紹介いた…

日本デンタルショー2025こんにちは✨千葉県市川市の妙典駅前にある妙典歯科Nクリニックです🌱昨日、パシフィコ横浜で行われていた日本デンタルショー2025に行ってきました!歯科医療関係業者が終結している…

PMTCで歯の汚れを落とす!こんにちは✨千葉県市川市の妙典駅前にある妙典歯科Nクリニックです🌱よく歯医者さんで歯の汚れをとってほしいと来られる患者さんがいます。歯医者としては口腔内環境に意識が高く…

親知らず・顎関節症クリニック銀座ご開院!こんにちは✨😃千葉県市川市の妙典駅前にある妙典歯科Nクリニックです🌱今回は妙典歯科Nクリニックの院長である中村が、開業前からお世話になった歯科医院の分院と…

すきっ歯を詰め物で治す!ダイレクトボンディング法すきっ歯(正中離開などの前歯の隙間)は、ダイレクトボンディング法で比較的手軽に改善できます。歯を削らず、レジン(コンポジットレジン)を直接盛…

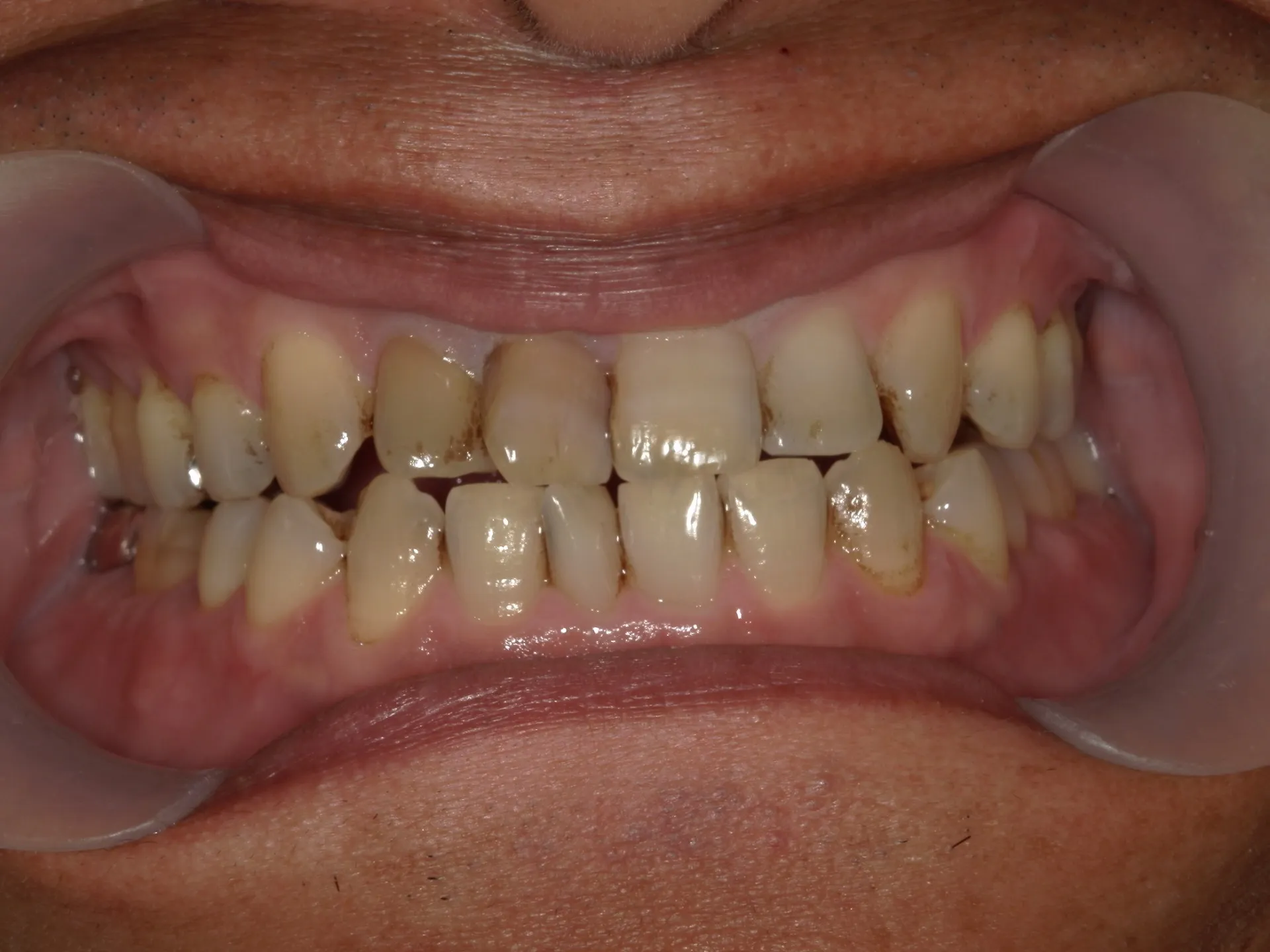
こんにちは!千葉県市川市の妙典駅前にある妙典歯科Nクリニックです。保険の歯のクリーニングと自費のPMTCでは何が違うのでしょうか??正面観ミラー像ミラー像正面観ミラー像ミラー像歯の「保険の掃除」…

こんにちは!千葉県市川市の妙典駅前にある妙典歯科Nクリニックです。「口が開かない(開口障害)」にはいくつかの原因があり、それぞれ治療法が異なります。口が開かない主な原因1.顎関節由来・顎関節症…

こんにちは!千葉県市川市の妙典駅前にある妙典歯科Nクリニックです。 「口内炎かどうか」を判定するには、いくつかの特徴をチェックするとわかりやすいです。口内炎の典型的な特徴見た目:白っぽい、ま…

こんにちは!千葉県市川市の妙典駅前にある妙典歯科Nクリニックです。八重歯など前歯の歯のガタツキ気になりませんか?今回はマウスピース矯正で治療した八重歯の矯正についてご紹介いたします。正面観正…

こんにちは!千葉県市川市の妙典駅前にある妙典歯科Nクリニックです。分割した一部と本体埋伏した親知らずの抜歯は比較的難しい分類になります。歯根と呼ばれる歯の骨に埋まっている部分の形でも抜歯の難…

当店でご利用いただける電子決済のご案内

下記よりお選びいただけます。