茶色くなった詰め物 2025/07/30 茶色くなった詰め物歯医者で「研磨(けんま)」をすると、主に以下のような効果・変化があります。---🦷歯の研磨とは?歯科医院で行う「研磨」とは、専用の器具と研磨剤を使って歯の表面をなめらかに磨く…
前歯を白くしたい!! 2025/07/29 こんにちは!千葉県市川市の妙典駅前にある妙典歯科Nクリニックです。前歯を白くする方法にはいくつか種類があります。目的や状態(虫歯があるか・すでに治療済みか)によって選ぶ方法が異なります。あな…
接着性ブリッジの適応拡大と普通のブリッジの違いは? 2025/07/28 こんにちは!千葉県市川市の妙典駅前にある妙典歯科Nクリニックです。昨年保険診療の改定により接着性ブリッジの適応が拡大しました。そもそも接着性ブリッジってなに?と思われると思いますので、まずは…
歯と歯の間から舌が見える?舌突出癖とは? 2025/07/26 こんにちは!千葉県市川市の妙典駅前にある妙典歯科Nクリニックです。唾をのみ込む瞬間「舌突出癖(ぜつとっしゅつへき)」とは、舌を無意識に前方へ突き出す癖のことを指し、**小児から成人まで幅広い年…
銀歯の人、白い歯の人 2025/07/25 こんにちは!千葉県市川市の妙典駅前にある妙典歯科Nクリニックです。お口の中の金属はどう見える?「銀歯の人」と「白い歯の人」の違いは、主に歯の詰め物や被せ物の材料の違いにあります。それぞれの特…
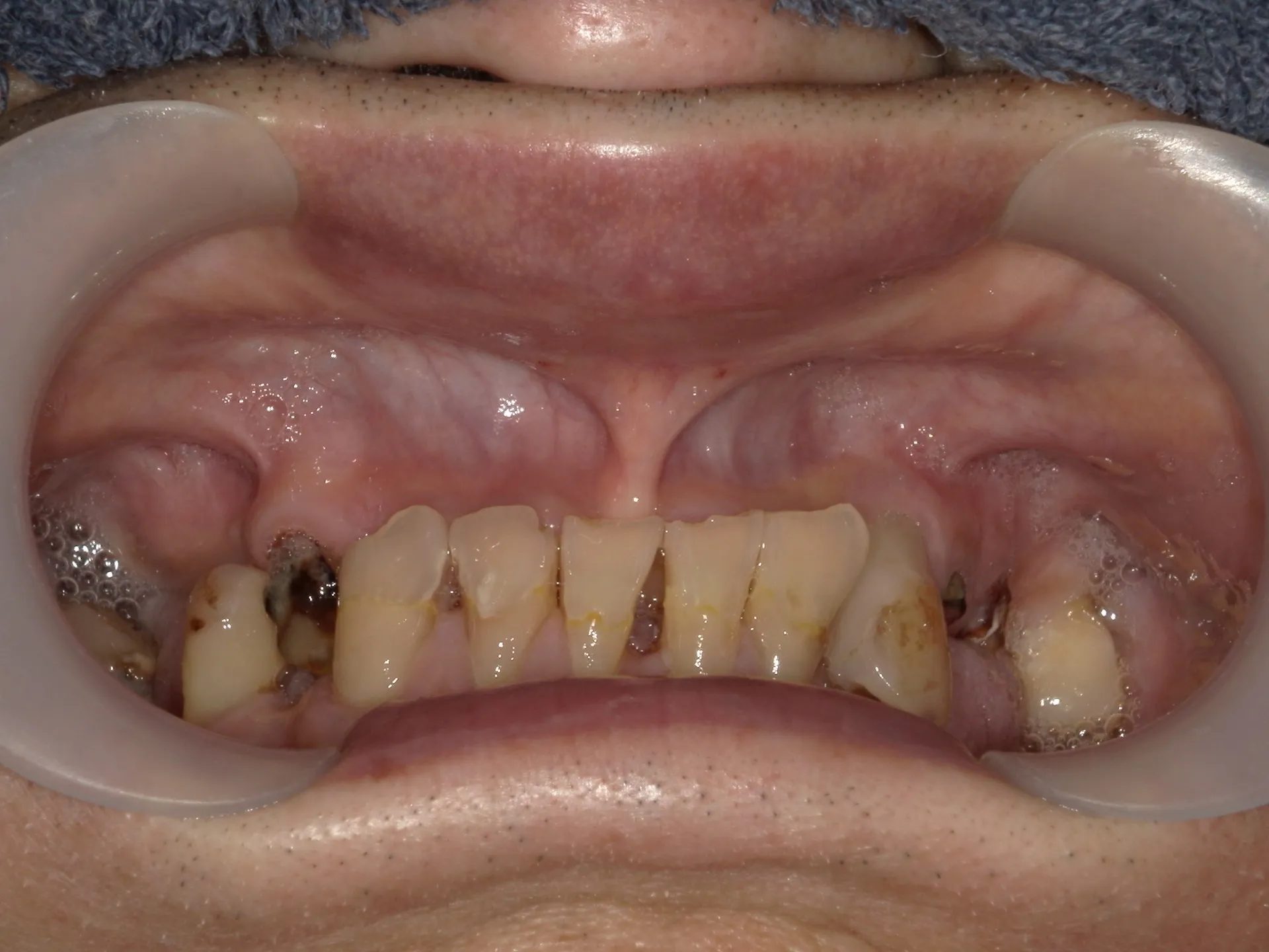
すれ違い咬合で全く噛めなかった状態を噛めるまで 2025/07/24 こんにちは!千葉県市川市の妙典駅前にある妙典歯科Nクリニックです。まずは写真をご覧ください。正面観普段正面から噛んだ時の歯並びをみるのとだいぶ印象が違うと思います。これは上下の歯はあるものの…
矯正治療で印象を変える!! 2025/07/23 こんにちは!千葉県市川市の妙典駅前にある妙典歯科Nクリニックです。マウスピース矯正で前歯を治してみませんか?今回はマウスピース矯正(インビザライン)で前歯の出っ張りを治したケースをご紹介いた…
ねじれた前歯を白くして治す!矯正とホワイトニング 2025/07/22 こんにちは!千葉県市川市の妙典駅前にある妙典歯科Nクリニックです。今回は矯正治療とウォーキングブリーチというホワイトニングを併用して治療した症例をご紹介いたします。初診時上の前歯が1本大きく…
適切な歯磨き方法は? 2025/07/19 適切な歯磨き方法は、「歯垢(プラーク)を効果的に除去し、歯や歯ぐきを傷つけないこと」が目的です。以下に、**基本的な正しい歯磨き方法(スクラビング法)**と、補助的な方法をまとめました。基本の…
歯磨き粉はどう選んでる?? 2025/07/18 こんにちは!千葉県市川市の妙典駅前にある妙典歯科Nクリニックです。あなたはどう選ぶ?歯磨き粉をドラッグストアや歯医者さんで購入したり、最近ではネット注文で購入したりと購入方法は多岐にわたるよ…