歯の色や形を変えたい!それぞれの治療法とは? 2026/02/28 こんにちは!千葉県市川市の妙典駅前にある妙典歯科Nクリニックです。歯の形や色を変える治療は、目的(自然さ重視・最短期間・長持ち重視など)によって選択肢が変わります。代表的な治療法とメリット・…
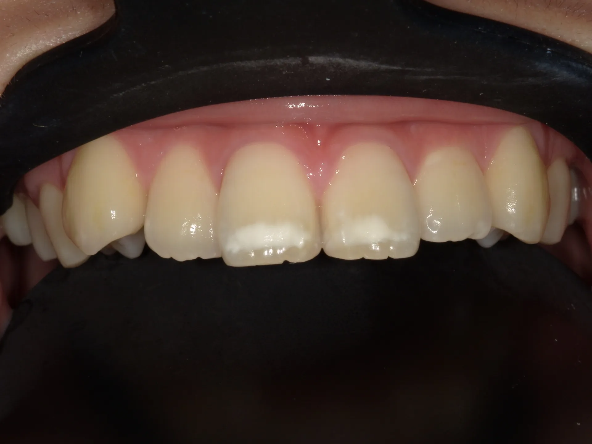
削らないホワイトスポット治療と限界 2026/02/27 こんにちは!千葉県市川市の妙典駅前にある妙典歯科Nクリニックです。皆さんは歯のホワイトスポットをご存知でしょうか?ホワイトスポットは歯の表面にできた白い部分で初期の虫歯や石灰化不全や外傷の既…
シングルリテーナーによる保険の接着ブリッジ 2026/02/26 こんにちは!千葉県市川市の妙典駅前にある妙典歯科Nクリニックです。接着ブリッジとは?まず接着ブリッジとは何なのか。歯を補う方法として3つ治療法があります。・入れ歯・ブリッジ・インプラント通常…
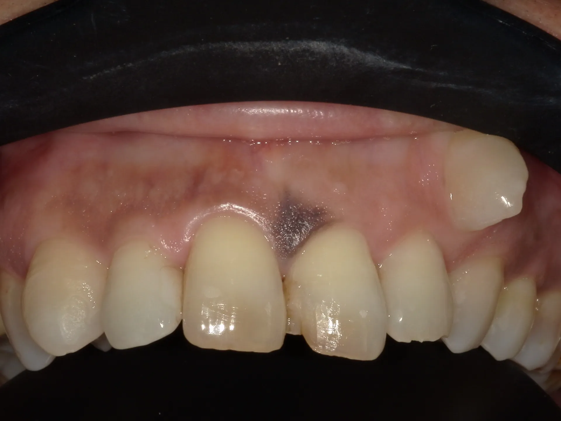
口の中にもホクロができる?! 2026/02/25 こんにちは!千葉県市川市の妙典駅前にある妙典歯科Nクリニックです。歯茎の黒ずみ歯茎(歯肉)にもホクロのような色素性病変はできます。ただし、皮膚のホクロとまったく同じとは限らず、口腔内特有の疾…
歯茎の黒ずみメタルタトゥーと治療法! 2026/02/24 こんにちは!千葉県市川市の妙典駅前にある妙典歯科Nクリニックです。メタルタトゥー歯茎のメタルタトゥー(歯肉の黒ずみ)は、主に金属の被せ物や土台から溶け出した金属イオンが歯肉に沈着することで起…
高強度硬質レジンブリッジの実際 2026/02/21 こんにちは!千葉県市川市の妙典駅前にある妙典歯科Nクリニックです。模型先日高強度硬質レジンブリッジについて記載しました。上の写真が実際の製作物になります。上の歯の前から5番目の歯が欠損してい…
ラミネートベニヤで自然な歯へ 2026/02/20 ラミネートベニヤで自然な歯へ矮小歯(通常よりも小さく、丸みを帯びた形の歯)は、特に前歯にあると笑顔の印象を大きく左右します。「歯並びは悪くないのに、なぜか子どもっぽく見える」「前歯のすき間…
途中でやめたらヤバイ!歯科治療ランキングTop5 2026/02/18 こんにちは!千葉県市川市の妙典駅前にある妙典歯科Nクリニックです。歯科治療を途中で放置すると、症状が悪化しやすく、結果的に治療期間・費用・痛みすべてが増えるケースが多いです。 「ヤバい順(=…
「痛みさえ取れれば治療は先生に任せる」は危険! 2026/02/17 こんにちは!千葉県市川市の妙典駅前にある妙典歯科Nクリニックです。「痛みさえ取れれば先生に任せます」と言われたときの歯科治療の考え方こんにちは。 今日は、急な歯の痛みで来院された患者さんから…
キシリトールを使ったチョコレート 2026/02/16 こんにちは!千葉県市川市の妙典駅前にある妙典歯科Nクリニックです。高カカオかつ砂糖不使用・キシリトール甘味のチョコレートには、通常のチョコレートとは違った特徴があります。高カカオ×砂糖不使用×…