歯の表面にできる「縞々の凹凸」 2025/11/29 歯の表面にできる「縞々の凹凸」いくつかの可能性がありますが、“凹凸として触れるほどの縞”という点から、代表的な原因を絞って説明します。---✅1.ペリキマタ(周波条・周条)歯の自然な成長線による細…
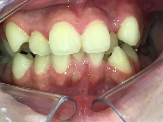
出っ歯はマウスピース矯正で治せる! 2025/11/28 こんにちは!千葉県市川市の妙典駅前にある妙典歯科Nクリニックです。正面観前歯の飛び出しが大きく、前歯の発達した小動物のような印象が嫌だと来院された患者様。正面から見ると上の前歯が非常に目立ち…
「プレオルソ」の注意点! 2025/11/27 こんにちは!千葉県市川市の妙典駅前にある妙典歯科Nクリニックです。前回プレオルソの特徴をお伝えしましたが、今回は注意したいポイントについてご紹介いたします。小児矯正装置プレオルソ(PREORTHO)…
小児矯正装置「プレオルソ」とは 2025/11/26 こんにちは!千葉県市川市の妙典駅前にある妙典歯科Nクリニックです。小児矯正装置【プレオルソ治療の要点をわかりやすく解説します】今日は、小児矯正でよく耳にする「プレオルソ」について、ポイントを…
奥歯だから銀歯でいい??その奥歯見えてますよ! 2025/11/25 奥歯だから銀歯でいい??その奥歯見えてますよ!奥歯の銀歯が見えるのを改善する一般的な治療法を、歯科で実際によく行われる順にわかりやすくまとめますね。---✅銀歯を白くするための主な治療法1️⃣コン…
歯磨きしているのになんで虫歯ができるの?? 2025/11/21 こんにちは!千葉県市川市の妙典駅前にある妙典歯科Nクリニックです。なんでなの??「ちゃんと歯磨きしてるのに虫歯になる」 これは多くの方が感じる疑問で、実際に歯磨きだけでは防げない“隠れ原因”が…
銀歯が見える範囲はどこまで?? 2025/11/19 銀歯が見える範囲はどこまで??銀歯(メタルインレー・クラウン)が“見える範囲”は、**銀歯を入れた歯の位置・噛み合わせ・口の動き(会話、笑顔、大きく口を開ける場面)**によって変わります。一般的…
ガミースマイルの原因と治療法を解説! 2025/11/18 こんにちは!千葉県市川市の妙典駅前にある妙典歯科Nクリニックです。原因と治療法ガミースマイル(歯ぐきが笑うと大きく見える状態)は、原因が1つとは限らず複数の要因が合わさって起きるケースもよく…
先天欠如の矯正治療 2025/11/17 こんにちは!千葉県市川市の妙典駅前にある妙典歯科Nクリニックです。たまに先天的に歯がない人がいます。それは1本の時もあれば数本~数十本のときまであります。今回は下の前歯が1本ない場合の矯正治療…
歯が死んでいる?!変色した歯 2025/11/15 こんにちは!千葉県市川市の妙典駅前にある妙典歯科Nクリニックです。その歯神経が死んでいるかも 歯の変色にはさまざまな原因がありますが、「失活歯(しっかつし)」=神経(歯髄)が死んでいる歯の場…