矯正治療は若くないとできないなんてことはない!! 2025/09/17 こんにちは!千葉県市川市の妙典駅前にある妙典歯科Nクリニックです。矯正治療は若いころにやった方がメリットがあります!では年齢が高いと矯正は出来ないのでしょうか?矯正治療は何歳からやってはダメ…
骨がなくてもインプラントできる?サイナスリフトしたインプラント 2025/09/16 こんにちは!千葉県市川市の妙典駅前にある妙典歯科Nクリニックです。歯のインプラント治療は顎の骨にインプラント体(フィクスチャー)と呼ばれるネジを入れ込み、そこから人工の歯を立ち上げる方法です。…
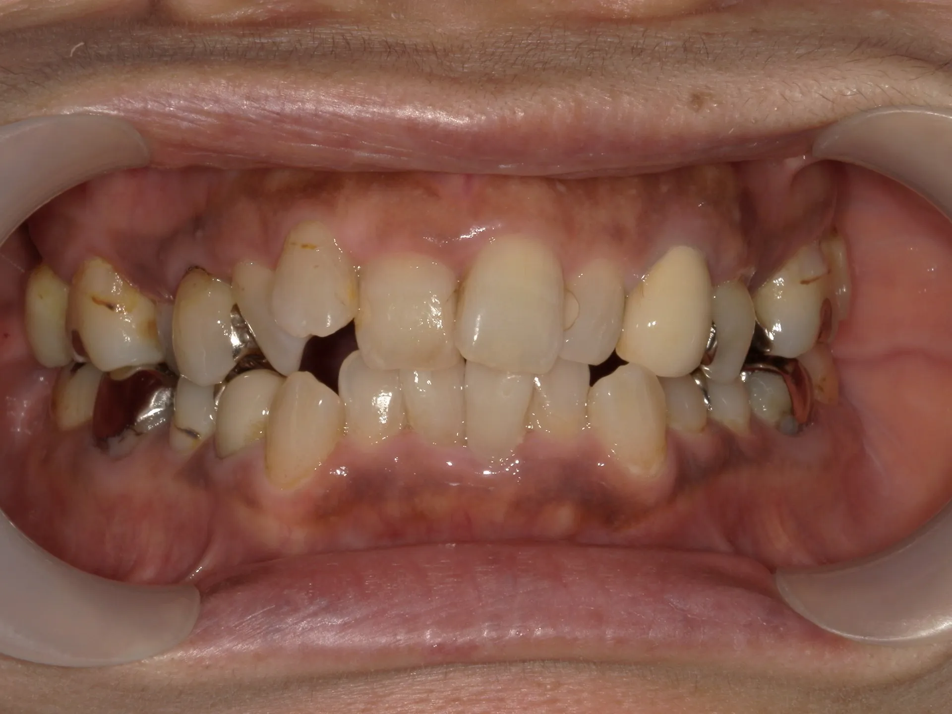
歯茎の腫れは何が原因? 2025/09/15 こんにちは!千葉県市川市の妙典駅前にある妙典歯科Nクリニックです。歯茎の腫れにはいくつかの原因があります。主な原因・歯周病(歯肉炎・歯周炎)歯垢や歯石が溜まり、細菌が炎症を起こす。初期は歯肉…
横向きに生えた親知らずの抜歯はどのように行われる? 2025/09/13 こんにちは!千葉県市川市の妙典駅前にある妙典歯科Nクリニックです。パノラマレントゲン写真親知らずの抜歯は大変と一度は聞いたことがあるのではないでしょうか。もちろん、痛みや腫れが術後に伴うのは…
前歯で印象は大きく変わる! 2025/09/12 前歯で印象は大きく変わる!前歯はお顔の印象にとても大きな影響を与えます。特に笑ったときや話すときに最も目立つ部分なので、わずかな形・色・並びの違いでも雰囲気が変わります。🔹前歯が印象を左右す…
マウスピース矯正の修正にワイヤー矯正を利用する 2025/09/10 こんにちは!千葉県市川市の妙典駅前にある妙典歯科Nクリニックです。マウスピース矯正で大きなガタツキも対応できることもありますが、マウスピース矯正では難しい動きがあります。よくある難しい動きと…
歯医者がなぜボツリヌストキシン治療を行っているの? 2025/09/09 こんにちは!千葉県市川市の妙典駅前にある妙典歯科Nクリニックです。歯科医院で**ボツリヌストキシン(ボトックスなど)**治療が行われている理由はいくつかあります。 ---歯科での主な適応1.歯ぎしり・…
ダイレクトボンディング! 2025/09/08 ダイレクトボンディング!こんにちは✨千葉県市川市の妙典駅前にある妙典歯科Nクリニックです🌱先日技術向上や知識アップデートのため、ダイレクトボンディング法のセミナーを知り合いの先生と受講してきま…
奥歯のインプラント 2025/09/06 奥歯のインプラント奥歯のインプラントについて、基本的なことを整理してご紹介します。---🦷奥歯インプラントの特徴1.噛む力が強い部位奥歯(大臼歯部)は食べ物をすり潰す役割があり、前歯よりも強い力…
マウスピース矯正しかやっていない歯医者は危険!?!? 2025/09/05 こんにちは!千葉県市川市の妙典駅前にある妙典歯科Nクリニックです。マウスピース矯正しかやっていない歯医者は危険!?!?インビザライン他 結論から言うと、「マウスピース矯正しかやっていない歯科…