歯の着色の原因と対処法は? 2025/10/11 こんにちは!千葉県市川市の妙典駅前にある妙典歯科Nクリニックです。ステイン 「歯の着色(ステイン)」は、多くの人が悩むポイントですが、原因によって対処法が変わります。 以下に、歯の着色の主な原…
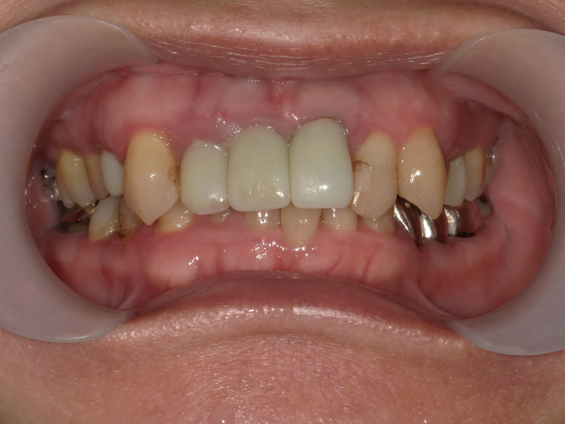
色んな色した歯 2025/10/10 こんにちは!千葉県市川市の妙典駅前にある妙典歯科Nクリニックです。様々な被せ物や歯 歯の色が違う原因はいくつかあり、大きく分けると「外からの要因」と「内からの要因」の2つに分類できます外から…
歯並びが悪いと何が良くない? 2025/10/07 こんにちは!千葉県市川市の妙典駅前にある妙典歯科Nクリニックです。歯並びが悪いと何が良くないの? 歯並びが悪い(=不正咬合)があると、見た目だけでなく健康面・機能面にもさまざまな影響がありま…
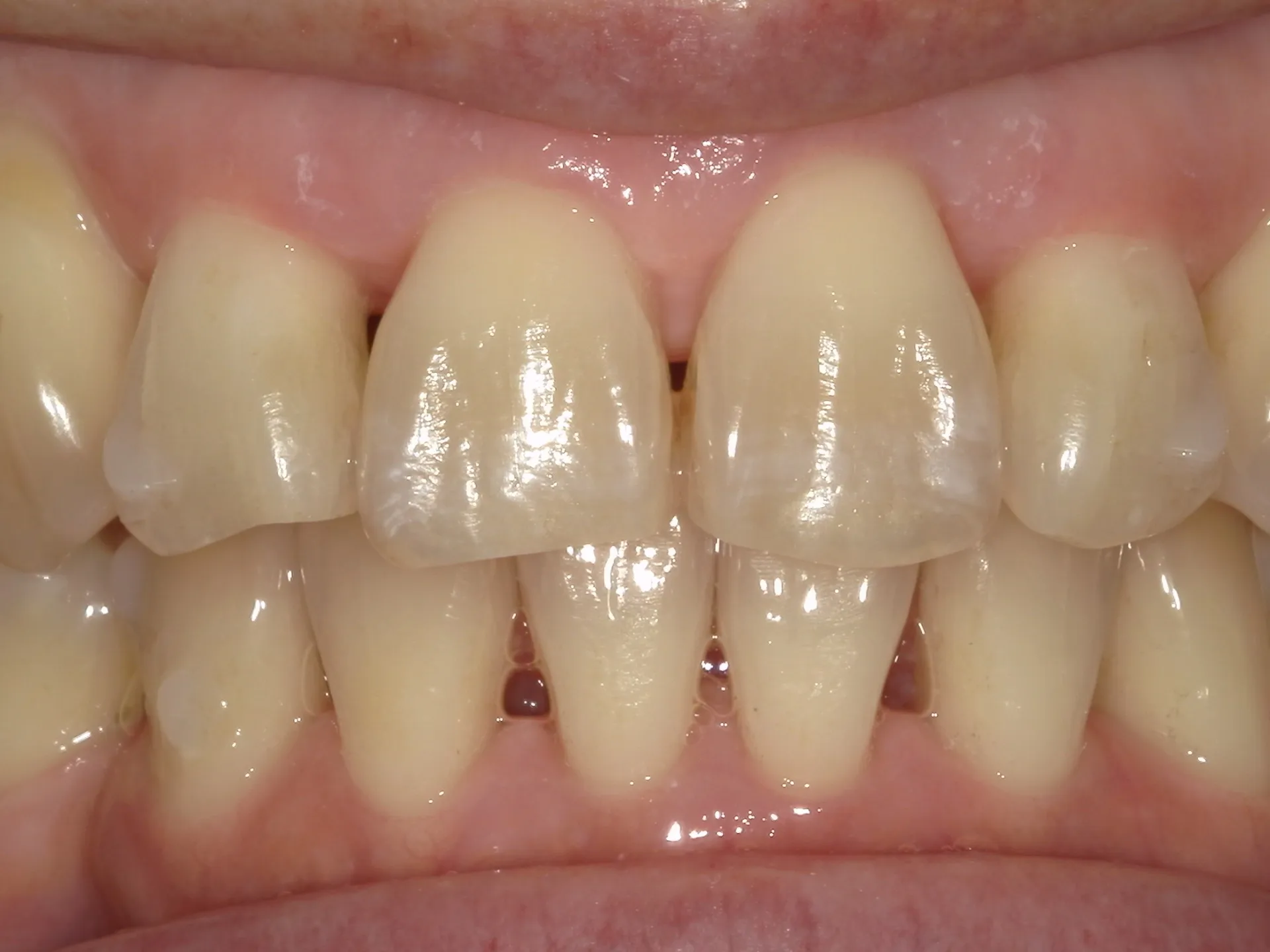
ブラックトライアングルってなに? 2025/10/06 こんにちは!千葉県市川市の妙典駅前にある妙典歯科Nクリニックです。「ブラックトライアングル(blacktriangle)」とは、 歯と歯の間の歯ぐきの隙間が黒く見える部分のことをいいます。 専門的には「歯…
虫歯はどこ?? 2025/10/04 虫歯はどこ??こんにちは✨千葉県市川市の妙典駅前にある妙典歯科Nクリニックです🌱・虫歯は一度治療した場所に出来ないと思っていませんか?・黒くなっていなかったら虫歯じゃないと思っていませんか?・…
歯の表面にあるホワイトスポット 2025/10/03 こんにちは!千葉県市川市の妙典駅前にある妙典歯科Nクリニックです。歯の一部に白い部分ができている。ホワイトスポット(Whitespotlesion)とは、歯の表面にできる白い斑点状の変化のことを指します。…
ワイヤー矯正とマウスピース矯正を併用する?? 2025/10/01 こんにちは!千葉県市川市の妙典駅前にある妙典歯科Nクリニックです。ワイヤー矯正(ブラケット矯正)とマウスピース矯正(アライナー矯正)を組み合わせて行うことは「ハイブリッド矯正」とも呼ばれ、両…